
akellerlab
@akellerlab
Neurovascular biology lab akellerlab.ch @UZH_Science, @Unispital_USZ led by @annikakeller_
#pericyte #bloodbrainbarrier #glia #calcification
ID: 1351451623760003073
https://akellerlab.ch/ 19-01-2021 08:49:58
224 Tweet
609 Takipçi
246 Takip Edilen

The happiness when your reviewer’s comment reads “Congratulations for this really nice piece of work” 🥲😬 Manuscript accepted :) :) akellerlab


#CVB2023- BBB/BBQ evening in Uppsala. Conference at its best 😍 with akellerlab Montagne Lab Christer Betsholtz Martin Lauritzen Ayal Ben-Zvi Krzysztof Kucharz Benoit Vanhollebeke, Lara Organshola, Stefan Liebner


#CVB2023 Upasana Maheshwari poster 171 accepted for publication Brain Pathology Happy days 🎈🍾





I had a wonderful time last night with these two brilliant vascular scientists Annika Keller & Joanna Kalucka! Hope that touching Greyfriars Bobby’s nose will bring you even more success, grant money and papers in the future! 😁 Let’s catch up soon!



Great neurovascular session at the #BonnBrain meeting! Glad to share the stage with fantastic researchers Pablo Blinder, Annika Keller, & Caroline Menard 😍 #vesselsmatter



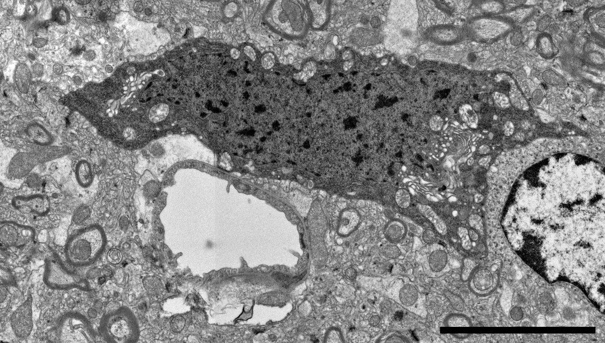
Recent work from our lab spearheaded by talented Upasana Maheshwari XPR1 is the only known mammalian phosphate exporter and its LOF in humans leads to a neurological disease. doi.org/10.1111/bpa.13…



Very happy to see our work finally in print 🥳😊😀Learn more how aging and senescent cells impairs nerve functions in the heart science.org/doi/full/10.11… Thanks to the entire teams particularly Julian Wagner and our great collaborators DZHK Germany CPI


Administration of TREM2 activating antibody shows limited impact on cerebrovascular calcification akellerlab University of Zurich life-science-alliance.org/content/8/1/e2…

