Benjamin Wood (@benjaminawood) 's Twitter Profile
Benjamin Wood

@benjaminawood

Dermatopathologist, PathWest Laboratory Medicine and University of Western Australia. #dermpath

ID: 804201620674252800

linkhttp://scholar.google.com.au/citations?hl=en&user=9FqJleMAAAAJ&view_op=list_works&sortby=pubdate calendar_today01-12-2016 05:53:02

440 Tweet

1,1K Followers

80 Following

Benjamin Wood (@benjaminawood) 's Twitter Profile Photo

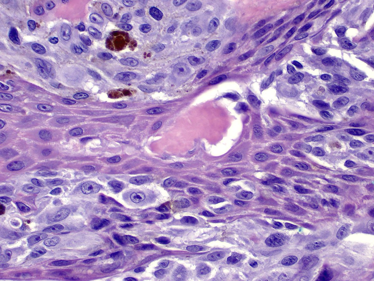
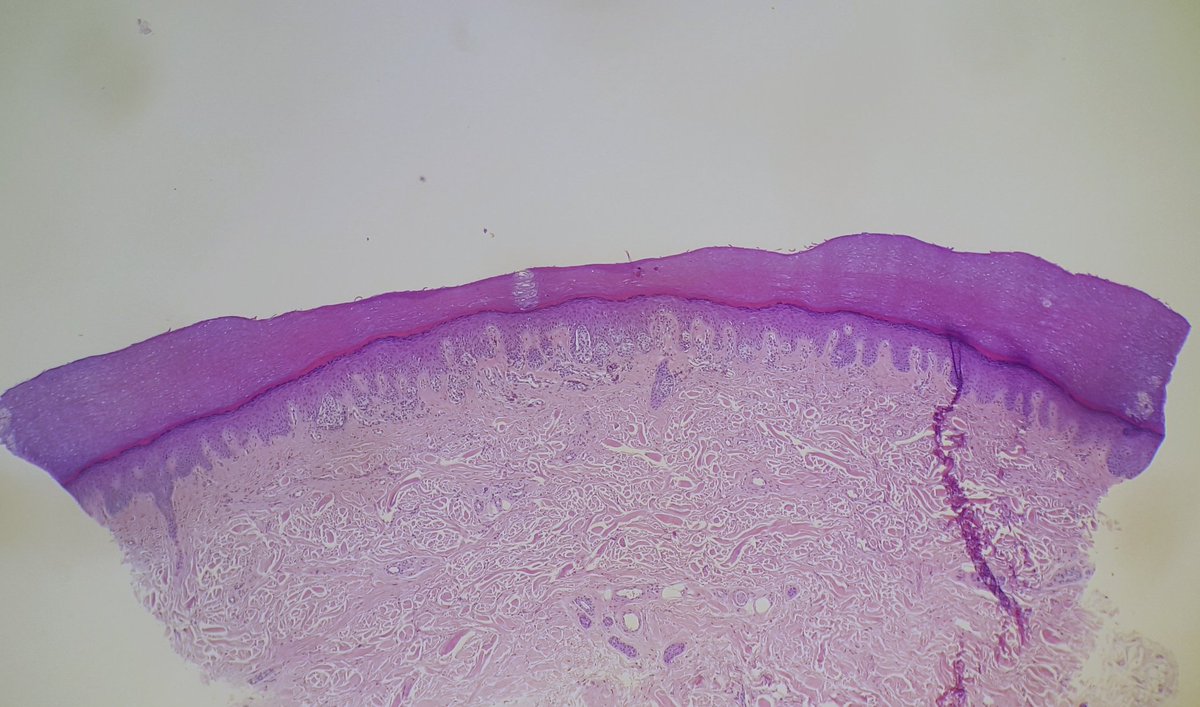
Dermpath trivia of the day: there is usually an area of keratin thinning over melanocytic lesions with a junctional component on acral skin. Seems of no real diagnostic value, just interesting.... #dermpath #pathology #dermatology

Dermpath trivia of the day: there is usually an area of keratin thinning over melanocytic lesions with a junctional component on acral skin. Seems of no real diagnostic value, just interesting.... #dermpath #pathology #dermatology
Benjamin Wood (@benjaminawood) 's Twitter Profile Photo

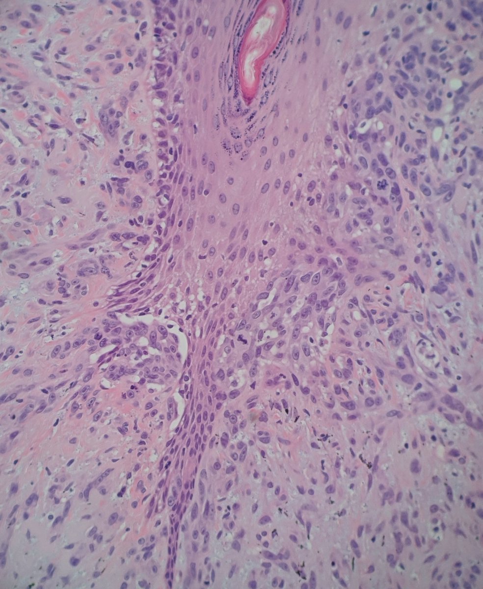
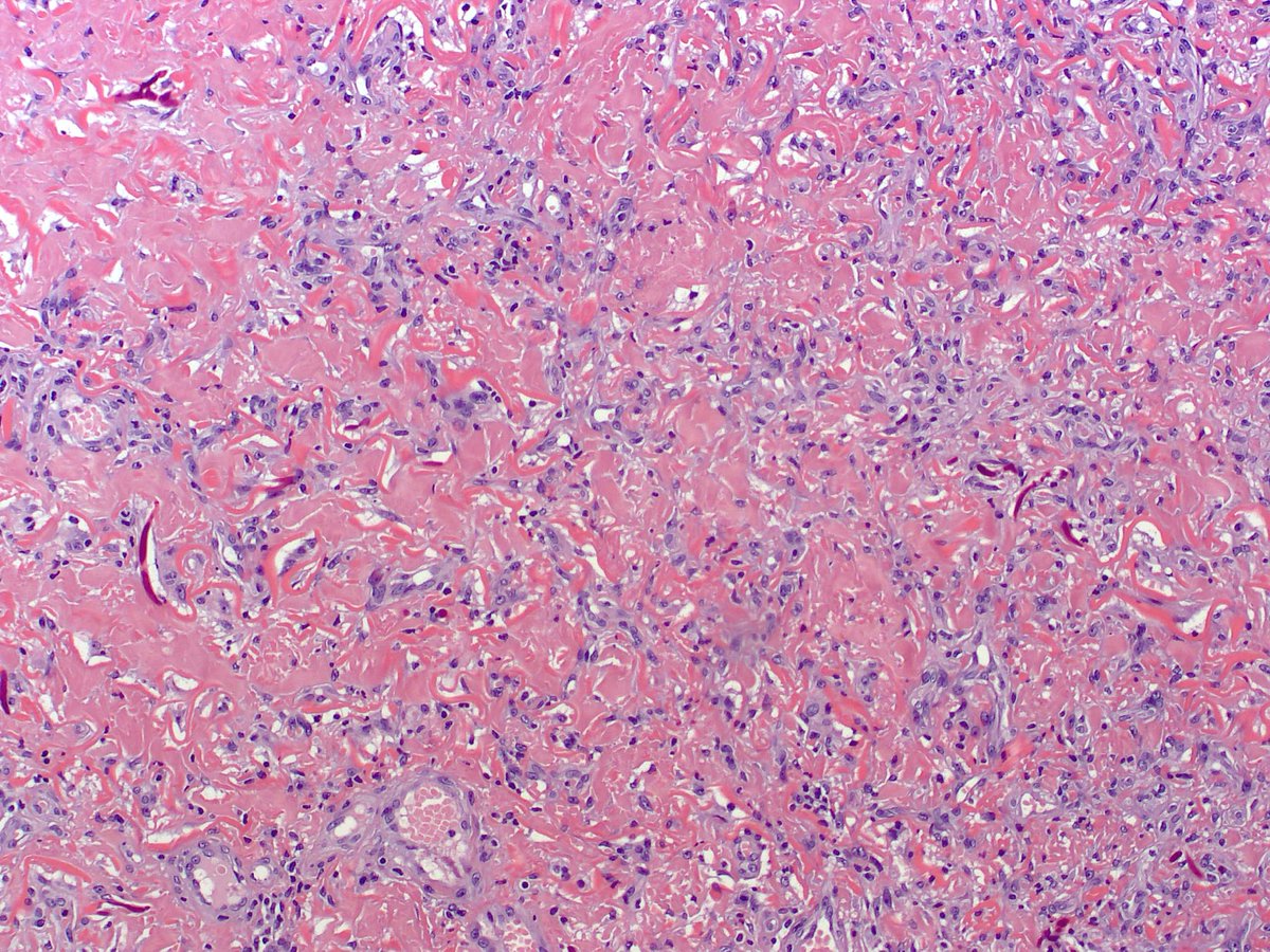
Cutaneous osteosarcoma? No, melanoma with osteoid formation. Most cases I have seen have been on the scalp, though some people see more mucosal or subungual cases. #dermpath #pathology #dermatology

Cutaneous osteosarcoma? No, melanoma with osteoid formation. Most cases I have seen have been on the scalp, though some people see more mucosal or subungual cases. #dermpath #pathology #dermatology
Benjamin Wood (@benjaminawood) 's Twitter Profile Photo

One typical feature of NTRK1 fusion Spitz lesions is a "nest of nests" pattern - what looks like a nest at low power turns out to be smaller nests rammed together at higher power. IHC is pan NTRK. #dermatology #dermpath #pathology

One typical feature of NTRK1 fusion Spitz lesions is a "nest of nests" pattern - what looks like a nest at low power turns out to be smaller nests rammed together at higher power. IHC is pan NTRK. #dermatology #dermpath #pathology
Benjamin Wood (@benjaminawood) 's Twitter Profile Photo

First Pan-NTRK IHC out of our lab on a FISH proven NTRKoma. Looks like this will be an easy optimisation! Thanks to Chris van Vliet! #dermpath #pathology #dermatology

First Pan-NTRK IHC out of our lab on a FISH proven NTRKoma. Looks like this will be an easy optimisation! Thanks to <a href="/pathperthect/">Chris van Vliet</a>! #dermpath #pathology #dermatology
Benjamin Wood (@benjaminawood) 's Twitter Profile Photo

Cutaneous nodular amyloid with h&e and methyl violet. Sparse plasma cells are usually monotypic. Need to exclude systemic disease, but most cases are isolated. #dermpath #pathology #dermatology

Cutaneous nodular amyloid with h&amp;e and methyl violet.  Sparse plasma cells are usually monotypic.  Need to exclude systemic disease, but most cases are isolated. #dermpath #pathology #dermatology
Benjamin Wood (@benjaminawood) 's Twitter Profile Photo

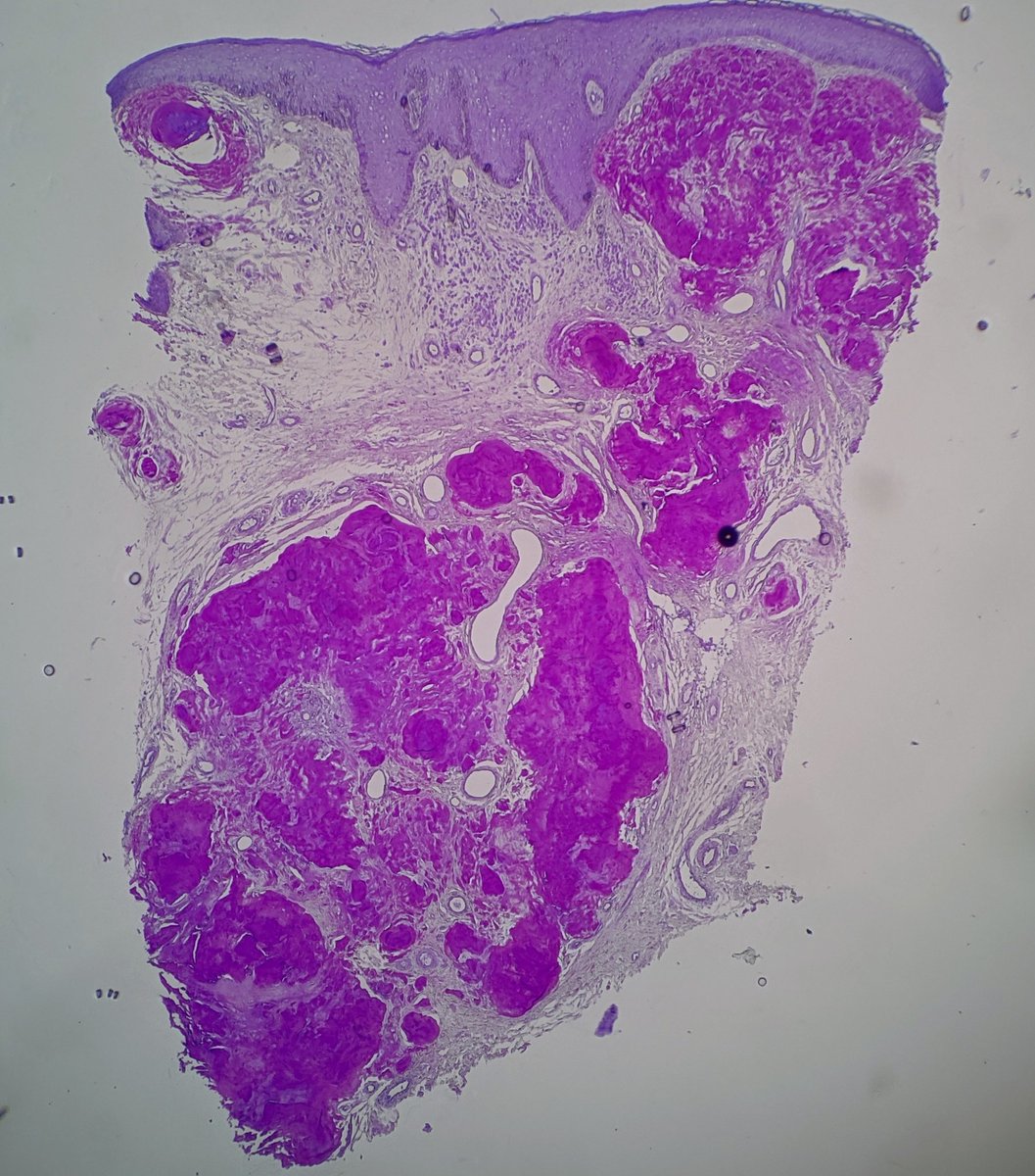
Two ossifying cutaneous tumours on PathPresenter as "ossifying fibromyxoid tumour". But they are quite different (pattern of ossification and arrangement of cells). The second is an example of ossifying plexiform tumour journals.lww.com/amjdermatopath… #pathology #dermatopathology

Two  ossifying cutaneous tumours on PathPresenter as "ossifying fibromyxoid tumour".  But they are quite different (pattern of ossification and arrangement of cells). The second is an example of ossifying plexiform tumour  journals.lww.com/amjdermatopath…
#pathology #dermatopathology
Benjamin Wood (@benjaminawood) 's Twitter Profile Photo

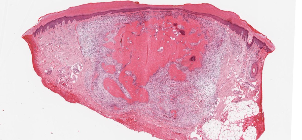
Lump on the scalp. Easy if you use your brain, a bit tricky for those of us who only think skin deep....#dermpath #dermatology #pathology

Lump on the scalp.  Easy if you use your brain, a bit tricky for those of us who only think skin deep....#dermpath #dermatology #pathology
Benjamin Wood (@benjaminawood) 's Twitter Profile Photo

And the answer is ... cutaneous meningioma. Quite uncommon, and easy to start thinking adnexal, melanocytic, cellular neurothekeoma if your practice stops at the fascia like me! All you need to know in: pubmed.ncbi.nlm.nih.gov/22288971/ #dermpath #pathology #dermatology

Benjamin Wood (@benjaminawood) 's Twitter Profile Photo

In support of epidermolysis bullosa week, here is the histology of EB simplex. Acral blisters in an infant. Note that on H&E andCK5/6 you can see that this is not a subepidermal vesicle- the problem is in the basal keratinocytes. #dermpath #dermatology #pathology

In support of epidermolysis bullosa week, here is the histology of EB simplex.  Acral blisters in an infant.  Note that on H&amp;E andCK5/6 you can see that this is not a subepidermal vesicle- the problem is in the basal keratinocytes.  #dermpath #dermatology #pathology
Benjamin Wood (@benjaminawood) 's Twitter Profile Photo

I don't understand why these eosinophilic blobs, named after Hideko Kamino, should be such a useful finding. But even in the age of fusions, aCGH and NGS they still hold up very well! Some musings from 20 years ago... pubmed.ncbi.nlm.nih.gov/11481532/ #dermpath #pathology #dermatology

I don't understand why these eosinophilic blobs, named after Hideko Kamino, should be such a useful finding.  But even in the age of fusions, aCGH and NGS they still hold up very well!  Some musings from 20 years ago... pubmed.ncbi.nlm.nih.gov/11481532/
#dermpath #pathology #dermatology
Benjamin Wood (@benjaminawood) 's Twitter Profile Photo

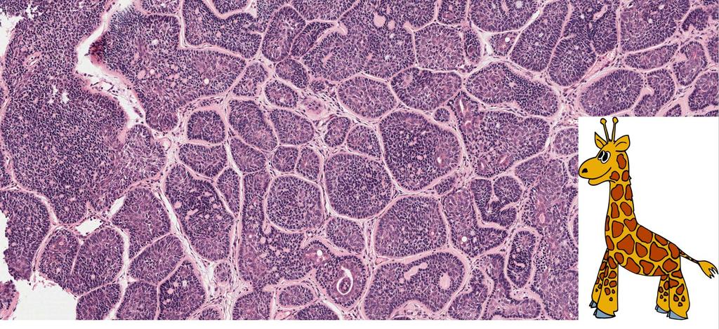
People starting out sometimes get spiradenoma and cylindroma confused (which doesn't matter and they sometimes overlap!). Remember SPiradenoma has Salt and Pepper lymphocytes, cylindroma looks like the cylindrical neck of a giraffe. #dermpath #dermatology #pathology

People starting out sometimes get spiradenoma and cylindroma confused (which doesn't matter and they sometimes overlap!). Remember SPiradenoma has Salt and Pepper lymphocytes, cylindroma looks like the cylindrical neck of a giraffe. #dermpath #dermatology #pathology
Benjamin Wood (@benjaminawood) 's Twitter Profile Photo

The Australasian Dermatopathology Society meeting will be a virtual event. 3 days of great live content, including lectures from Jerad Gardner, MD and Dirk Elston. Content available on demand following the meeting. All our #dermpath #dermatology and #pathology friends welcome.

The Australasian Dermatopathology Society meeting will be a virtual event.  3 days of great live content, including lectures from <a href="/JMGardnerMD/">Jerad Gardner, MD</a> and Dirk Elston.  Content available on demand following the meeting.  All our #dermpath #dermatology and #pathology friends welcome.
Benjamin Wood (@benjaminawood) 's Twitter Profile Photo

Eosinophilic spongiosis with eos tagging the basal layer in old skin is a good clue to pre-bullous BP. Scabies and allergic contact are two good DDx; both often have more superficial changes (parakeratosis, serum....mites if you are lucky!). #dermpath #pathology #dermatology

Eosinophilic spongiosis with eos tagging the basal layer in old skin is a good clue to pre-bullous BP.  Scabies and allergic contact are two good DDx; both often have more superficial changes (parakeratosis, serum....mites if you are lucky!).  #dermpath #pathology #dermatology
Benjamin Wood (@benjaminawood) 's Twitter Profile Photo

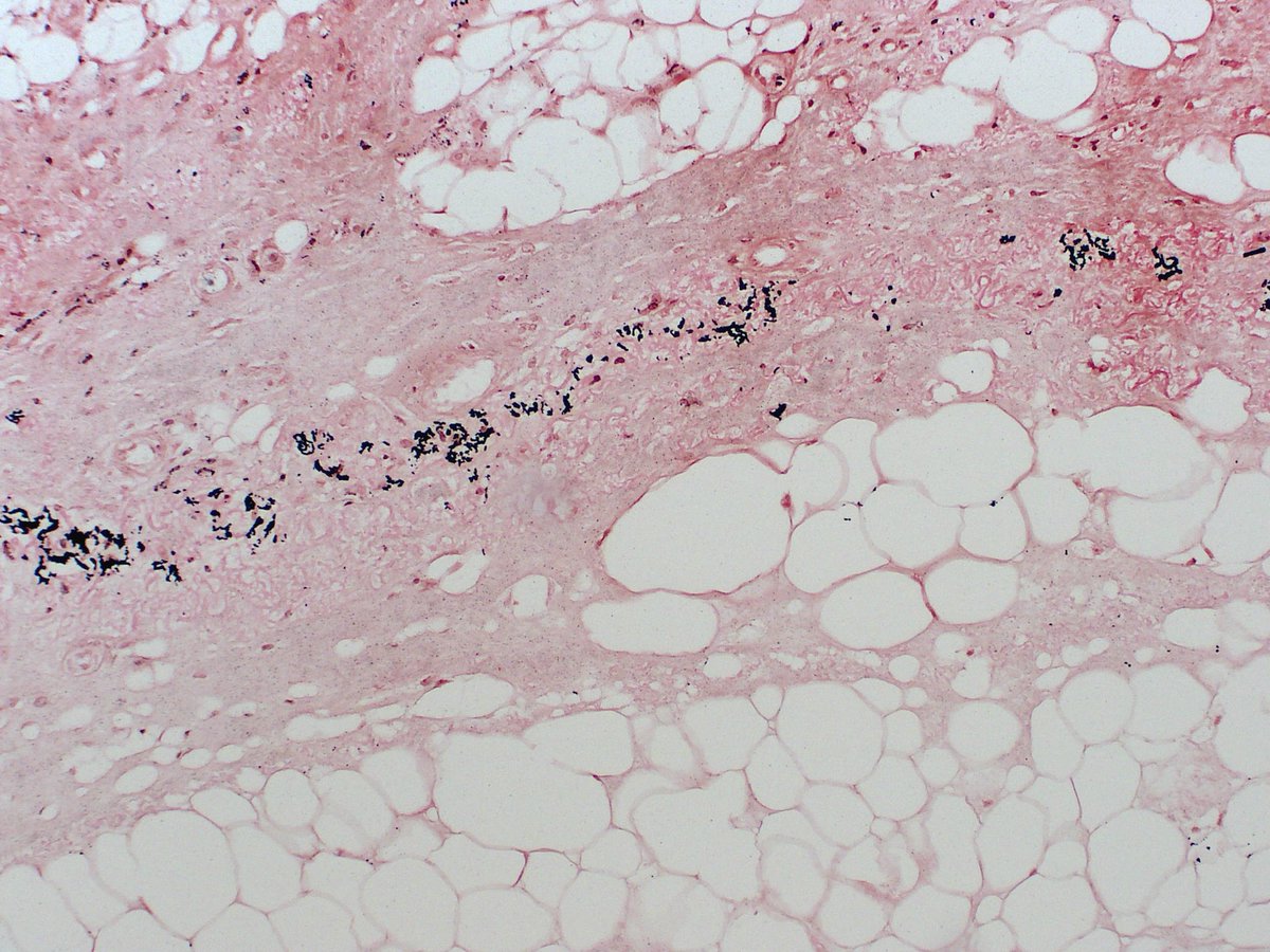
Peri-eccrine calcification and PXE-like elastic fibre calcification are two common, but probably not very specific, findings in calciphylaxis.pubmed.ncbi.nlm.nih.gov/31192861/ Stain is von Kossa. #dermpath #pathology #dermatology

Peri-eccrine calcification and PXE-like elastic fibre calcification are two common, but probably not very specific, findings in calciphylaxis.pubmed.ncbi.nlm.nih.gov/31192861/  Stain is von Kossa.  #dermpath #pathology #dermatology
Benjamin Wood (@benjaminawood) 's Twitter Profile Photo

Diffuse dermal angiomatosis is fairly common in calciphylaxis. In the appropriate context it seems quite specific; the other time we commonly see it is in pendulous breast skin. pubmed.ncbi.nlm.nih.gov/19652584/ #dermpath #dermatology #pathology

Diffuse dermal angiomatosis is fairly common in calciphylaxis.  In the appropriate context it seems quite specific; the other time we commonly see it is in pendulous breast skin.  pubmed.ncbi.nlm.nih.gov/19652584/  #dermpath #dermatology #pathology
Benjamin Wood (@benjaminawood) 's Twitter Profile Photo

Early Bird registration for this year's ADS virtual meeting closes soon. Great speakers, live Q&A, on demand recordings available for 6 months. Whatever your time zone you can join in! Details at aderms.com/generalinfo #dermpath #pathology #dermatology

Early Bird registration for this year's ADS virtual meeting closes soon.  Great speakers, live Q&amp;A, on demand recordings available for 6 months.  Whatever your time zone you can join in!  Details at aderms.com/generalinfo
#dermpath #pathology #dermatology
Benjamin Wood (@benjaminawood) 's Twitter Profile Photo

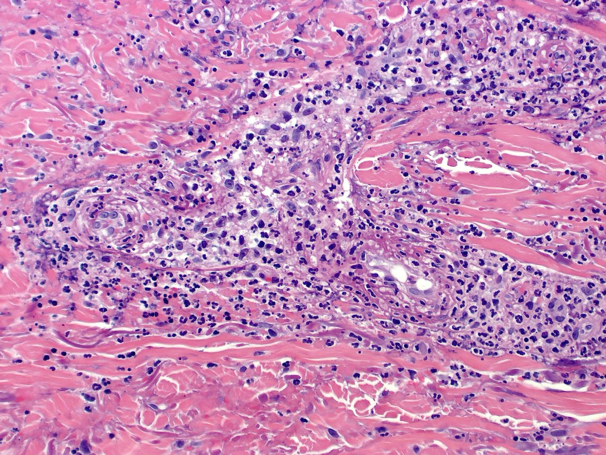
Papillary dermal microabscesses. Is it dermatitis herpetiformis? No, it is IgA LCV. In addition to the usual neutrophil rich subepidermal vesicular DDx papillary dermal microabscesses can occur in LCV, infections and other oddball things #dermpath #pathology #dermatology

Papillary dermal microabscesses.  Is it dermatitis herpetiformis? No, it is IgA LCV.  In addition to the usual neutrophil rich subepidermal vesicular DDx papillary dermal microabscesses can occur in LCV, infections and other oddball things #dermpath #pathology #dermatology