Ronnie (@bohemianshe) 's Twitter Profile
Ronnie

@bohemianshe

All forward motion begins with gratitude 🏵 Patriarchy and obedience are done. We are witnessing Divide and Conquer become obsolete.™️

ID: 728647575541141505

calendar_today06-05-2016 18:08:14

56,56K Tweet

1,1K Takipçi

2,2K Takip Edilen

Marwa Osman || مروة عثمان (@marwa__osman) 's Twitter Profile Photo

🧵Let's talk about Congo in a 3 question; Q: What is zionist Israel's biggest export? A: Diamonds. Q: How many natural diamond mines does "Israel" have? A: Zero. Q: Where are those mines then? A: Congo.

Friends of Bear Cat Rescue (@feederofcats) 's Twitter Profile Photo

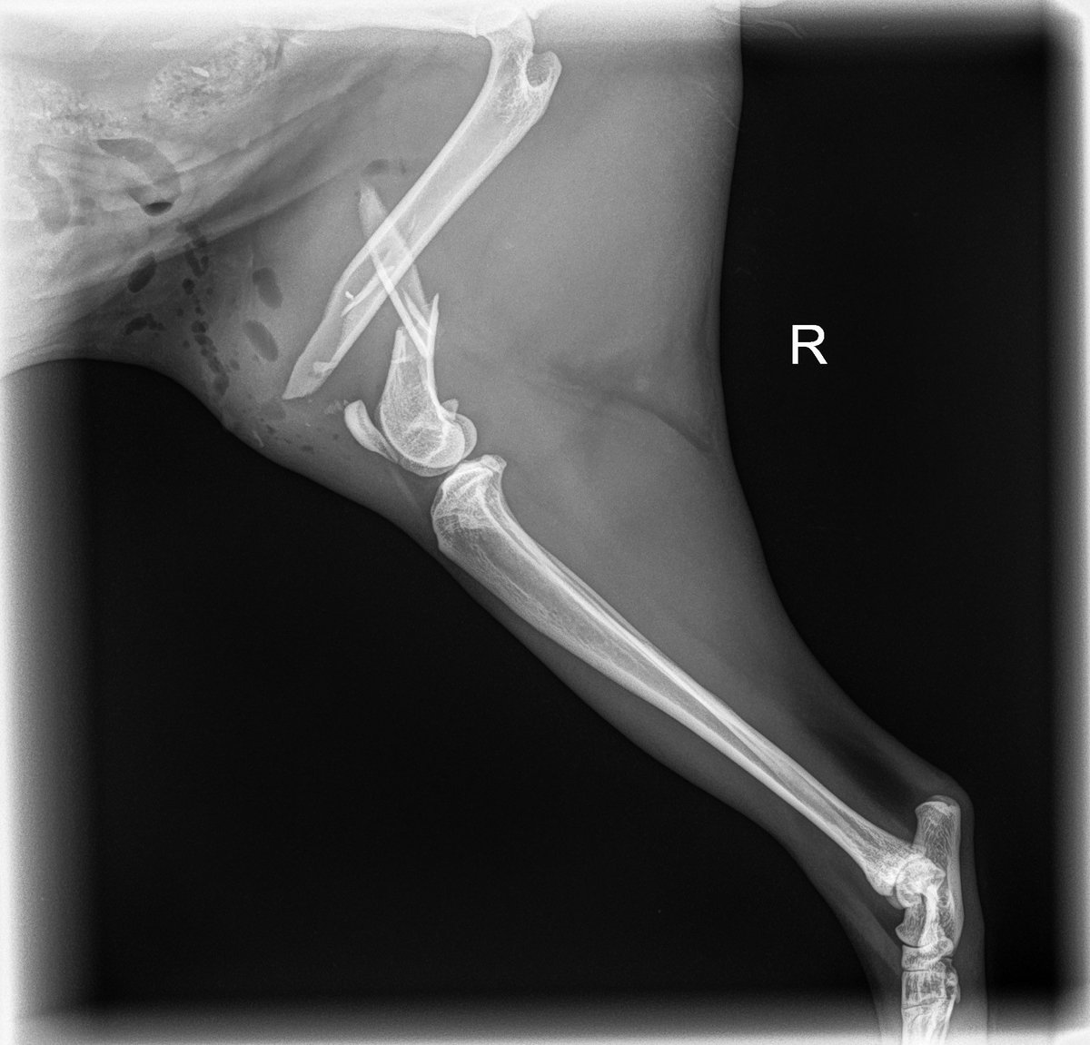
ouch 😭 poor baby's femur is very broken. He needs surgery, maybe amputation, will be calling surgeons in the morning to try to get him in somewhere asap. Thank you so much to everyone who has donated, you are all so amazing and kind 🩷

ouch 😭 poor baby's femur is very broken. He needs surgery, maybe amputation, will be calling surgeons in the morning to try to get him in somewhere asap. Thank you so much to everyone who has donated, you are all so amazing and kind 🩷
CODEPINK (@codepink) 's Twitter Profile Photo

When confronted about the starvation in Gaza, Rep. Mike Ezell dodged every question, almost breaking an elevator to escape. Yet he proudly called the National Guard’s raids in D.C. “wonderful.” Wonderful to terrorize families here, and in Palestine. Shame!

Mario 🇺🇸🇵🇱🇺🇦🇪🇺 (@pawlowskimario) 's Twitter Profile Photo

BREAKING: Rep. Thomas Massie just dropped a bomb. He named one of the billionaires in Epstein’s black book, John Paulson. Paulson isn’t just some rich guy. He’s a major GOP donor, pumping money into the Republican Party, the Speaker of the House, and Trump’s campaign. And

Friends of Bear Cat Rescue (@feederofcats) 's Twitter Profile Photo

Cornbread just headed into surgery. Between this and the cat from last night (who also needs surgery asap) if you can throw us a few bucks, now would be a great time 😅 we are a 501c3, donations are tax deductible Paypal: paypal.com/donate/?hosted… Donorbox: donorbox.org/friends-of-bea…

Global Sumud Flotilla (@globalsumudf) 's Twitter Profile Photo

Greta Thunberg vows Global Sumud Flotilla will not be silenced by Israeli threats, calling them “genocidal propaganda.” She says the mission remains clear: a peaceful, lawful act of solidarity to break Israel’s illegal siege on Gaza.

Whiskers 'N' Wishes Sanctuary (@wishesrescue) 's Twitter Profile Photo

KITTEN ALERT! Honey and her brother Jake arrived yesterday. She is very small and extremely affectionate, crawling all over you and meowing and purring. He is silly and likes to do flops. Anyone in #Tucson want a six-month-old kitten or two?

KITTEN ALERT!

Honey and her brother Jake arrived yesterday. She is very small and extremely affectionate, crawling all over you and meowing and purring. He is silly and likes to do flops. Anyone in #Tucson want a six-month-old kitten or two?
Medea Benjamin (@medeabenjamin) 's Twitter Profile Photo

We asked members of Congress to send a message to Gaza’s starving children. What we got was silence, indifference, and a stunning lack of humanity. This is what AIPAC money buys: silence in the face of starvation and genocide.

Friends of Bear Cat Rescue (@feederofcats) 's Twitter Profile Photo

📍 SF BAY AREA STAMPS and ENVELOPE are our next bonded pair hoping to be adopted together! Stamps (male) is a confident, loving lap kitten. Envelope (female) is shy initially but once she warms up to you, she is the sweetest girl ever and loves belly rubs! They purr so loudly!

📍 SF BAY AREA

STAMPS and ENVELOPE are our next bonded pair hoping to be adopted together!

Stamps (male) is a confident, loving lap kitten. Envelope (female) is shy initially but once she warms up to you, she is the sweetest girl ever and loves belly rubs! They purr so loudly!
Friends of Bear Cat Rescue (@feederofcats) 's Twitter Profile Photo

They're spayed and neutered, vaccinated, microchipped and SO ready to have more space and attention. These are really good kittens, guys, come on petfinder.com/cat/stamps-env…

Dr Tom Montgomery (@drtomontgomery) 's Twitter Profile Photo

🌏 Turtles and tortoises are in big trouble—over half of all species face extinction. Why? One reason is the massive pet trade. Rare species are seen as collectors’ items. Taking one female from the wild deprives the world of her long lifetime of eggs. 🧵

🌏

Turtles and tortoises are in big trouble—over half of all species face extinction.

Why? One reason is the massive pet trade. Rare species are seen as collectors’ items. 

Taking one female from the wild deprives the world of her long lifetime of eggs.

 🧵
Ronan Farrow (@ronanfarrow) 's Twitter Profile Photo

ICE just reactivated its contract with an Israeli firm that makes phone-hacking spyware. Here's what you should know. #spyware #hacking #ICE #USA #news

Thomas Keith (@iwasnevrhere_) 's Twitter Profile Photo

The latest U.S. election for delegates to the World Zionist Congress, the self-proclaimed “parliament of the Jewish people” and the body that controls billions in resources for the Zionist project, has ended with Orthodox and hardline right-wing factions tightening their grip.

The latest U.S. election for delegates to the World Zionist Congress, the self-proclaimed “parliament of the Jewish people” and the body that controls billions in resources for the Zionist project, has ended with Orthodox and hardline right-wing factions tightening their grip.
Ronnie (@bohemianshe) 's Twitter Profile Photo

“Which is why it's so outrageous this gets virtually no coverage in the West, except for comic book-level analysis like "bad guys want to do bad things" (a headline by Sky News”

Ronnie (@bohemianshe) 's Twitter Profile Photo

“Yet it highlights one of the rarest capacities of human civilization: the ability to coexist and thrive amid differences”