Aleksandr Romanow (@romanow_md) 's Twitter Profile
Aleksandr Romanow

@romanow_md

Non-US IMG, MD | Internationally trained anatomical pathologist
Interests: Dermpath, BSTpath, Clinical Microbiology and Experimental pathology

ID: 1153557781284347905

linkhttps://kikoxp.com/alexander_romanov1 calendar_today23-07-2019 06:49:41

1,1K Tweet

278 Followers

302 Following

Aleksandr Romanow (@romanow_md) 's Twitter Profile Photo

It's been a while since I last participated in an international conference. Honored to present a few of our intriguing cases at the #IDSP Int Soc Dermpath conference. Grateful for the opportunity to share and discuss with colleagues in the field! #dermpath #PathTwitter

It's been a while since I last participated in an international conference. Honored to present a few of our intriguing cases at the #IDSP   <a href="/IntSocDermpath/">Int Soc Dermpath</a>  conference. Grateful for the opportunity to share and discuss with colleagues in the field! 
#dermpath #PathTwitter
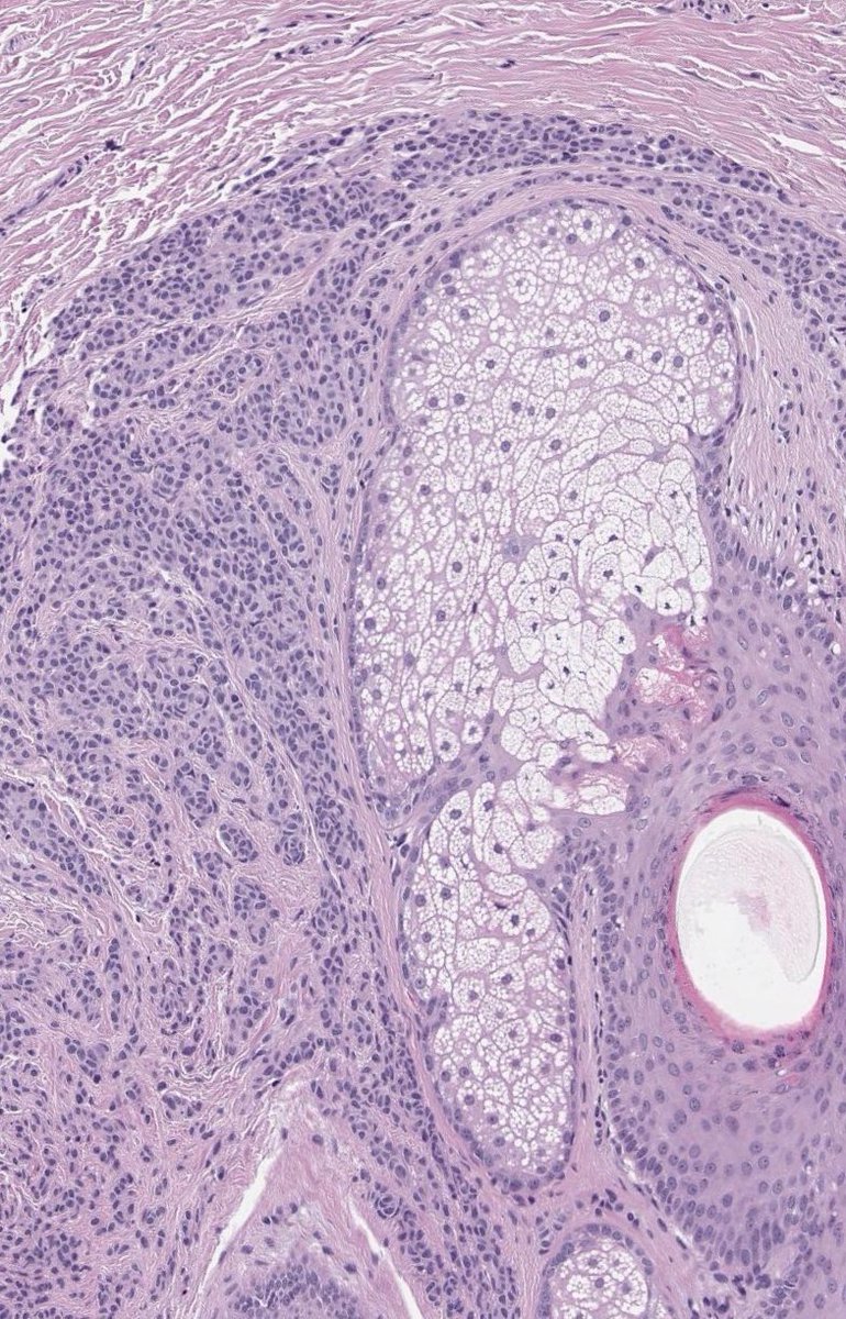
Aleksandr Romanow (@romanow_md) 's Twitter Profile Photo

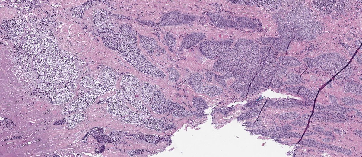
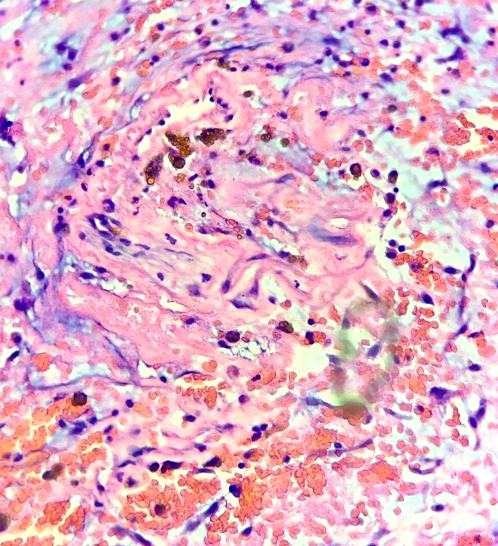
Highly revealing adnexal invasion of melanoma. Special thanks to my friend and colleague, Dr. Marina Muratova Marina Muratova , for the case. #dermpath #dermtwitter #PathTwitter

Highly revealing adnexal invasion of melanoma.

Special thanks to my friend and colleague, Dr. Marina Muratova <a href="/MuratovaMV/">Marina Muratova</a> , for the case. 

#dermpath #dermtwitter #PathTwitter
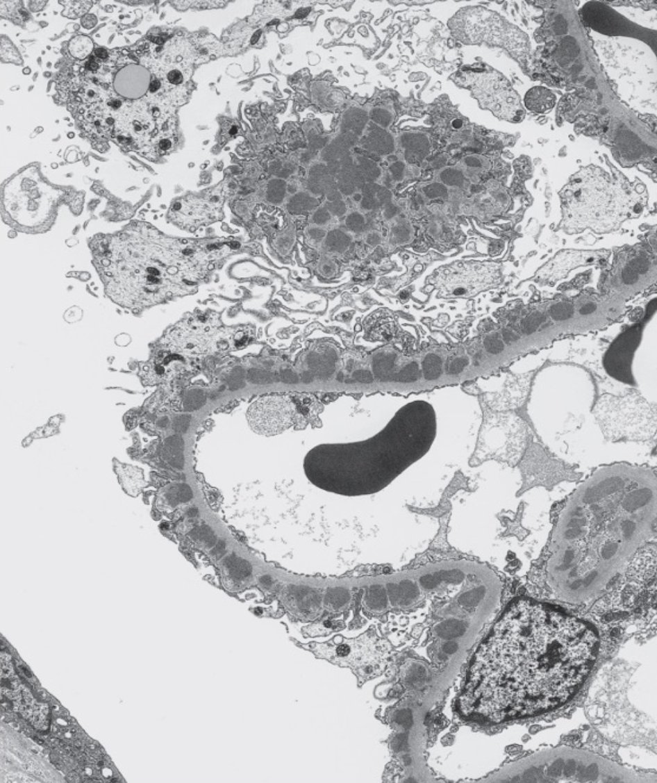
Emilia Garcia Chiple (@nephropath_gc) 's Twitter Profile Photo

🔬 La microscopía electrónica es clave en biopsia renal. En ~20% de los casos es imprescindible para un diagnóstico final.Aunque a veces se prescinde si LM o IF son concluyentes, esto puede llevar a diagnósticos erróneos o incompletos. No es un lujo, es diagnóstico.

🔬 La microscopía electrónica es clave en biopsia renal.
En ~20% de los casos es imprescindible para un diagnóstico final.Aunque a veces se prescinde si LM o IF son concluyentes, esto puede llevar a diagnósticos erróneos o incompletos.
No es un lujo, es diagnóstico.
Aleksandr Romanow (@romanow_md) 's Twitter Profile Photo

One step closer to US residency — the journey continues. Thanks to all the people supporting me. #Pathtwitter #pathmatch #USMLE

One step closer to US residency — the journey continues. 
Thanks to all the people supporting me.
#Pathtwitter #pathmatch #USMLE
Past Medical History (@pastmedhistory) 's Twitter Profile Photo

Beautiful cardiac anatomy diagrams by Leonardo da Vinci (1452-1519) #histmed #historyofmedicine #renaissance #anatomy #pastmedicalhistory

Beautiful cardiac anatomy diagrams by Leonardo da Vinci (1452-1519) #histmed #historyofmedicine #renaissance #anatomy #pastmedicalhistory
The Nobel Prize (@nobelprize) 's Twitter Profile Photo

Camillo Golgi received the 1906 medicine prize for discovering nerve cells could be stained with silver nitrate. This enabled Golgi and other researchers to make detailed studies of our nervous system, such as the ones pictured. Learn more: bit.ly/2WxPIs3

Camillo Golgi received the 1906 medicine prize for discovering nerve cells could be stained with silver nitrate. This enabled Golgi and other researchers to make detailed studies of our nervous system, such as the ones pictured. 

Learn more: bit.ly/2WxPIs3
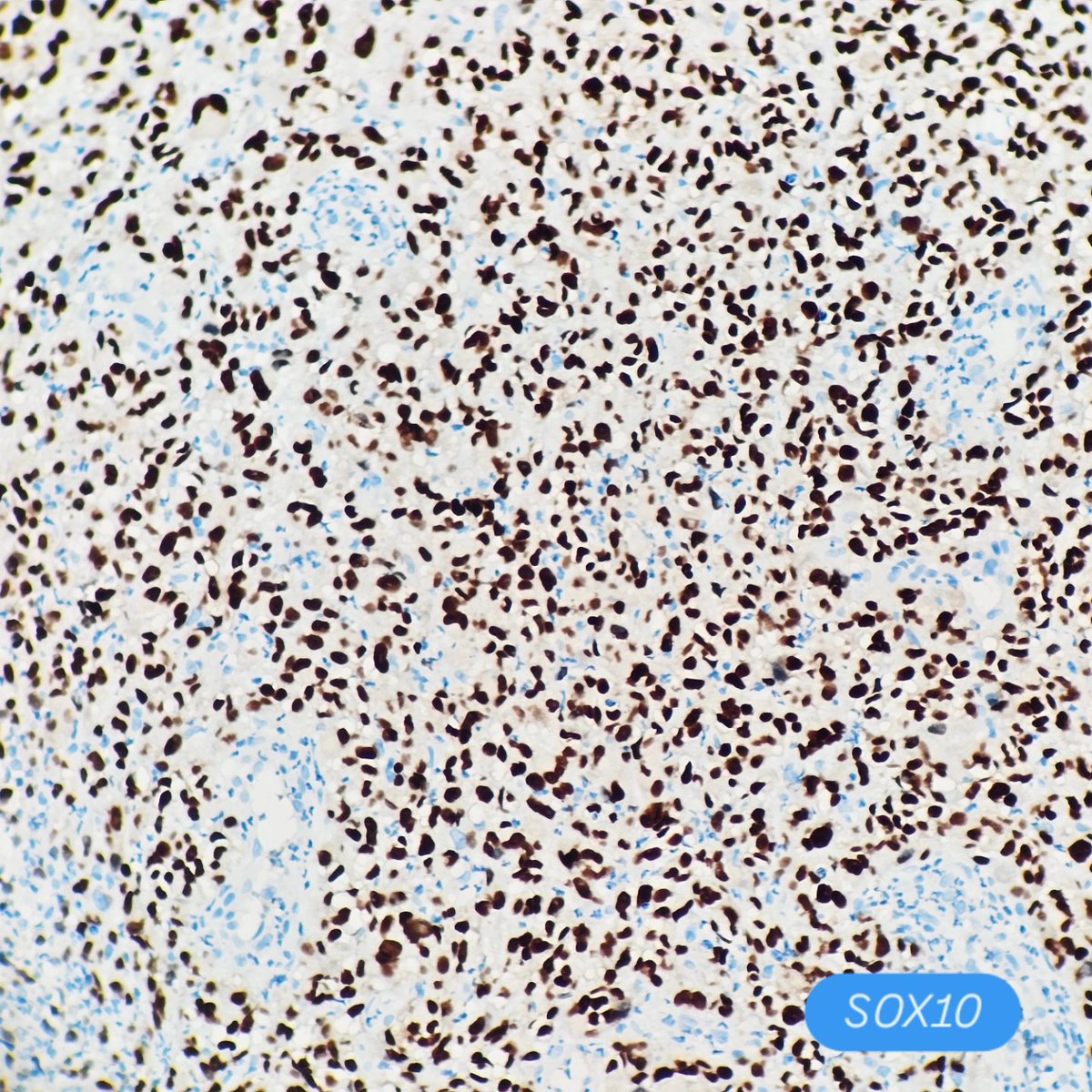
Sultan Çalışkan, MD (@drsultanclskn) 's Twitter Profile Photo

Pathologist = Detective. Always. Rectal biopsy… turned out to be a melanoma. Pigmentation in disguise — subtle but real. Diagnosis confirmed with SOX10, S100, and HMB-45. 📸 Details in the images. Trust the morphology. Follow the clues. #Pathology #Melanoma #GIpath #pathologist

Pathologist = Detective. Always.
Rectal biopsy… turned out to be a melanoma.
Pigmentation in disguise — subtle but real.
Diagnosis confirmed with SOX10, S100, and HMB-45.
📸 Details in the images.
Trust the morphology. Follow the clues.
#Pathology #Melanoma #GIpath #pathologist
Felipe Templo Jr. 🕊 (@thejourneymate) 's Twitter Profile Photo

Left Atrial Myxoma causing Acute Ischemic Stroke in an 8 year old girl. Atrial myxomas are uncommon in the pediatric population but are very important due to pursuant atrioventricular valve obstruction and systemic embolic events. #cardiacpath #CVpath 🔬♥️

Left Atrial Myxoma causing Acute Ischemic Stroke in an 8 year old girl.

Atrial myxomas are uncommon in the pediatric population but are very important due to pursuant atrioventricular valve obstruction and systemic embolic events. 
#cardiacpath #CVpath
🔬♥️
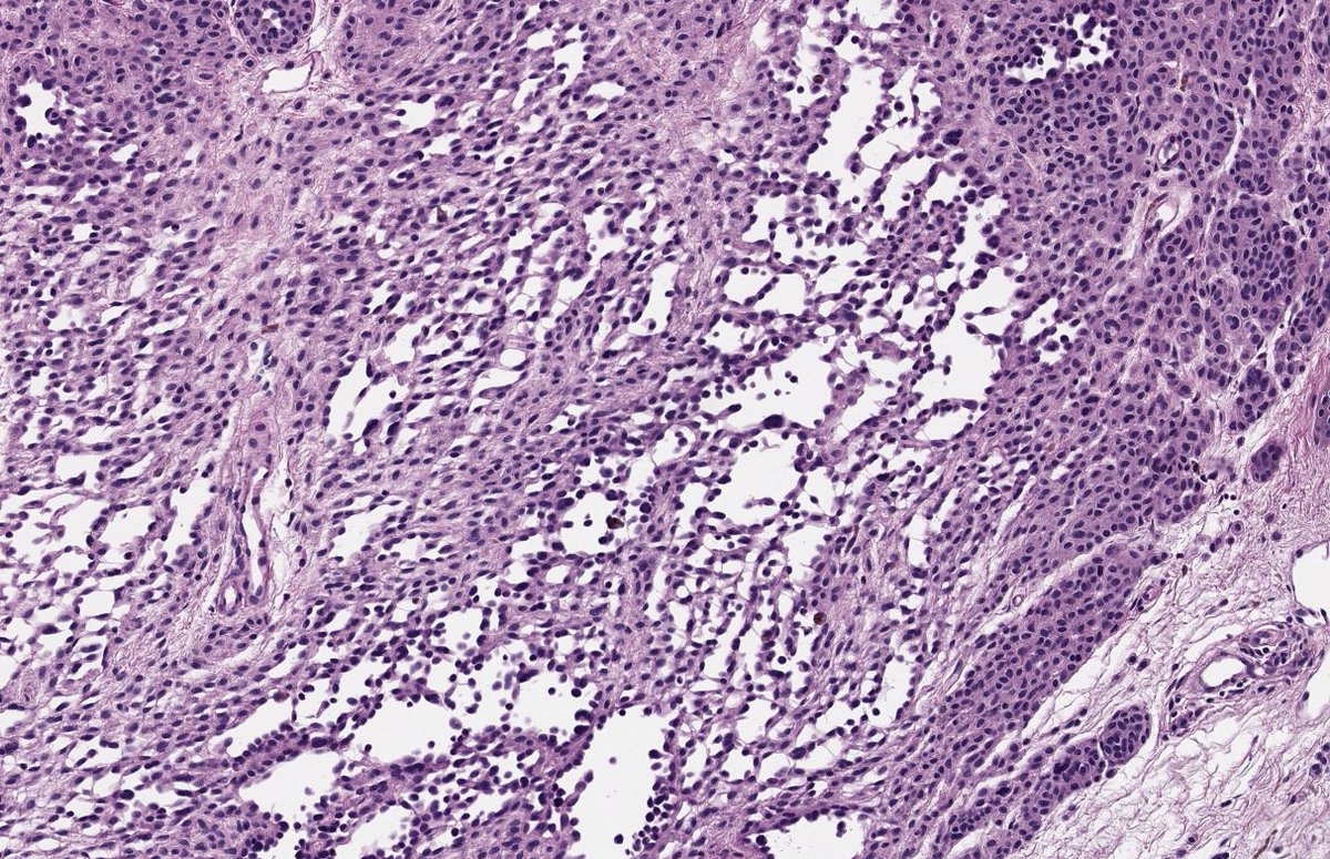
Aleksandr Romanow (@romanow_md) 's Twitter Profile Photo

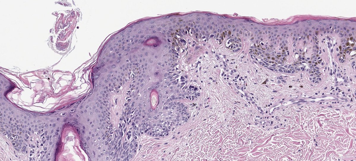
Nice reminder: Periadnexal invasion IS NOT exclusive to melanoma. Skin excision from a 26-year-old man. High-grade dysplastic nevus with adnexal invasion. Great mimic!! #dermpath #PathTwitter #dermtwitter

Nice reminder: Periadnexal invasion IS NOT exclusive to melanoma.
Skin excision from a 26-year-old man.
High-grade dysplastic nevus with  adnexal invasion. 

Great mimic!! 

#dermpath #PathTwitter #dermtwitter
Aleksandr Romanow (@romanow_md) 's Twitter Profile Photo

Had a great weekend at Texas Society of Pathologists Reconnected with old friends and made new ones. That was my 2nd YPS: - last time just a visitor, this time an active participant. Hopefully next time I’ll join as a resident. Thanks to all organizers & colleagues! #YPSRetreat2025 #pathmatch

Had a great weekend at <a href="/TexPathol/">Texas Society of Pathologists</a> 
Reconnected with old friends and made new ones.
That was my 2nd YPS:
- last time just a visitor, this time an active participant. 
Hopefully next time I’ll join as a resident.
Thanks to all organizers &amp; colleagues! 
#YPSRetreat2025 #pathmatch