Saudi MRI Tech (@smrit_3) 's Twitter Profile
Saudi MRI Tech

@smrit_3

حساب (تعليمي – تفاعلي – إخباري) يهتم في مجال التصوير بالرنين المغناطيسي بشكل خاص وطرائق التصوير الطبي الأخرى بشكل عام

ID: 725118870160334850

calendar_today27-04-2016 00:26:25

1,1K Tweet

5,5K Followers

37 Following

Andreas Sofroniou (@andrsofroniou) 's Twitter Profile Photo

To quantitatively compare the diagnostic values of conventional diffusion-weighted imaging (DWI) and introvoxel incoherent motion (IVIM) analysis of microstructural differences for clear cell renal cell carcinoma (ccRCC). lnkd.in/eyHzyFrg

Andreas Charidimou MD, PhD (@a_charidimou) 's Twitter Profile Photo

🤿🧠MRI features of Inflammatory Cerebral Amyloid Angiopathy (version 1.0) 🔑 👇🏿 #neurotwitter #NeuroTwitter #NeuroRad #MedTwitter #MedStudentTwitter #MedEd #EndNeurophobia #Neurology #Neurosurgery #RadEd #stroke Gregoire Boulouis World Stroke Academy

🤿🧠MRI features of Inflammatory Cerebral Amyloid Angiopathy

(version 1.0)

🔑 👇🏿

#neurotwitter #NeuroTwitter #NeuroRad #MedTwitter #MedStudentTwitter #MedEd #EndNeurophobia  #Neurology #Neurosurgery #RadEd #stroke <a href="/gboulouis/">Gregoire Boulouis</a> <a href="/WorldStrokeEd/">World Stroke Academy</a>
Dr. OMID BANDARCHI (@obandarchi) 's Twitter Profile Photo

Sometimes epileptogenic lesions are visible on MR(red arrows).We should always keep in mind these lesions first👌 A) Hippocampal sclerosis B)focal cortical dysplasia C) other malformations of cortical development D) neoplasms E) vascular malformations F)cerebrovascular lesions

Sometimes epileptogenic lesions are visible on MR(red arrows).We should always keep in mind these lesions first👌
A) Hippocampal sclerosis B)focal cortical dysplasia C) other malformations of cortical development D) neoplasms E) vascular malformations F)cerebrovascular lesions
Dr Kish Mankad (@drmankad) 's Twitter Profile Photo

When should a radiologist start suspecting #normalpressure hydrocephalus? Operating outside my usual #pedineurorad comfort zone, but we do like the challenge! This is a 65 year old lady with incontinence. I can see the #glymphatics are not happily flowing here.

When should a radiologist start suspecting #normalpressure hydrocephalus? Operating outside my usual #pedineurorad comfort zone, but we do like the challenge! This is a 65 year old lady with incontinence. I can see the #glymphatics are not happily flowing here.
Ashwag Rafea S Alruwaili (@ashalruwaili) 's Twitter Profile Photo

نفتح باب تسجيل الرغبة في الانضمام لدورةالرنين المغناطيسي المكثفة #MRIcourseKSU لهذاالعام بحول الله عن طريق الرابط هنا forms.gle/XTFykZh3iLpkaY… يصل ايميل الترشيح مع البرنامج التفصيلي بعدالقبول المبدئي في خلال اسبوع من الان جهازنا #Siemens #Spectra 3T post-processing #syngoVia

نفتح باب تسجيل الرغبة في الانضمام لدورةالرنين المغناطيسي المكثفة 
#MRIcourseKSU
لهذاالعام بحول الله عن طريق الرابط هنا
forms.gle/XTFykZh3iLpkaY…
يصل ايميل الترشيح مع البرنامج التفصيلي بعدالقبول المبدئي في خلال اسبوع من الان
جهازنا
#Siemens #Spectra 3T 
post-processing  #syngoVia
Saudi MRI Tech (@smrit_3) 's Twitter Profile Photo

🔸- وظائف صحية و إدارية في المدينة الطبية بجامعة الملك سعود للجنسين. يوجد #وظائف في مجال الأشعة. medicalcity.ksu.edu.sa/ar/careers/P100 #اشعة

Andreas Charidimou MD, PhD (@a_charidimou) 's Twitter Profile Photo

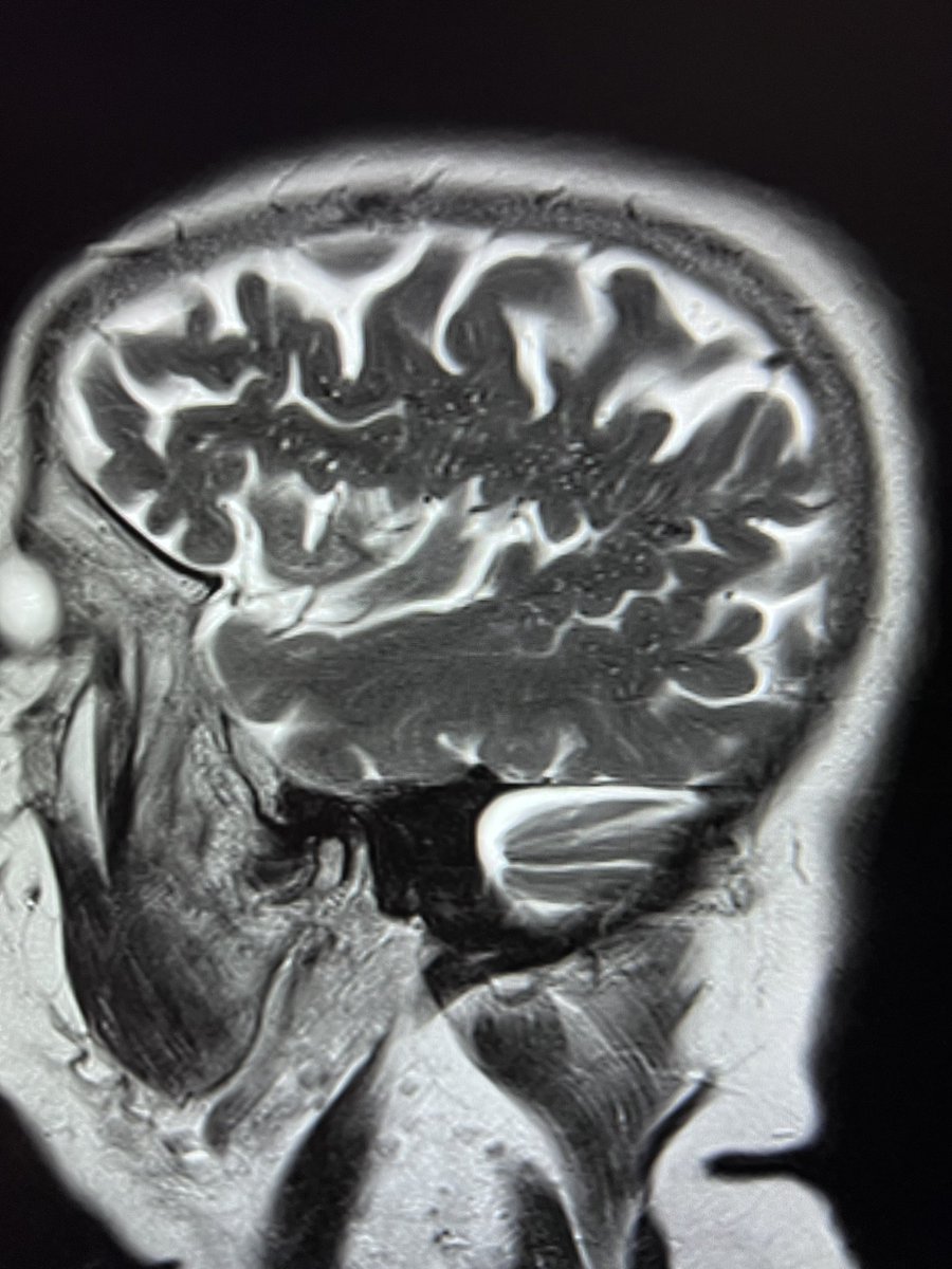
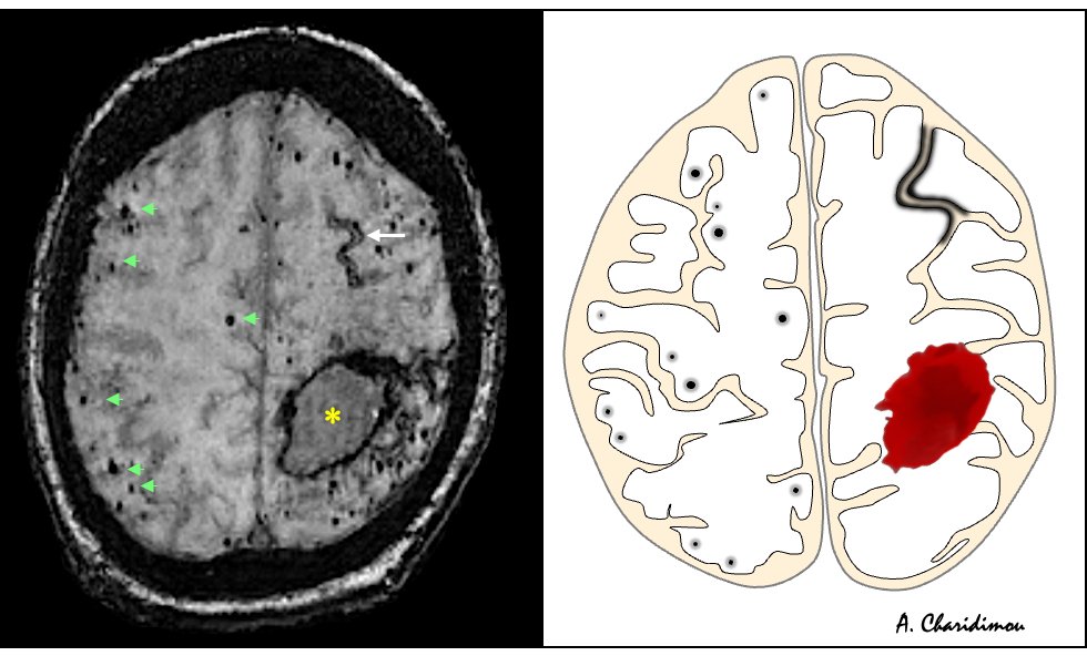
🩸🧠Hemorrhagic MRI manifestations of CAA (Cerebral Amyloid Angiopathy) 1) Lobar intracerebral hemorrhage 🩸 2) Lobar cerebral microbleeds ⚫️ 3) Cortical superficial siderosis 🎢 #neurotwitter #radres #NeuroTwitter #NeuroRad #Neurology #Neurosurgery #RadEd #stroke #Alzheimers

🩸🧠Hemorrhagic MRI manifestations of CAA
(Cerebral Amyloid Angiopathy)

1) Lobar intracerebral hemorrhage 🩸
2) Lobar cerebral microbleeds ⚫️
3) Cortical superficial siderosis 🎢 

#neurotwitter #radres #NeuroTwitter #NeuroRad #Neurology #Neurosurgery #RadEd #stroke #Alzheimers
Neurophilia (@bobvarkey) 's Twitter Profile Photo

No pain, no gain! Young man with severe headache, disorientation of 2 days duration. MRI outside-left temporal hematoma. O/e agitated, wernicke's aphasia, right hemiparesis

No pain, no gain! Young man with severe headache, disorientation of 2 days duration. MRI outside-left temporal hematoma. O/e agitated, wernicke's aphasia, right hemiparesis
radRounds Radiology Network (@radrounds) 's Twitter Profile Photo

Patient with #murmur and #sob - what is shown on this #cardiac #mri? #cardiotwitter #MedTwitter #radtwitter #meded #usmle #uworld #radres #internalmedicine

الإدارة العامة للأشعة والخدمات التطبيقية (@moh_radiology) 's Twitter Profile Photo

يتجدد اللقاء بكم ضمن مبادرات التدريب عن بعد بالإدارة العامة للأشعة والخدمات التطبيقية بديوان الوزارة بالتعاون مع تجمع الرياض الصحي الأول في برنامج تدريبي بعنوان : BASIC SKILLS OF RADIOLOGY TECHNICIANS IN PRIMARY CARE CENTERS للتسجيل : us06web.zoom.us/meeting/regist…

يتجدد اللقاء بكم ضمن مبادرات التدريب عن بعد بالإدارة العامة للأشعة والخدمات التطبيقية بديوان الوزارة بالتعاون مع تجمع الرياض الصحي الأول في برنامج تدريبي بعنوان :

BASIC SKILLS OF RADIOLOGY TECHNICIANS IN PRIMARY CARE CENTERS
للتسجيل :
us06web.zoom.us/meeting/regist…
Dhairya A. Lakhani, MD (@dhairyalakhani) 's Twitter Profile Photo

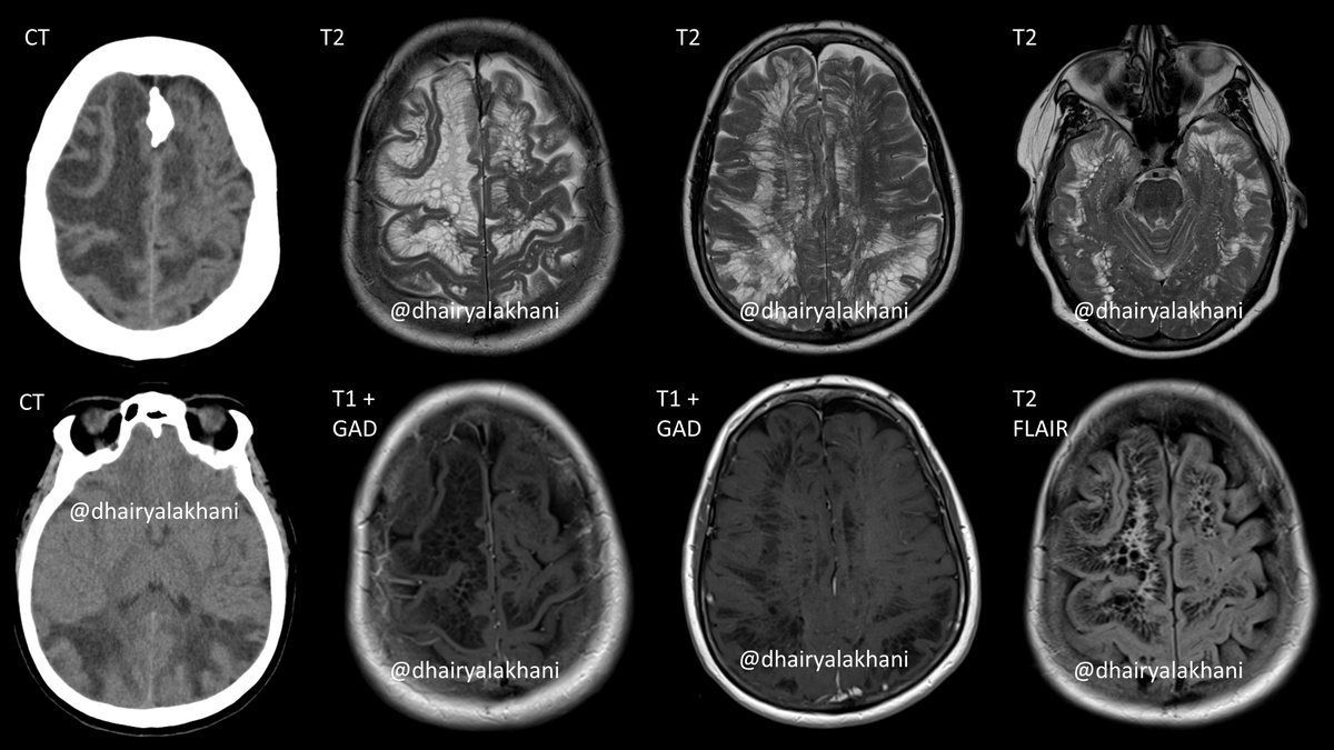
Middle-aged woman presents w trauma ✅CT: No bleed, diffuse WM changes ✅MR: Innumerable cystic foci extending to subcortical WM. Slight increased peri-lesional FLAIR signal. No enhancement. GM is stretched & displaced ✅Diagnosis: Giant Tumefactive Perivascular Spaces #RadRes

Middle-aged woman presents w trauma
✅CT: No bleed, diffuse WM changes
✅MR: Innumerable cystic foci extending to subcortical WM. Slight increased peri-lesional FLAIR signal. No enhancement. GM is stretched &amp; displaced
✅Diagnosis: Giant Tumefactive Perivascular Spaces
#RadRes
Radiology Club | نادي الأشعة (@rad_ksu) 's Twitter Profile Photo

جانب من مشاركة نادي الأشعة في فعالية #اليوم_العالمي_للأشعة ☢️❤️ pic.x.com/PZAES6wh9h

الإدارة العامة للأشعة والخدمات التطبيقية (@moh_radiology) 's Twitter Profile Photo

المحاكاة في الأشعة ومشاركة الإدارة العامة للأشعة والخدمات التطبيقية في المؤتمر السعودي للمحاكاه 2022م #shsc_2022 #مؤتمر_المحاكاه_٢٠٢٢

AreejAlshehri (@areejal61379410) 's Twitter Profile Photo

بالأمس طرحنا أول مجلة سعودية، تهتم بالعاملين بالأشعة نحو تحقيق كفاءة عالية في خدمة المرضى 🤩🤍 مجلة "سَرد"هي عبارة عن تجارب الإشعاعيين ممزوجة بالقيم والاحتياجات المهمة التي يجب التركيز عليها كعامل في الإشعة،سواء في مرحلة التدريب، مرحلة بداية المهنة، أو حتى مشرفين الأقسام ! ☢️🧤