Ti Bai (@tibaiphd) 's Twitter Profile
Ti Bai

@tibaiphd

ID: 1147738380928790528

calendar_today07-07-2019 05:25:28

23 Tweet

37 Followers

194 Following

NVIDIA Healthcare (@nvidiahealth) 's Twitter Profile Photo

#MONAI is uniting doctors with data scientists to accelerate #AI in medicine. Hear from leaders and practitioners in medicine about how they are using MONAI to turn AI into clinical impact. nvda.ws/3SsJesa

NASA (@nasa) 's Twitter Profile Photo

🛰️ This is only a test – of planetary defense. Today, our #DARTMission is set to crash into a non-hazardous asteroid to test deflection technology, should we ever discover a threat. Impact: 7:14pm ET (23:14 UTC). Watch our LIVE broadcast at 6pm ET: youtu.be/4RA8Tfa6Sck

Ti Bai (@tibaiphd) 's Twitter Profile Photo

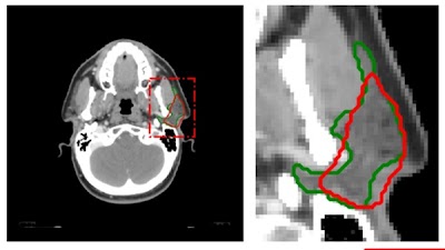
Like project MONAI very much! Made a few modifications to its latest Auto3DSeg app, which can automatically generate the training command. Welcome to fork/star github.com/baiti01/Auto3D…. ProjectMONAI

Yann LeCun (@ylecun) 's Twitter Profile Photo

@DrHughHarvey Gary Marcus I sympathize 😉 Clearly, current medical applications of DL are designed to *assist* in a process run by humans. Those systems can screen easy cases, which is what most medical tests do. They can also help diagnosis. But I would replace your *never* by *not anytime soon*!

Medical Artificial Intelligence and Automation Lab (@maia_laboratory) 's Twitter Profile Photo

Congrats to Hua-Chieh Shao, Sr. Research Associate under Dr. You Zhang, winner of the ASTRO Annual Meeting Travel Award in the Physics category for his abstract: "Deep Learning-Driven Real-Time Liver Tumor Localization via Optical Surface Imaging and Biomechanical Modeling."

Congrats to Hua-Chieh Shao, Sr. Research Associate under Dr. You Zhang, winner of the ASTRO Annual Meeting Travel Award in the Physics category for his abstract: "Deep Learning-Driven Real-Time Liver Tumor Localization via Optical Surface Imaging and Biomechanical Modeling."
Medical Artificial Intelligence and Automation Lab (@maia_laboratory) 's Twitter Profile Photo

On Monday morning, Mu-Han Lin will be at #SROA22 presenting the current AI implementation in #radonc, its pros and cons, and future in the general session, "What Will Artificial Intelligence Mean For My Radiation Oncology Department?" sroa.org/meetings/confe…

On Monday morning, <a href="/MHLinPhD/">Mu-Han Lin</a> will be at #SROA22 presenting the current AI implementation in #radonc, its pros and cons, and future in the general session, "What Will Artificial Intelligence Mean For My Radiation Oncology Department?"

sroa.org/meetings/confe…
James Zou (@james_y_zou) 's Twitter Profile Photo

Given a trained #ML model, can we estimate how well it works on new data w/o seeing any labels? Can we still do it even if both covariates and labels shift in data? Our #NeurIPS2022 paper shows how to est model perf on new data in this hard case! arxiv.org/pdf/2209.08436… 1/2

Given a trained #ML model, can we estimate how well it works on new data w/o seeing any labels? 

Can we still do it even if both covariates and labels shift in data?

Our #NeurIPS2022 paper shows how to est model perf on new data in this hard case! arxiv.org/pdf/2209.08436…  1/2
Radiology: Artificial Intelligence (@radiology_ai) 's Twitter Profile Photo

📅 Mark your calendar for the Nov #RadAIchat this Wed. Nov. 2nd at 8 PM ET on #AI for #AutoSegmentation in medical imaging, moderated by Mike Dohopolski MD and featuring Xueyan Mei Soleil Hernandez Steve Jiang #MachineLearning #DeepLearning #radiomics Charles Kahn, MD Hesham Elhalawani RSNA

📅 Mark your calendar for the Nov #RadAIchat this Wed. Nov. 2nd at 8 PM ET on #AI for #AutoSegmentation in medical imaging, moderated by <a href="/MDohopolski/">Mike Dohopolski MD</a> and featuring <a href="/XueyanMei/">Xueyan Mei</a> <a href="/SoleilHernandez/">Soleil Hernandez</a> <a href="/SteveJiangPhD/">Steve Jiang</a> #MachineLearning #DeepLearning #radiomics <a href="/cekahn/">Charles Kahn, MD</a> <a href="/HElhalawaniMD/">Hesham Elhalawani</a> <a href="/RSNA/">RSNA</a>
Andrew Gordon Wilson (@andrewgwils) 's Twitter Profile Photo

Please stop paper counting... a great paper is worth much more than a dozen okay papers. Tell us what the papers are about, not how many there are.

UTSW Radiation Oncology (@utsw_radonc) 's Twitter Profile Photo

Our amazing team of physicians, physicists and radiation therapists hit a HUGE milestone this week... Since we started using the Ethos in June 2021, we have delivered 6,000 total treatments - over 2,000 of which were CBCT-based online adaptive treatments!

Our amazing team of physicians, physicists and radiation therapists hit a HUGE milestone this week...

Since we started using the Ethos in June 2021, we have delivered 6,000 total treatments - over 2,000 of which were CBCT-based online adaptive treatments!
Bin Cai (@bincaimedphys) 's Twitter Profile Photo

We are looking for talented students to join our Ph.D. program. To introduce our program, we are hosting a one-hour informational session via Zoom on Tuesday, November 15, 8 - 9 p.m. CST. Hope to see you online! American Association of Physicists in Medicine UTSW Radiation Oncology American Physical Society UTSW Graduate School of Biomedical Sciences #medphys

We are looking for talented students to join our Ph.D. program. To introduce our program, we are hosting a one-hour informational session via Zoom on Tuesday, November 15, 8 - 9 p.m. CST. Hope to see you online! <a href="/aapmHQ/">American Association of Physicists in Medicine</a> <a href="/UTSW_RadOnc/">UTSW Radiation Oncology</a> <a href="/APSphysics/">American Physical Society</a> <a href="/UTSWGradSchool/">UTSW Graduate School of Biomedical Sciences</a> #medphys
Todd Scarbrough (@toddscarbrough) 's Twitter Profile Photo

#ChatGPT Write a radiation treatment #radonc plan for irradiating an early stage #breastcancer in the style of President Donald Trump.

#ChatGPT 

Write a radiation treatment #radonc plan for irradiating an early stage #breastcancer in the style of President Donald Trump.
Steve Jiang (@stevejiangphd) 's Twitter Profile Photo

Passionate about making a difference in Radiation Oncology and Medical Physics? Our dynamic team is expanding! We're recruiting for several faculty positions, both clinically- and research-oriented. Apply now and join us in pioneering new frontiers! #MedicalPhysics

Passionate about making a difference in Radiation Oncology and Medical Physics? Our dynamic team is expanding! We're recruiting for several faculty positions, both clinically- and research-oriented. Apply now and join us in pioneering new frontiers!  #MedicalPhysics