Ruminda H. Gunaratne
@rumindahg
Trainee in Medicine, Campbelltown Hospital, NSW, Australia
Elderly Medicine|Dementia
@CheveningAA @UCLIoN @RCphysicians @ColomboUni @tu_information
ID: 4865551860
05-02-2016 18:39:03
2,2K Tweet
1,1K Takipçi
905 Takip Edilen
Are we ready for a world where our data is exposed at a glance? Caine Ardayfio 🐧 and I offer an answer to protect yourself here: tinyurl.com/meet-ixray
There was a recent trial in the New England Journal of Medicine on this! In a new video in our partnership with Dr. Glaucomflecken, research into screening for prostate cancer with PSA and MRI is discussed: tiktok.com/@nejm.org/vide…
What's the optimal number of steps of physical activity that is associated with multiple (9) favorable outcomes? The largest, systematic review of 57 studies, 35 cohorts. 7,000 steps is clinically meaningful; some benefit also seen for 4,000 steps cf 2,000 steps The Lancet
Dementia affects memory, cognitive functioning, and the ability to perform everyday tasks. On Sunday's #WorldAlzheimersDay, join World Health Organization (WHO) in calling for quality care for those suffering from dementia. who.int/news-room/fact…
This is amazing. A cure for a genetic neurodegenerative disease. AMT-130 is a one time gene therapy injected directly into the brain. It has shown to slow the progression of Huntington Disease by 75% over 36 months. Outstanding work done by UCL Queen Square Institute of Neurology UCL Brain Sciences UCL Huntington’s Disease Centre
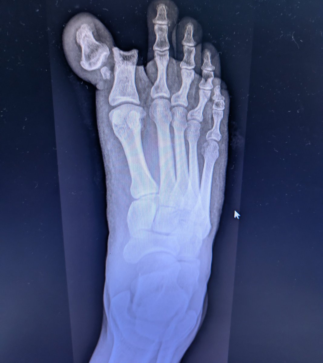
Christmas Day in ED: A gentleman, festive spirits, commando roll, and one dislocated toe. Definitely a mistoe-ltoe moment 🎄 Merry Christmas all — enjoy the festivities, but maybe skip the stunts. Sam Ghali, M.D.