A.R.G.U.L (@argul_research) 's Twitter Profile
A.R.G.U.L

@argul_research

ARGUL (Association pour la Recherche en imagerie Génito-Urinaire et Imagerie de la Femme de Lille ; association for research in genitourinary and women imaging)

ID: 848176370387742720

linkhttp://www.argul.fr calendar_today01-04-2017 14:12:59

45 Tweet

134 Followers

501 Following

A.R.G.U.L (@argul_research) 's Twitter Profile Photo

Troisième édition des Ateliers Lillois d’Imagerie Genito Urinaire avec le Pr Puech, Dr Gaillard, Dr Fantoni, Dr Henon et Dr Renard. Philippe PUECH. Cours des radiologues et urologues. Cas cliniques pour la première fois sur tablette Surface avec RadiAnt DICOM Viewer.

Troisième édition des Ateliers Lillois d’Imagerie Genito Urinaire avec le Pr Puech, Dr Gaillard, Dr Fantoni, Dr Henon et Dr Renard. <a href="/voxelmator/">Philippe PUECH</a>. Cours des radiologues et urologues. Cas cliniques pour la première fois sur tablette Surface avec <a href="/radiantviewer/">RadiAnt DICOM Viewer</a>.
A.R.G.U.L (@argul_research) 's Twitter Profile Photo

Le service d'imagerie génito-urinaire du CHU de Lille organise les 13 et 14 décembre une formation à l'interprétation de l'imagerie de la prostate. 6h de cas cliniques sur tablettes iPad Pro (A4) Ouvert aux radiologues, mais aussi aux urologues. argul.fr

Le service d'imagerie génito-urinaire du CHU de Lille organise les 13 et 14 décembre une formation à l'interprétation de l'imagerie de la prostate. 
6h de cas cliniques sur tablettes iPad Pro (A4)
Ouvert aux radiologues, mais aussi aux urologues.
argul.fr
Philippe PUECH (@voxelmator) 's Twitter Profile Photo

Intl. session at the #JFR2019, discussing the future of #ProstateCancer MRI, with Anwar Padhani , Ivo Schoots , Pr Rouviere, Pr Renard-Penna and Philippe PUECH. Brilliant talks as expected !

Intl. session at the #JFR2019, discussing the future of #ProstateCancer MRI, with <a href="/ProfPadhani/">Anwar Padhani</a> , <a href="/IvoSchootsNL/">Ivo Schoots</a> , Pr Rouviere, Pr Renard-Penna and <a href="/voxelmator/">Philippe PUECH</a>. Brilliant talks as expected !
Veeru Kasi (@veerukasi) 's Twitter Profile Photo

Progress being made for men with #prostatecancer. Amer. Urol. Assn. policy statement supporting use of MRI prior to biopsy for all men. Well done 🇺🇸; joining NICE and European Association of Urology (EAU) guidelines! Scott Eggener Samir Taneja Baris Turkbey MD Caroline Moore Anwar Padhani #UroSoMe ncbi.nlm.nih.gov/m/pubmed/31642…

A.R.G.U.L (@argul_research) 's Twitter Profile Photo

12ème edition des ateliers lillois d’imagerie de la prostate. Beaucoup ont bravé les grèves pour atteindre l’hôtel ⁦Crowne Plaza Hotels & Resorts by IHG⁩ de Lille. Cas cliniques sur iPad Pro ! Belle participation de nos amis urologues.

12ème edition des ateliers lillois d’imagerie de la prostate. Beaucoup ont bravé les grèves pour atteindre l’hôtel ⁦<a href="/CrownePlaza/">Crowne Plaza Hotels & Resorts by IHG</a>⁩ de Lille. Cas cliniques sur iPad Pro ! Belle participation de nos amis urologues.
A.R.G.U.L (@argul_research) 's Twitter Profile Photo

La situation des médecins hospitalo-universitaires en France est préoccupante. Beaucoup songent à démissionner. Mobilisons nous pour éviter la catastrophe annoncée. lnkd.in/ghJ4yQh

A.R.G.U.L (@argul_research) 's Twitter Profile Photo

C’est parti pour la 2ème édition des ateliers Lillois d’imagerie de la femme dédiés à l’endométriose; cause nationale ! Belle participation++

C’est parti pour la 2ème édition des ateliers Lillois d’imagerie de la femme dédiés à l’endométriose; cause nationale ! Belle participation++
Hein Van Poppel (@heinvanpoppel) 's Twitter Profile Photo

This is the result of the orchestrated anti PSA propaganda that we will need to carry an finance in the years to come. How stupid can we be to not support PCa early detection in well informed healthy men ?

Philippe PUECH (@voxelmator) 's Twitter Profile Photo

This free online tool allows quick graphic-based creation of #PIRADS, #PIQUAL, #PIRR, #PRECISE compliant #structuredreports for #prostate #MR #Prostatecancer. Auto text report. A must-have. Available in English, french, spanish, italian. pcih.fr/portal =>try+retweet!

This free online tool allows quick graphic-based creation of #PIRADS, #PIQUAL, #PIRR, #PRECISE compliant #structuredreports for #prostate #MR #Prostatecancer. 
Auto text report. 
A must-have. 
Available in English, french, spanish, italian. 
pcih.fr/portal
=&gt;try+retweet!
Philippe PUECH (@voxelmator) 's Twitter Profile Photo

Omphalitis is a local inflammation of the umbilicus. A differential of the urachus sinus, one of the pathologies of the umbilical ligament (urachus) that must be known by all #uroradiologists. Diagnosis facilitated by #spectralimaging. To be followed by #MRI after local treatment

Omphalitis is a local inflammation of the umbilicus. A differential of the urachus sinus, one of the pathologies of the umbilical ligament (urachus) that must be known by all #uroradiologists. Diagnosis facilitated by #spectralimaging. To be followed by #MRI after local treatment
Patricia GUTIERREZ (@drapatog) 's Twitter Profile Photo

CASO VISULALIZADO DURANTE MI ESTANCIA FORMATIVA EN LILLE, FRANCIA. La prostata y VS. están rodeadas de un tejido hipointenso en T2 (flechas) con intenso realce precoz post en DCE y restricción en DWI. La histologia reveló #linfoma. #prostate Philippe PUECH A.R.G.U.L

CASO VISULALIZADO DURANTE MI ESTANCIA FORMATIVA EN LILLE, FRANCIA. 

La prostata y VS. están rodeadas de un tejido hipointenso en T2 (flechas) con intenso realce precoz post en DCE y restricción en DWI. 
La histologia reveló #linfoma. 
#prostate 

<a href="/voxelmator/">Philippe PUECH</a> <a href="/ARGUL_research/">A.R.G.U.L</a>
Philippe PUECH (@voxelmator) 's Twitter Profile Photo

Following recent Pascal Baltzer and Francesco Giganti tweets, I updated the online #prostate #MRI #SR software. A : #PIQUAL in all reports++ B : No #PIRADS or Likert if PI-QUAL<3 C : This has to be explained in the report conclusion/impressions D : The software warns the user about it

Following recent <a href="/PascalBaltzer/">Pascal Baltzer</a> and <a href="/giga_fra/">Francesco Giganti</a> tweets, I updated the online #prostate #MRI #SR software.
A : #PIQUAL in all reports++
B : No #PIRADS or Likert if PI-QUAL&lt;3
C : This has to be explained in the report conclusion/impressions
D : The software warns the user about it
Philippe PUECH (@voxelmator) 's Twitter Profile Photo

GU imaging quiz !🎓 Bilateral perirenal and renal lesions, mainly predominant on the left side. No enhancement. Your diagnosis ? 📌Answer and explanations next week... #GUimaging CHU de Lille #greatradiologyresidents #kidney #imaging

GU imaging quiz !🎓
Bilateral perirenal and renal lesions, mainly predominant on the left side. No enhancement. Your diagnosis ?
📌Answer and explanations next week...
#GUimaging <a href="/CHU_Lille/">CHU de Lille</a> #greatradiologyresidents #kidney #imaging
Philippe PUECH (@voxelmator) 's Twitter Profile Photo

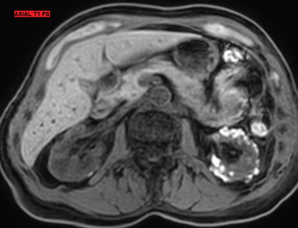
69yo woman. History of leukemia. Worsening of the general state, CKD and inflammatory syndrome. PET : large coralliform stone. MRI : unilateral chronic obstruction, pyonephrosis, normal left kidney. Proteus mirabilis. #greatradiologyresidents #GUimaging

69yo woman. History of leukemia. Worsening of the general state, CKD and inflammatory syndrome. PET : large coralliform stone. MRI : unilateral chronic obstruction, pyonephrosis, normal left kidney. Proteus mirabilis.
#greatradiologyresidents #GUimaging
Philippe PUECH (@voxelmator) 's Twitter Profile Photo

Patient with AFMS-PIRADS 5 lesion, associated with a PZ-PIRADS 3 at #MRI. Systematic biopsies only showed 1mm ISUP 1 microfocus on the right PZ, but target biopsies revealed 2x10mm of ISUP 1 #prostate #cancer in the AFMS #GUImaging #greatradiologyresidents

Patient with AFMS-PIRADS 5 lesion, associated with a PZ-PIRADS 3 at #MRI. Systematic biopsies only showed 1mm ISUP 1 microfocus on the right PZ, but target biopsies revealed 2x10mm of ISUP 1 #prostate #cancer in the AFMS
#GUImaging #greatradiologyresidents
Philippe PUECH (@voxelmator) 's Twitter Profile Photo

Hey ! How would you classify that liquid renal lesion, discovered incidentally at MRI ❓ Please answer the MCQ in comments...(anonymous)👇 #GUimaging #Bosniak #medtwitter #FOAMrad #greatradiologyresidents CHU de Lille SIGU European Society of Urogenital Radiology ESUR Junior Network #MRI ➡️Like/Share