Kevin Dooley (@kfdooley) 's Twitter Profile
Kevin Dooley

@kfdooley

Chairman, Cure IBM | Rare disease advocate/patient/physician | Inclusion body myositis (IBM) | Neuromuscular diseases | Muscle aging | Disability

ID: 804599760577400832

calendar_today02-12-2016 08:15:06

432 Tweet

255 Takipçi

409 Takip Edilen

The Myositis Association (@themyositisassc) 's Twitter Profile Photo

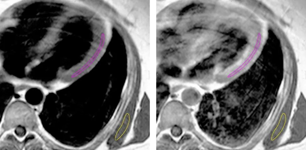
Study demonstrated increased amount of arterial hypertension in their #inclusionbodymyositis cohort but not in primary #heart muscle #inflammation. #myositis #Cardiology #rheumatology #Neurology link.springer.com/article/10.100…

Study demonstrated increased amount of arterial hypertension in their #inclusionbodymyositis cohort but not in primary #heart muscle #inflammation.
#myositis #Cardiology #rheumatology #Neurology 
link.springer.com/article/10.100…
Kezar Life Sciences (@kezarbio) 's Twitter Profile Photo

We're looking for people living with dermatomyositis and polymyositis to participate in a clinical research study: kezarlifesciences.com/presidiostudy/ #myositis #clinicaltrials

The Myositis Association (@themyositisassc) 's Twitter Profile Photo

TMA has grant program for innovative pilot research into any type of immune-mediated #myositis. Fellowship funding is available for $50,000 per year for 2 years, and pilot project grant funding is available for a maximum of $100,000 per year for 2 years. myositis.org/research/tma-g…

TMA has grant program for innovative pilot research into any type of immune-mediated #myositis. Fellowship funding is available for $50,000 per year for 2 years, and pilot project grant funding is available for a maximum of $100,000 per year for 2 years.
myositis.org/research/tma-g…
Kezar Life Sciences (@kezarbio) 's Twitter Profile Photo

Our PRESIDIO study continues to recruit those with dermatomyositis and polymyositis. Find out here: kezarlifesciences.com/presidiostudy/ #presidiostudy #mysoitis #dermatomyositis #polymysositis

AllStripes (@_allstripes) 's Twitter Profile Photo

Registrations are about to close for #2020RDDS at 5pm ET, today. Send us an email at [email protected] if you're a patient, patient advocate or researcher interested in attending to get a free registration code! #gcchat #MedTwitter #raredisease #patientadvocate #CarersWeek

Cure IBM—Inclusion Body Myositis (@cureibm) 's Twitter Profile Photo

Bill Birchard just rode 45 minutes for Team Cure IBM in the Million Dollar Bike Ride spin class. He’s helping raise money for inclusion body myositis research. Online credit card donations can be made until the end of June. socialfundraising.apps.upenn.edu/socialFundrais…

Kevin Dooley (@kfdooley) 's Twitter Profile Photo

My family and I unicycled, walked, danced, and biked to celebrate the virtual Million Dollar Bike Ride on Saturday. Donations can still be made until the end of June. Every dollar will fund inclusion body myositis research. UPenn Million Dollar Bike Ride by ODC #PennMedMDBR2020 socialfundraising.apps.upenn.edu/socialFundrais…

My family and I unicycled, walked, danced, and biked to celebrate the virtual Million Dollar Bike Ride on Saturday. Donations can still be made until the end of June. Every dollar will fund inclusion body myositis research. <a href="/MDBRide4Rare/">UPenn Million Dollar Bike Ride by ODC</a> #PennMedMDBR2020 socialfundraising.apps.upenn.edu/socialFundrais…
Cure IBM—Inclusion Body Myositis (@cureibm) 's Twitter Profile Photo

A new $68,245 research grant for the study of inclusion body myositis is now available due to the efforts of Team Cure IBM in the Million Dollar Bike Ride. We are now seeking research proposals from doctors and scientists from around the world. cureibm.org/68245-grant-av…

AllStripes (@_allstripes) 's Twitter Profile Photo

You may know Rhonda as the Myositis Warrior. In honor of Myositis Awareness Month, we spoke with her about how IBM patients can be involved in research. Myositis Support and Understanding (MSU) allstripes.com/blog/ways-pati…

JAMA Network Open (@jamanetworkopen) 's Twitter Profile Photo

Randomized trial finds the gut microbiome metabolite urolithin A enhanced muscle endurance and improved mitochondrial health in older adults. Study highlights potential role of mitophagy activation to improve muscle health. ja.ma/3IrfIhn

Randomized trial finds the gut microbiome metabolite urolithin A enhanced muscle endurance and improved mitochondrial health in older adults. Study highlights potential role of mitophagy activation to improve muscle health. ja.ma/3IrfIhn
Cure IBM—Inclusion Body Myositis (@cureibm) 's Twitter Profile Photo

The INSPIRE-IBM study is recruiting and needs more patients. Consider participating, and spread the word — let’s make this important study a success! cureibm.org/participants-n…