
Mireille Bitar, M.D.
@bitar_mireille
Pediatric & Neuropathologist @UTSWMEDCENTER. Former faculty @NU_Pathology. Alumna @IcahnMountSinai @Columbiamed @ChildrensLA. My posts are not medical advice
ID: 1094074834135535616
09-02-2019 03:25:42
1,1K Tweet
2,2K Followers
722 Following













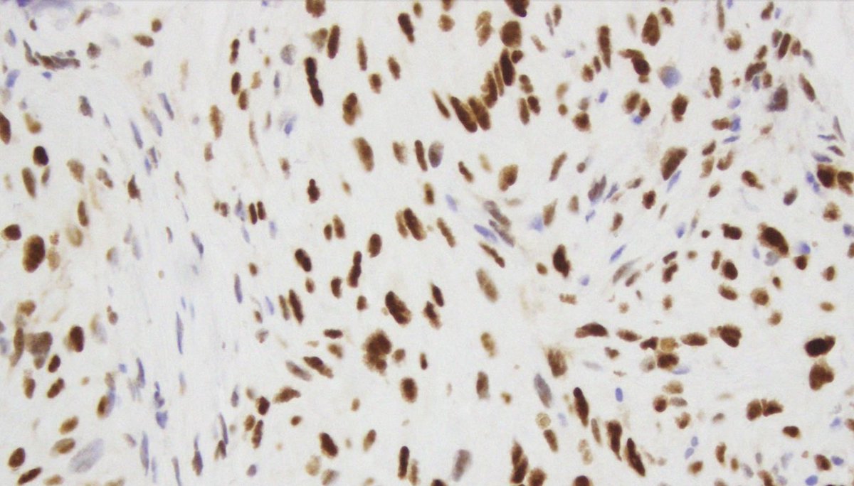
Comparative pathology boards facilitate the translation of knowledge between canine and human cancer patients Daniel Brat, MD, PhD Mireille Bitar, M.D. Craig Horbinski Stephen Yip, MD/PhD FRCPC onlinelibrary.wiley.com/doi/full/10.11…





