
Batu Biologics
@batubiologics
Immuno-oncology firm Batu Biologics is developing universal donor therapies targeting multiple pathways to enhance efficacy & specificity of cancer treatments
ID: 2600575544
http://Www.batubiologics.com 02-07-2014 22:39:08
386 Tweet
458 Followers
1,1K Following





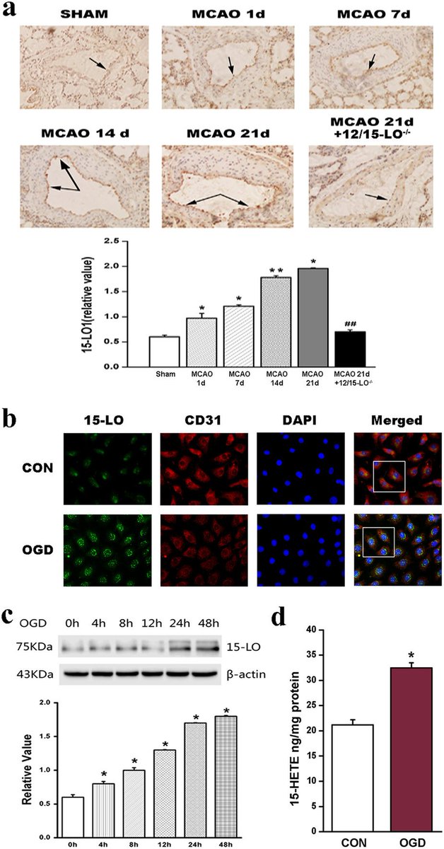
Key Role of 15-LO/15-HETE in #Angiogenesis & Functional Recovery in Later Stages of Post-Stroke Mice Scientific Reports ow.ly/Bp8730bxEd8















