Dr Sam Washer (@samwasher2) 's Twitter Profile
Dr Sam Washer

@samwasher2

Postdoctoral Research Fellow at the Wellcome Sanger Institute developing CRISPR Screens for Alzheimer’s Disease 🧬 Part time jazz-man/baker/gamer. Views my own.

ID: 1013951431

calendar_today15-12-2012 21:12:05

170 Tweet

210 Takipçi

388 Takip Edilen

Jonathan Mill (@psyepigenetics) 's Twitter Profile Photo

Position available at Exeter Med School to work with on alternative splicing and epigenetic modifications in models of Alzheimer's disease pathology. Exeter Neuroscience jobs.exeter.ac.uk/hrpr_webrecrui… Please RT!

Eilis Hannon (@eilis_hannon) 's Twitter Profile Photo

#DataScience #PhD opportunity for quantitative student looking to apply their skills to big biological datasets. Be part of the @GW4BioMedDTP Exeter Med School and Jonathan Mill exploring methods to computationally derive cell-type specific epigenetic profiles to understand

Dr Sam Washer (@samwasher2) 's Twitter Profile Photo

Excited to share that this work is now out in Scientific Reports 🥳Give it a read, download, share! nature.com/articles/s4159…

Dr Sam Washer (@samwasher2) 's Twitter Profile Photo

Congratulatuons Rebecca! And thanks so much to the panel, always a pleasure to talk about my work. Thanks to the PDA organisers for a great day of science 👨🏼‍🔬

Lionesses (@lionesses) 's Twitter Profile Photo

1 in 3 names are missing on the #Lionesses shirts tonight, representing the 1 in 3 of us born in the UK today who will develop dementia. Tonight’s match was dedicated to Alzheimer's Society, raising vital funds to those devastated by dementia. Donate now: alzheimers.org.uk 👈

1 in 3 names are missing on the #Lionesses shirts tonight, representing the 1 in 3 of us born in the UK today who will develop dementia.

Tonight’s match was dedicated to <a href="/alzheimerssoc/">Alzheimer's Society</a>, raising vital funds to those devastated by dementia.

Donate now: alzheimers.org.uk 👈
Dr Sam Washer (@samwasher2) 's Twitter Profile Photo

Some superb talks today around neuroinflammation in Alzheimer's Disease at #AAIC23 So don't miss out on the chance to come and chat all things iPSC microglia and CRISPR screening with me at poster 111 🧬🔬

Some superb talks today around neuroinflammation in Alzheimer's Disease at #AAIC23 So don't miss out on the chance to come and chat all things iPSC microglia and CRISPR screening with me at poster 111 🧬🔬
Gosia Trynka (@gosiatrynka) 's Twitter Profile Photo

Come hear Marta Pérez Alcántara presenting on how we're mapping sceQTLs in iPSC-derived microglia to interpret neurodegeneration GWAS variants. Starting soon: 11:45am Ballroom A. A collaboration with Open Targets #ASHG2023

Erica Bello (@ericabello4) 's Twitter Profile Photo

Excited to see this work from my Postdoc in Andrew Bassett's lab at Wellcome Sanger Institute finally out in the world! biorxiv.org/content/10.110… we found an AD-associated variant in PTK2B that actually has a causal effect on chromatin accessibility, gene expression and microglial function

Excited to see this work from my Postdoc in Andrew Bassett's lab at <a href="/sangerinstitute/">Wellcome Sanger Institute</a> finally out in the world! biorxiv.org/content/10.110…  we found an AD-associated variant in PTK2B that actually has a causal effect on chromatin accessibility, gene expression and microglial function
Professor Katie Lunnon (@katielunnon) 's Twitter Profile Photo

If you are at #ADPD2024 in Lisbon come see our posters of our studies of DNA methylation meta-analyses in Lewy body disease led by Josh Harvey and Jennifer Imm, and spatial transcriptomics in the J20 amyloid model led by Millie Sander

If you are at #ADPD2024 in Lisbon come see our posters of our studies of DNA methylation meta-analyses in Lewy body disease led by <a href="/Josiaharvey/">Josh Harvey</a> and <a href="/Jenny_Imm/">Jennifer Imm</a>, and spatial transcriptomics in the J20 amyloid model led by <a href="/millie_sander/">Millie Sander</a>
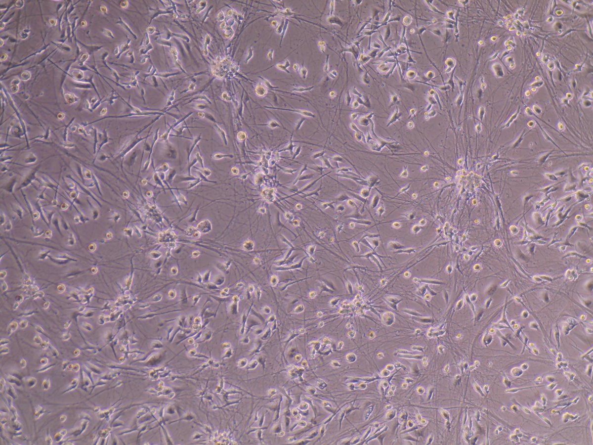
Dr Sam Washer (@samwasher2) 's Twitter Profile Photo

Wednesday cellfie: KOLF2.1S iPSC microglial + neuron co-cultures, so pretty😍What's not shown is the pain of optimizing these conditions... Hopefully these models can help us further understand the molecular basis of Alzheimer's disease🧠 #ForACure

Wednesday cellfie: KOLF2.1S iPSC microglial + neuron co-cultures, so pretty😍What's not shown is the pain of optimizing these conditions... Hopefully these models can help us further understand the molecular basis of Alzheimer's disease🧠 #ForACure