Satyapal Chahar (@schaharmd) 's Twitter Profile
Satyapal Chahar

@schaharmd

Assistant Professor @UMMC_Pathology, prior fellow @Univmiami & @MSKpathology, AP/CP resident @UHCMCpathology 2020, Ambassador @TheUSCAP, Ambassador @ASCP

ID: 1313474704255188995

calendar_today06-10-2020 13:43:23

141 Tweet

265 Takipçi

294 Takip Edilen

Satyapal Chahar (@schaharmd) 's Twitter Profile Photo

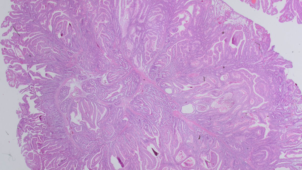
Hamartomatous Polyp, Peutz-Jeghers polyp, papillary architecture, arborizing/branching smooth muscle bundles, STK11 #GIpath #PathTwitter #pathology #Pathboards #GIPS #pathologists Florida Society of Pathologists CAPathologists ASCP #pathresidents

Hamartomatous Polyp, Peutz-Jeghers polyp, papillary architecture, arborizing/branching smooth muscle bundles, STK11 #GIpath #PathTwitter #pathology #Pathboards #GIPS #pathologists <a href="/FLPathologists/">Florida Society of Pathologists</a> <a href="/Pathologists/">CAPathologists</a> <a href="/ASCP_Chicago/">ASCP</a> #pathresidents
Satyapal Chahar (@schaharmd) 's Twitter Profile Photo

Erosive pill gastritis, polarizing pill fragments. #GIpath #PathTwitter #pathology #GIPS #pathologists #MedTwitter #endoscopy

Erosive pill gastritis, polarizing pill fragments. #GIpath #PathTwitter #pathology #GIPS #pathologists #MedTwitter #endoscopy
Christina Zioga (@chriszioga) 's Twitter Profile Photo

For those that were thinking about it: USCAP courses at 25% off their normal price from now through Monday, November 28. #USCAP #USCAPAmbassador

CAP Foundation (@capfndn) 's Twitter Profile Photo

UMMC Pathology Team in Jackson, MS hosted their annual #SeeTestTreat program over the weekend. Thank you for another successful year! The University of Mississippi Medical Center #CAPFoundation #BreastCancer #Pathology

UMMC Pathology Team in Jackson, MS hosted their annual #SeeTestTreat program over the weekend. Thank you for another successful year! <a href="/UMMCnews/">The University of Mississippi Medical Center</a> #CAPFoundation #BreastCancer #Pathology
Satyapal Chahar (@schaharmd) 's Twitter Profile Photo

Insulin Prevents Hypercholesterolemia by Suppressing 12α-Hydroxylated Bile Acids | Circulation ahajournals.org/doi/full/10.11…

Satyapal Chahar (@schaharmd) 's Twitter Profile Photo

Impact of COVID-19 Pandemic on Pathology Residents/Trainees in North America: A Survey-Based Study cureus.com/articles/16530…

UMMC Pathology (@ummc_pathology) 's Twitter Profile Photo

🔬Attention all Pathology applicants!!!!🔬 Come join us Monday, Oct. 2nd at 5pm CST for an informational session about our program followed by Q & A with our Faculty and Residents! Click the link in the bio or scan the QR code. We can't wait to see everyone! #PathologyMatch

🔬Attention all Pathology applicants!!!!🔬
Come join us Monday, Oct. 2nd at 5pm CST for an informational session about our program followed by Q &amp; A with our Faculty and Residents! Click the link in the bio or scan the QR code. We can't wait to see everyone!
#PathologyMatch