Cacey Peters, MD, FCAP, FASDP (@caceypeters) 's Twitter Profile
Cacey Peters, MD, FCAP, FASDP

@caceypeters

(#Music + #Physics) ➡️ MD ➡️ #Pathology (AP/CP) ➡️ #Dermpath

(#dermtwitter #dermatology #Histology #MedEd #medtwitter #pathplanet #pathart #histologyinmotion)

ID: 189005386

linkhttp://pathologywatch.com calendar_today10-09-2010 03:30:44

801 Tweet

1,1K Takipçi

253 Takip Edilen

Cacey Peters, MD, FCAP, FASDP (@caceypeters) 's Twitter Profile Photo

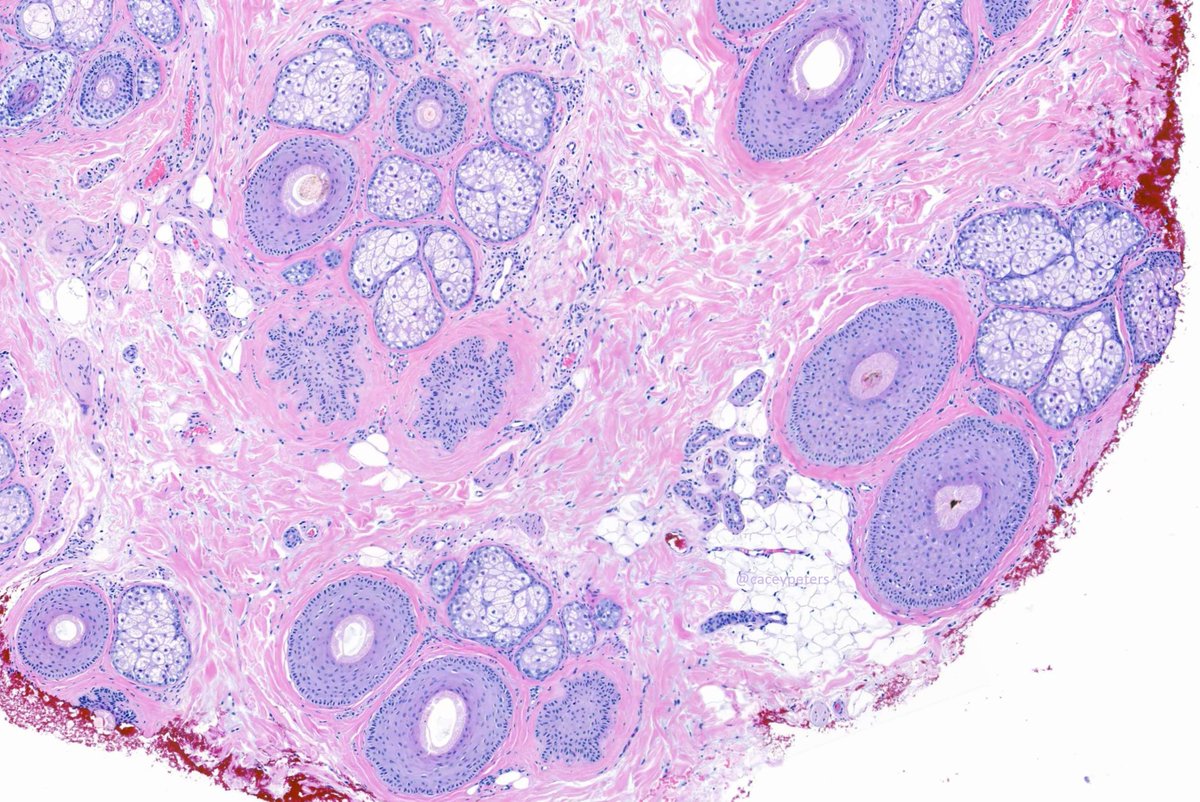
Great example of this entity. Why might this patient be losing their hair? #hair #dermpath #dermatology #dermtwitter #pathology #PathTwitter #MedTwitter #MedEd

Great example of this entity. Why might this patient be losing their hair?

#hair #dermpath #dermatology #dermtwitter #pathology #PathTwitter #MedTwitter #MedEd
ASCP (@ascp_chicago) 's Twitter Profile Photo

AI—it’s everywhere, even in the lab. But don’t worry, AI isn’t going to replace pathologists and laboratory professionals, though this tool can be used to enhance the role the laboratory plays in healthcare. Find out how in this first of a 3-part series: bit.ly/43sxUkM

AI—it’s everywhere, even in the lab. But don’t worry, AI isn’t going to replace pathologists and laboratory professionals, though this tool can be used to enhance the role the laboratory plays in healthcare. Find out how in this first of a 3-part series: bit.ly/43sxUkM
Tim McCalmont (@mccalmo) 's Twitter Profile Photo

There is melanoma with consumption (and p16 deletion) at the top. Morphologically fabulous. Down below, there are syncytial plasmacytoid BAP1-inactived melanocytes, meaning melanoma arising in melanocytoma. Morphologically and conceptually fantabulous.

There is melanoma with consumption (and p16 deletion) at the top. Morphologically fabulous. 

Down below, there are syncytial plasmacytoid BAP1-inactived melanocytes, meaning melanoma arising in melanocytoma. Morphologically and conceptually fantabulous.
Silvija Gottesman MD (@sgottesmanmd) 's Twitter Profile Photo

How often do you recommend direct immunofluorescence when you see eosinophils tagging at the dermo-epidermal junction. Answer: pretty much always. Nice example of linear C3 in gestational pemphigoid. #dermpath #dermtwitter #SilviPearls #pathology

How often do you recommend direct immunofluorescence when you see eosinophils tagging at the dermo-epidermal junction. Answer: pretty much always. Nice example of linear C3 in gestational pemphigoid. #dermpath #dermtwitter #SilviPearls #pathology
Matthew Cecchini MD PhD FRCPC (@path_matt) 's Twitter Profile Photo

Ok this is fun if you ask ChatGPT to give you more of something let’s just say it escalates quickly. Here is the answer to what happens if you keep asking for more Pathology! Base image:

Ok this is fun if you ask ChatGPT to give you more of something let’s just say it escalates quickly.

Here is the answer to what happens if you keep asking for more Pathology!

Base image:
Cacey Peters, MD, FCAP, FASDP (@caceypeters) 's Twitter Profile Photo

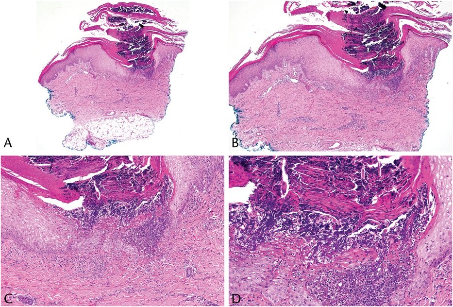
Is this #tooclosetodiagnose? Should be just right... thoughts? #pathology #dermpath #dermatology #histology #dermtwitter #meded #medtwitter #pathtwitter #skin #dermatologia

Is this #tooclosetodiagnose? Should be just right... thoughts?

#pathology #dermpath #dermatology #histology #dermtwitter #meded #medtwitter #pathtwitter #skin #dermatologia
PathologyWatch (@pathologywatch) 's Twitter Profile Photo

Dermpath Dr. Peters is at it again! Check out our latest episode of "Gettin' Under Your Skin" for an edu-taining recap on #CherryHemangiomas. #dermpathdrpeters #gettingunderyourskin #letstakeacloserlook #pathologywatch #dermatopathology #dermatologist #medtech #digitalpathology

Silvija Gottesman MD (@sgottesmanmd) 's Twitter Profile Photo

Merkel cell carcinoma: small metastasis in a lymph node. Very nice cellular contrast on H&E alone. Salt-and-pepper chromatin. #RealLifeDermpath #dermtwitter #dermpath

Merkel cell carcinoma: small metastasis in a lymph node. Very nice cellular contrast on H&E alone. Salt-and-pepper chromatin. #RealLifeDermpath #dermtwitter #dermpath
Nikon Small World (@nikonsmallworld) 's Twitter Profile Photo

Happy #SmallWorldInMotionMonday! Here's a fun fact to start off your week: cholesteric liquid crystals are used extensively in cosmetic products to provide a shimmering appearance and creamy texture. bit.ly/43T0Mob Credit: Lisa Tran

PathologyWatch (@pathologywatch) 's Twitter Profile Photo

Tune in as Dermpath Dr. Cacey Peters sheds some knowledge on Herpes in our latest 'Getting Under Your Skin' episode. Cacey Peters, MD, FCAP, FASDP #Dermpathdrpeters #gettingunderyourskin #letstakeacloserlook #pathologywatch

Alejandro Gru (Ale) (@alegru18) 's Twitter Profile Photo

Thrilled to share some news! 🎉🎉 I'll be speaking at 15th Annual T-Cell Lymphoma Forum on Jun 06 - 08, 2024. I would love to see you there! - via #Whova Event Platform tinyurl.com/2do9zcjp #TCLF15

American Journal of Dermatopathology (@ajdp_journal) 's Twitter Profile Photo

#ThrowbackThursday In 2014, Dr. Brian Hoyt and Dr. Jag Bhawan wrote this CME article on histological spectrum of cutaneous herpes infections and how herpes can masquerade as a variety of hematologic malignancies or benign cutaneous conditions. Boston University

#ThrowbackThursday 

In 2014, Dr. Brian Hoyt and Dr. Jag Bhawan wrote this CME article on histological spectrum of cutaneous herpes infections and how herpes can masquerade as a variety of hematologic malignancies or benign cutaneous conditions.
<a href="/BU_Tweets/">Boston University</a>
American Journal of Dermatopathology (@ajdp_journal) 's Twitter Profile Photo

#ClinicalPathologicChallenge 59F with PMH of type 2 diabetes mellitus and end-stage renal disease presented with pruritic purple–brown papules and polymorphic plaques with an erythematous rim after a hemodialysis session What is your diagnosis? #dermatopathology #PathTwitter

#ClinicalPathologicChallenge

59F with PMH of type 2 diabetes mellitus and end-stage renal disease presented with pruritic purple–brown papules and polymorphic plaques with an erythematous rim after a hemodialysis session

What is your diagnosis?

#dermatopathology #PathTwitter