Stanley Weng (@stanleyweng_) 's Twitter Profile
Stanley Weng

@stanleyweng_

Urology Resident @sunydownstate
Former Urologic Oncology Research Fellow @sloan_kettering
Alumni @NorthwesternU @NorthwesternEng

ID: 1275845674232434688

calendar_today24-06-2020 17:38:17

4 Tweet

99 Followers

121 Following

UroToday.com (@urotoday) 's Twitter Profile Photo

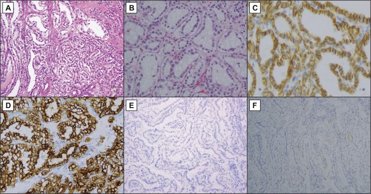
The clinicopathologic and molecular landscape of clear cell papillary #RenalCellCarcinoma: implications in diagnosis and management. #BeyondTheAbstract with Stanley Weng and ari hakimi @sloan_kettering. #ReadNow on UroToday > bit.ly/3rhikGL European Urology

The clinicopathologic and molecular landscape of clear cell papillary #RenalCellCarcinoma: implications in diagnosis and management. #BeyondTheAbstract with <a href="/StanleyWeng_/">Stanley Weng</a> and <a href="/arihakimi/">ari hakimi</a> @sloan_kettering. #ReadNow on UroToday &gt; bit.ly/3rhikGL <a href="/EUplatinum/">European Urology</a>
EAU Edu Platform UROONCO (@eau_uroonco) 's Twitter Profile Photo

🆕In this UROONCO RCC Article of the Month, the authors sought to characterise the clinicopathologic & molecular features of CCPRCC and compare them to more common #kidneycancer subtypes. 👇 kidney.uroonco.uroweb.org/publication/th… Stanley Weng Ed Reznik Andrew Winer Umberto Capitanio Renzo G. DiNatale