 
                                Selma Hasific
@selmahasific
👩🏼⚕️ Medical doctor and PhD student at the Department of Cardiology, Odense University Hospital, DK. | Interested in cardiac CT and coronary disease.🫀
ID: 1561996687710851072
23-08-2022 08:40:18
43 Tweet
92 Followers
155 Following
 
        #ESCCongress 2022 - PhD student Selma Hasific presented results from one of her substudies. From a randomized multicenter trial; 📍The effect of 💊 #vitamink2 suppl. on #CAD. Well done 💪🏻
 
                        
                    
                    
                    
                 
         
        The first results of my PhD project were presented at the ESC Congress 2022. We showed a significant benefit of vitamin K2 supplementation in patients with CAC score >399 AU! Now planning a new RCT of vit K2 supplementation💊Axel Diederichsen Research Unit of Cardiology, OUH Danish Cardiovascular Academy Kappa Bioscience AS
 
                        
                    
                    
                    
                 
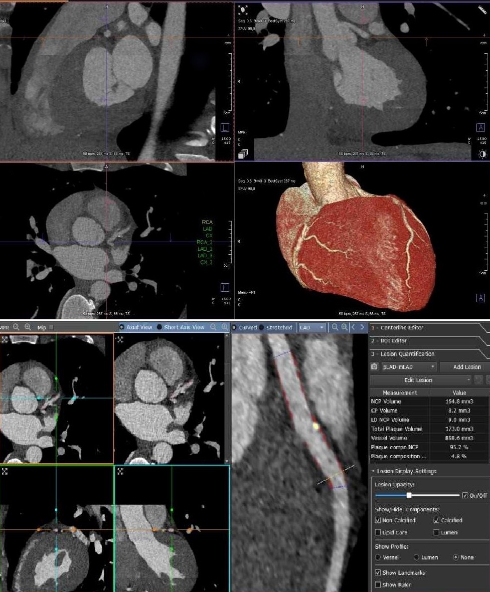
        Excited about the next 3 months at the Dey Research Lab (Cedars-Sinai Biomedical Imaging Research Institute) with director Damini Dey as my mentor. Will be continuing my work on investigating coronary disease with AutoPlaque. Now also using artificial intelligence.🫀🧠 Danish Cardiovascular Academy Research Unit of Cardiology, OUH
 
                        
                    
                    
                    
                 
        1 month since I left this amazing team in 🇺🇸 Truly grateful for my research stay at the Dey Lab Cedars-Sinai Biomedical Imaging Research Institute and for my continuous collaboration w. inspiring Damini Dey 🫶🏼 Team: Andrew Lin, Nipun Manral, Caroline Park ☀️
 
                        
                    
                    
                    
                 
        Teaching and preparing our team for AutoPlaque analyses of the numerous CTAs in our exciting national multicenter projects #INTENCT and #DANCODE leaded by Axel Diederichsen. 🫀 Thank you Damini Dey for making this possible! Danish Cardiovascular Academy Research Unit of Cardiology, OUH
 
                        
                    
                    
                    
                 
         
         
        Short article from Danish Cardiovascular Academy on my research stay at Cedars-Sinai Biomedical Imaging Research Institute. 🇩🇰🇺🇸 dcacademy.dk/display/artike…
 
         
         
        Attending the Foreningen af Yngre Cardiologer symposium on Advanced ECG Interpretation. Presenters are our great cardiac electrophysiologist Finn Lund Henriksen and PhD student Mulham Ali. 🫀
 
                        
                    
                    
                    
                 
        Opening lecture by #StephanWindecker at the Danish Congress of Cardiology - organized by Dansk Cardiologisk Selskab (DCS) 🫀
 
                        
                    
                    
                    
                 
        Presenting the #DANCODE trial at the Danish Cardiovascular Academy Summer Meeting 2023. Results on the cardiovascular effects of vitamin K2 and D3 in 2026! PI: Axel Diederichsen In collaboration with: Damini Dey
 
                        
                    
                    
                    
                 
        🔊 REGISTRATION OPEN: Join the one day symposium in Odense on Cardiac CT and AutoPlaque organized by DCAcademy grant recipient Selma Hasific. 👉 Learn more about the programme and sign up here: bitly.ws/KVQL
 
                        
                    
                    
                    
                 
        Among the first coronary CT angiography cases on our new Photon Counting CT. #Cardiotwitter European Society of Cardiology Heart_SCCT
 
                        
                    
                    
                    
                 
        Very thankful for a successful symposium on #cardiacCT and #Autoplaque 🫀 Thrilled about how far research has come in this field. Even more great research lies ahead! My special thanks go to Damini Dey and @kajetangrodecki 🙌🏼♥️ Danish Cardiovascular Academy Research Unit of Cardiology, OUH
 
                        
                    
                    
                    
                 
        Very proud of you, Mie Schæffer and Axel Diederichsen ! 👏🏻
 
        Check out our letter to the editor re: ACADEC “Vitamin K2 and D in Patients With Aortic Valve Calcification: A Randomized Double-Blinded Clinical Trial" The story of K2 metabolism and CV health is yet to be fully uncovered Nicholas Kassis Samir Kapadia Axel Diederichsen Selma Hasific
 
        Time to celebrate✨ Inclusion of the final participant in the multicent. RCT #DANCODE In 2 years, we’ll have the results of the cardiovascular effect of high-dose vitamin K2+D3 in pts with severe coronary calcifications🫀 lnkd.in/dgdPXZCA Selma Hasific Axel Diederichsen
 
                        
                    
                    
                    
                 
         
                        