Subramanian Subramanian (@subramanianchp) 's Twitter Profile
Subramanian Subramanian

@subramanianchp

Pediatric Neuroradiologist and Pediatric Radiologist

ID: 1522963227671506944

calendar_today07-05-2022 15:35:31

229 Tweet

39 Followers

82 Following

Hugo Chrost (@chrost_hugo) 's Twitter Profile Photo

A schematic representation of the visual pathway: From eye to visual cortex. Source: Pratibha Ahirwal #neuroscience #MedTwitter

A schematic representation of the visual pathway: From eye to visual cortex.

Source: Pratibha Ahirwal

#neuroscience #MedTwitter
Dr Kish Mankad (@drmankad) 's Twitter Profile Photo

Tip of the day 💡: Heterogeneous, expanded, enhancing along the margins, much edema....yes, agree!...but worth checking AQP4 antibody status- might save the child a biopsy or debulking surgery! Brain and optic nerves were normal in this case. Final diagnosis: AQP4-neuromyelitis.

Tip of the day 💡: Heterogeneous, expanded, enhancing along the margins, much edema....yes, agree!...but worth checking AQP4 antibody status- might save the child a biopsy or debulking surgery! Brain and optic nerves were normal in this case. Final diagnosis: AQP4-neuromyelitis.
Dr Kish Mankad (@drmankad) 's Twitter Profile Photo

Tip of the day 💡: When the zone of acute ischemia does not respect vascular territories consider metabolic/mitochondrial strokes early. Note also the deep white matter lesions which are not acute.

Tip of the day 💡: When the zone of acute ischemia does not respect vascular territories consider metabolic/mitochondrial strokes early. Note also the deep white matter lesions which are not acute.
Pediatric Imaging (@pedsimaging) 's Twitter Profile Photo

Preschooler with seizures CT without contrast(above left) shows right parietal ill-defined subcortical hypodensity. #FOAMed #FOAMPed #FOAMRad #PedsRad #RadEd #RadRes #EmergencyMedicine #FOAMem #NeuroRad #PediNeuroRad #NeuroRadiology #Neurology #Neurosurgery

Preschooler with seizures

CT without contrast(above left) shows right parietal ill-defined subcortical hypodensity. 

#FOAMed #FOAMPed #FOAMRad #PedsRad #RadEd #RadRes #EmergencyMedicine #FOAMem #NeuroRad #PediNeuroRad #NeuroRadiology #Neurology #Neurosurgery
Dr Kish Mankad (@drmankad) 's Twitter Profile Photo

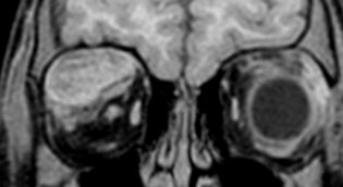
Tip of the day 💡: In children with sickle cell disease, a cardinal differential for this subacute proptosis is spontaneous hemorrhage. This is a very important point to remember! Think laterally this weekend folks.

Tip of the day 💡: In children with sickle cell disease, a cardinal differential for this subacute proptosis is spontaneous hemorrhage. This is a very important point to remember! Think laterally this weekend folks.
Sameer Raniga (@samrad77) 's Twitter Profile Photo

Academic radiologists: clinical work, research, scholarly activities- publications, conference presentations, QA activities and leadership roles..

Hugo Chrost (@chrost_hugo) 's Twitter Profile Photo

Fluorescent light micrograph of Purkinje cells in the cerebellum of the brain that play an important role in motor control, sensory perception, and learning. Credits: Thomas Deerinck, NCMIR #neuroscience #MedTwitter

Fluorescent light micrograph of Purkinje cells in the cerebellum of the brain that play an important role in motor control, sensory perception, and learning.

Credits: Thomas Deerinck, NCMIR

#neuroscience #MedTwitter
Dr Kish Mankad (@drmankad) 's Twitter Profile Photo

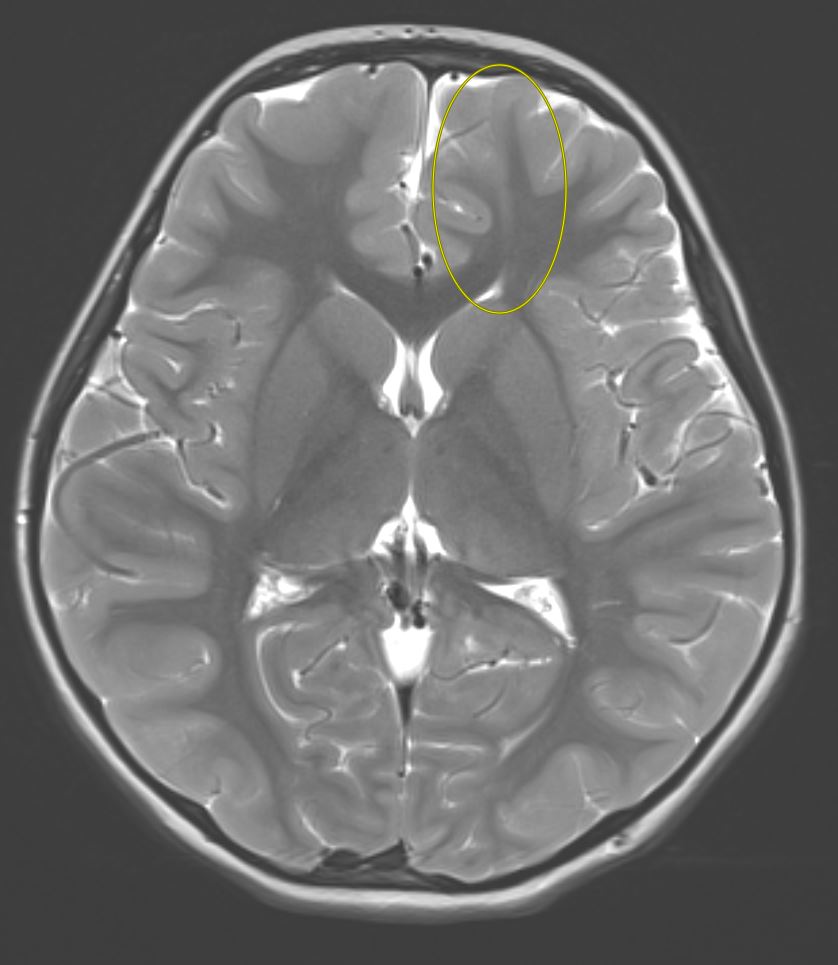
Tip of the day 💡: Spend time optimizing your axial T2 sequence- still the bread and butter sequence for us #radiologists! Here one should pick up the focal cortical dysplasia instantly with the characteristic tail sign. Case closed!

Tip of the day 💡: Spend time optimizing your axial T2 sequence- still the bread and butter sequence for us #radiologists! Here one should pick up the focal cortical dysplasia instantly with the characteristic tail sign. Case closed!
Lea Alhilali, MD (@teachplaygrub) 's Twitter Profile Photo

17/So now you know the functional anatomy of the cerebellum—the homunculus, the functional topology, and organization of the nuclei. So when it comes to the “little brain,” your knowledge will be anything but little!

17/So now you know the functional anatomy of the cerebellum—the homunculus, the functional topology, and organization of the nuclei.  

So when it comes to the “little brain,” your knowledge will be anything but little!
Dr Kish Mankad (@drmankad) 's Twitter Profile Photo

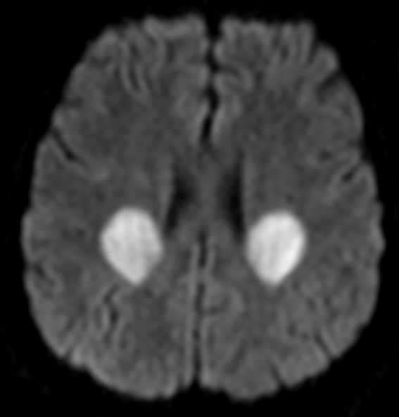
Tip of the day 💡: When typical phenomena become too overt, we should still remain confident and call spade a spade- like in this unfortunate child with methotrexate toxicity. Remain firm in your convictions this weekend.

Tip of the day 💡: When typical phenomena become too overt, we should still remain confident and call spade a spade- like in this unfortunate child with methotrexate toxicity. Remain firm in your convictions this weekend.
Dr Kish Mankad (@drmankad) 's Twitter Profile Photo

Tip of the day 💡: The pituitary and it’s stalk can enlarge and enhance like this during puberty. Physiology is a range of normality.

Tip of the day 💡: The pituitary and it’s stalk can enlarge and enhance like this during puberty. Physiology is a range of normality.
Dr Kish Mankad (@drmankad) 's Twitter Profile Photo

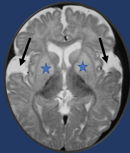
Tip of the day 💡: Not many causes of a large head a leukodystrophy! Once you pick up signal changes in the basal ganglia and the open opercula (arrows), you have clinched the diagnosis of Glutaric Aciduria Type 1. Do you know which other leukodystrophies accompany large heads?

Tip of the day 💡: Not many causes of a large head a leukodystrophy! Once you pick up signal changes in the basal ganglia and the open opercula (arrows), you have clinched the diagnosis of Glutaric Aciduria Type 1. Do you know which other leukodystrophies accompany large heads?