Alireza Salem (@alirezasalem2) 's Twitter Profile
Alireza Salem

@alirezasalem2

Asst Professor, Columbia University Medical Center @ColumbiaPath @Columbia, Alumnus@MDAndersonNews #SurgPath #BreastPath

ID: 1118706331379171328

calendar_today18-04-2019 02:42:28

107 Tweet

415 Takipçi

278 Takip Edilen

Alireza Salem (@alirezasalem2) 's Twitter Profile Photo

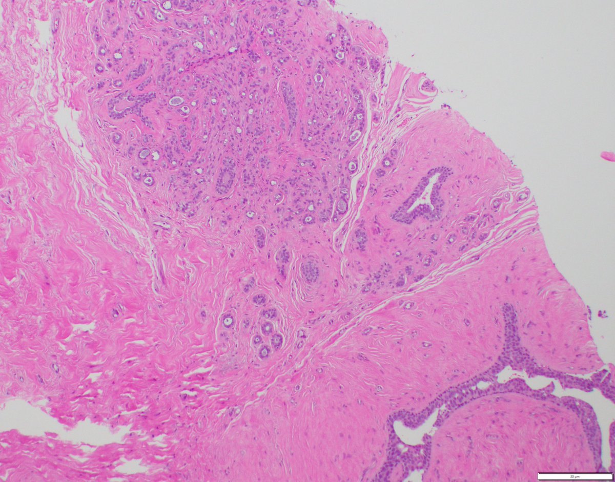
Skin lesion of a patient with hx of breast cancer s/p post-radiation: Angiosarcoma Infiltrative anastomosing vascular channels with endothelial atypia, preadnexal+perineural invasion. CD31+, ERG+, CK- #breastpath #pathresidents #pathtwitter #BreastPatholog1 Columbia Pathology ISBP

Skin lesion of a patient with hx of breast cancer s/p post-radiation: Angiosarcoma
Infiltrative anastomosing vascular channels with endothelial atypia, preadnexal+perineural invasion.
CD31+, ERG+, CK-
#breastpath #pathresidents #pathtwitter #BreastPatholog1
<a href="/ColumbiaPath/">Columbia Pathology</a> <a href="/TheISBP/">ISBP</a>
Columbia Pathology Residency (@columbiapathres) 's Twitter Profile Photo

Join us for an NYP-Columbia University Open House for prospective applicants featuring our many DEI initiatives! See you there on September 17, 2024, 6:30-8:00 pm ET!

Join us for an NYP-Columbia University Open House for prospective applicants featuring our many DEI initiatives! See you there on September 17, 2024, 6:30-8:00 pm ET!
Alireza Salem (@alirezasalem2) 's Twitter Profile Photo

Congratulations to our breast team Columbia Pathology and @Columbiapathres Zhe (Jason) Zhu, MD for their hard work to have all our abstracts accepted to the USCAP Annual Meeting. Looking forward to seeing you all in Boston! #breastpath #pathresidents #pathtwitter ISBP

Alireza Salem (@alirezasalem2) 's Twitter Profile Photo

Beautifully delivered presentation from @kellykhunt Columbia Universitysurgury on “Advances and New Directions in the Treatment of Breast Cancer “ #oncsurgery#breastpath #pathtwitter Columbia Pathology @Columbia

Beautifully delivered presentation from @kellykhunt <a href="/Columbia/">Columbia University</a>surgury on “Advances and New Directions in the Treatment of Breast Cancer “
#oncsurgery#breastpath #pathtwitter
<a href="/ColumbiaPath/">Columbia Pathology</a> @Columbia
Hannah Wen (@hannahywen) 's Twitter Profile Photo

FDA Approves Trastuzumab Deruxtecan for Pretreated HER2-Low and -Ultralow Metastatic Breast Cancer onclive.com/view/fda-appro… via @onclive

Alireza Salem (@alirezasalem2) 's Twitter Profile Photo

Exciting news for us Columbia Pathology starting tomorrow we will officially begin our digital sign-out. Our future is here.... Special thanks to Michael L Miller, MD, PhD for his efforts in driving this initiative. #PathTwitter #pathresdents #breastpath #digitalpathology Columbia University

Alireza Salem (@alirezasalem2) 's Twitter Profile Photo

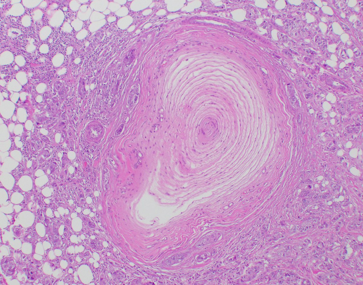
Pulmonary artery intimal sarcoma: sheets of hypercellular atypical spindle and epithelioid tumor cells with increased mitotic activity. SATB2 + #pathresidents #pathtwitter Columbia Pathology Columbia Pathology Residency

Pulmonary artery intimal sarcoma: sheets of hypercellular atypical spindle and epithelioid tumor cells with increased mitotic activity. SATB2 +
#pathresidents #pathtwitter
<a href="/ColumbiaPath/">Columbia Pathology</a> <a href="/ColumbiaPathRes/">Columbia Pathology Residency</a>
Columbia Pathology Residency (@columbiapathres) 's Twitter Profile Photo

Happy Match Day! We are so excited to announce our incoming PGY-1s! ✨ Welcome to the Pathology and Columbia communities! Congratulations to everyone on their match today. 🎉 #pathmatch2025 #match2025

Happy Match Day! We are so excited to announce our incoming PGY-1s! ✨

Welcome to the Pathology and Columbia communities! Congratulations to everyone on their match today. 🎉

#pathmatch2025 #match2025
Alireza Salem (@alirezasalem2) 's Twitter Profile Photo

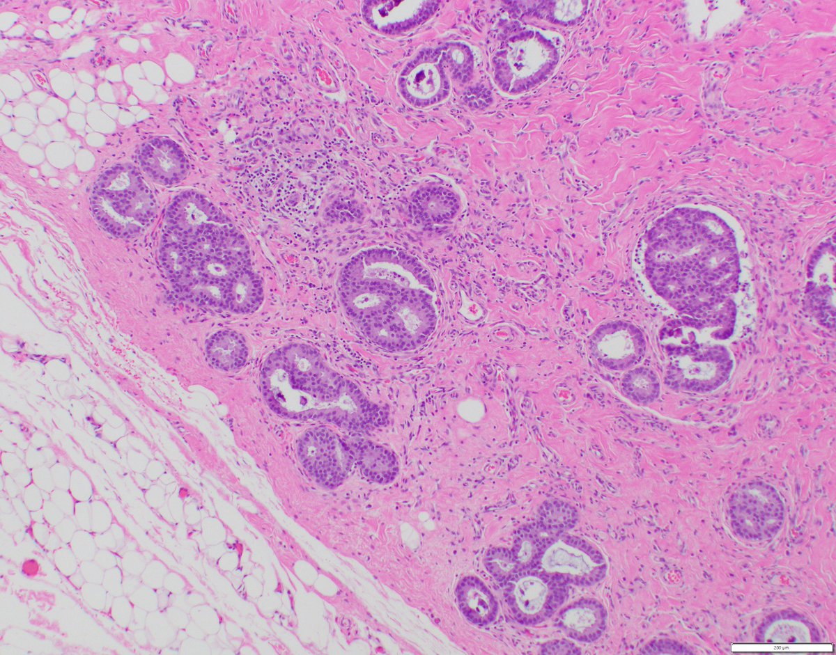
Ductal carcinoma in situ (DCIS) with lobular cancerization and pagetoid growth pattern, E-cadherin exhibits intact membranous expression. #breastpath #pathresidents #pathtwitter #BreastPatholog1 Columbia Pathology Columbia Pathology Residency

Ductal carcinoma in situ (DCIS) with lobular cancerization and pagetoid growth pattern, E-cadherin   exhibits intact membranous expression. 
#breastpath #pathresidents #pathtwitter #BreastPatholog1
<a href="/ColumbiaPath/">Columbia Pathology</a> <a href="/ColumbiaPathRes/">Columbia Pathology Residency</a>
Alireza Salem (@alirezasalem2) 's Twitter Profile Photo

The correct answer is Salivary gland-type breast cancer: Adenoid Cystic Carcinoma, Solid-basaloid type, a TNBC characterized by solid growth pattern with a basaloid appearance and a translocation resulting in an MYB::NFIB fusion gene and the overexpression of MYB.

The correct answer is Salivary gland-type breast cancer: Adenoid Cystic Carcinoma, Solid-basaloid type, a TNBC characterized by solid growth pattern with a basaloid appearance and a translocation resulting in an MYB::NFIB fusion gene and the overexpression of MYB.
Alireza Salem (@alirezasalem2) 's Twitter Profile Photo

The answer is Secretory Carcinoma: TNBC , composed of polygonal neoplastic cells with granular /vacuolated eosinophilic cytoplasm. ETV6::NTRK3 fusion gene, NTRK stain + #PathX #breastpath #pathresidents #pathtwitter #BreastPatholog1 Columbia Pathology Columbia Pathology Residency ISBP

The answer is Secretory Carcinoma: TNBC , composed of polygonal neoplastic cells with granular /vacuolated eosinophilic cytoplasm. ETV6::NTRK3 fusion gene, NTRK stain + 
#PathX #breastpath #pathresidents #pathtwitter #BreastPatholog1
<a href="/ColumbiaPath/">Columbia Pathology</a>
<a href="/ColumbiaPathRes/">Columbia Pathology Residency</a>
<a href="/TheISBP/">ISBP</a>
Qing Ding, MD/PHD (@qqingding) 's Twitter Profile Photo

doi.org/10.1016/j.hump… Check TRPS1 in normal breast duct, at the appropriate condition, it stains luminal cell weakly to moderately , not myoepithelial cell and stromal cells, just like ER, and check the full paper, we compared multiple TRPS1 antibodies and different protocols.

doi.org/10.1016/j.hump… 
Check TRPS1 in normal breast duct, at the appropriate condition, it stains luminal cell weakly to moderately , not myoepithelial cell and stromal cells, just like ER, and check the full paper, we compared multiple TRPS1 antibodies and different protocols.