Abdullah Al-Bouri MD (@ahbouri_md) 's Twitter Profile
Abdullah Al-Bouri MD

@ahbouri_md

AP/CP Pathology Residency at WVUMedicine
Now a Cytopathology Fellow at AGH, Pittsburgh

ID: 929189897411399680

calendar_today11-11-2017 03:31:49

19 Tweet

98 Takipçi

58 Takip Edilen

WVU Pathology, Anatomy, and Laboratory Medicine (@wvupathology) 's Twitter Profile Photo

#MountaineerMonday case is a distal pancreatectomy from a young woman. The specimen showed a 5.4cm mass w/ findings consistent with Undif. Carcinoma w/ Osteoclast-like Giant Cells. Bone formation was present as well as a MCN component. #GIPath #pathology #usmle #medstudent

#MountaineerMonday case is a distal pancreatectomy from a young woman. The specimen showed a 5.4cm mass w/ findings consistent with Undif. Carcinoma w/ Osteoclast-like Giant Cells. Bone formation was present as well as a MCN component. #GIPath #pathology #usmle #medstudent
Abdullah Al-Bouri MD (@ahbouri_md) 's Twitter Profile Photo

A great experience #ASCyto19 in Salt Lake City. Learned alot and enjoyed my time with great friends Andrew Plata @AliAl-habib. Waiting for #ASCyto20 in Orlando.

A great experience #ASCyto19 in Salt Lake City. Learned alot and enjoyed my time with great friends <a href="/AndrewPlata/">Andrew Plata</a> @AliAl-habib. Waiting for #ASCyto20 in Orlando.
WVU Pathology, Anatomy, and Laboratory Medicine (@wvupathology) 's Twitter Profile Photo

Great shot of past and present residents @Dr_Mahenaz_NAZA and Abdullah Al-Bouri MD attending future resident (🤞🏽) @arosescholl ‘s poster presentation. #USCAP2020 #pathology #medstudenttwitter

Great shot of past and present residents @Dr_Mahenaz_NAZA and <a href="/Ahbouri_MD/">Abdullah Al-Bouri MD</a> attending future resident (🤞🏽) @arosescholl ‘s poster presentation. #USCAP2020 #pathology #medstudenttwitter
WC Faquin, MD, PhD (@bfaquin) 's Twitter Profile Photo

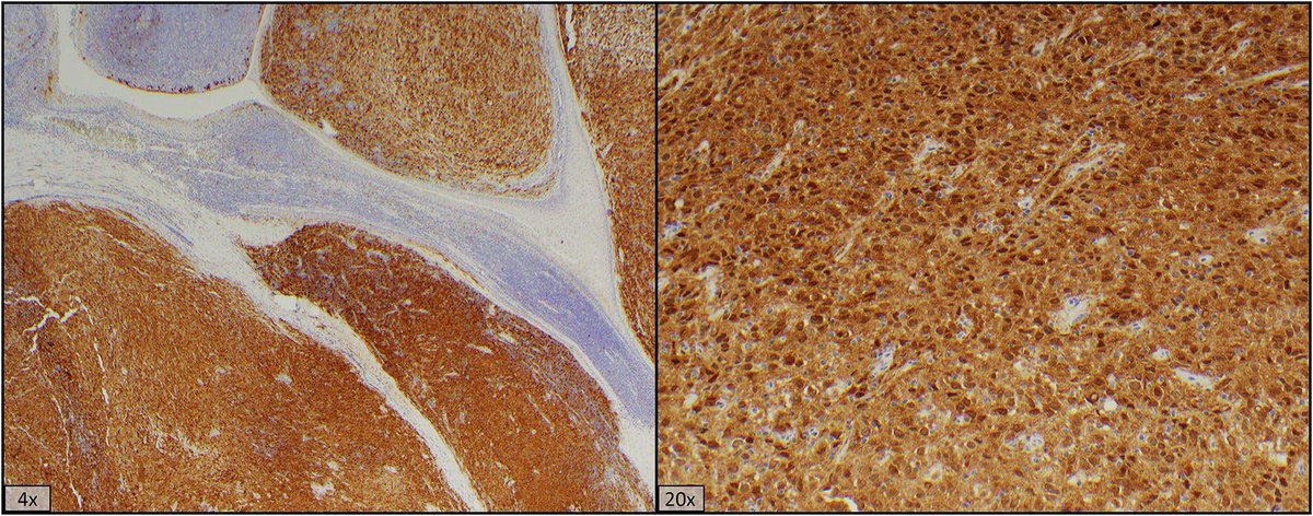
A cool p16+ Cancer of the tonsil... but its not SCC! Tonsillar p16-Positive Follicular Dendritic Cell Sarcoma Mimicking HPV-Related Oropharyngeal Squamous Cell Carcinoma

A cool p16+ Cancer of the tonsil... but its not SCC!

Tonsillar p16-Positive Follicular Dendritic Cell Sarcoma Mimicking HPV-Related Oropharyngeal Squamous Cell Carcinoma
WVU Pathology, Anatomy, and Laboratory Medicine (@wvupathology) 's Twitter Profile Photo

We here WVU Pathology, Anatomy, and Laboratory Medicine are proud and happy to welcome our incoming residents! And we’d also like to send a big congratulations to all who matched! #VirtualPathMatch #virtualmatchday #pathology #MedStudentTwitter

We here <a href="/WVUPathology/">WVU Pathology, Anatomy, and Laboratory Medicine</a> are proud and happy to welcome our incoming residents! And we’d also like to send a big congratulations to all who matched! #VirtualPathMatch #virtualmatchday #pathology #MedStudentTwitter
WVU Pathology, Anatomy, and Laboratory Medicine (@wvupathology) 's Twitter Profile Photo

🔵Dot Tumor. Acinic cell CA w solid/lobular & microcystic patterns w predominant serous acinar cells characterized by large, polygonal cells with abundant basophilic granular cytoplasm, hence the name. 2nd most common malig. salivary gland tumor. #PathTwitter #pathology #ENTpath

🔵Dot Tumor. Acinic cell CA w solid/lobular &amp; microcystic patterns w predominant serous acinar cells characterized by large, polygonal cells with abundant basophilic granular cytoplasm, hence the name. 2nd most common malig. salivary gland tumor.  #PathTwitter #pathology #ENTpath
WVU Pathology, Anatomy, and Laboratory Medicine (@wvupathology) 's Twitter Profile Photo

It’s #MatchDay2021 and at West Virginia University we are happy to announce the PGY-1 pathology members of the 2021-2025 class. Congratulations future mountaineers and welcome to almost heaven! ☁️☁️ WVU School of Medicine Huda Elzahrany MD Larry Olapeju MD ‘Larry’ Olapeju, MD Yodsui Hernandez MD

It’s #MatchDay2021 and at West Virginia University we are happy to announce the PGY-1 pathology members of the 2021-2025 class. Congratulations future mountaineers and welcome to almost heaven! ☁️☁️ <a href="/WVUMedSchool/">WVU School of Medicine</a>
Huda Elzahrany MD
Larry Olapeju MD <a href="/lapexxxxx/">‘Larry’ Olapeju, MD</a> 
Yodsui Hernandez MD