
RadioGraphics
@radiographics
RadioGraphics, an official journal of RSNA, is devoted to the best of medical imaging education from the RSNA annual meeting.
Follow @RSNA to get more updates.
ID: 213810541
http://radiographics.rsna.org 09-11-2010 21:20:38
3,3K Tweet
40,40K Followers
216 Following

Adenomyosis is a benign condition characterized by ectopic endometrial glands and stroma within the myometrium. Learn about the typical and atypical imaging features, along with key differential considerations. [email protected] Brunna de Oliveira bit.ly/43kmLEI



45F presents with multiple skin lesions 🩹 What’s the diagnosis ❓🤔 Answer: 🔗 pubs.rsna.org/doi/10.1148/rg… Have a companion case? Share using #CookyBites #214. We will RT the best cases! #RGphx Cooky Menias RadioGraphics


🎥 Behind the Articles: Trainees in the Spotlight Mohamed Badawy shares his journey publishing his RadioGraphics paper on nonaccidental injury in the elderly. 📺 Full video: bit.ly/3Zlf9As 📄 Read paper: bit.ly/3SJ7SXn Cooky Menias RadioGraphics_Editor #RGTEAM

The ACL is not the only ligament that can be repaired in the knee. Check out this article about imaging of non-ACL injuries and repairs. Thurl Cledera Stacey Gosiaco MD Tatiane Cantarelli, MD Dyan V. Flores uOttawa Dept. Radiology, Rad Onc & Medical Physics bit.ly/3Fpf1cp



1/Feel perplexed by the lumbosacral plexus?? This plexus doesn’t have to be so complex-us Here’s what you need to know from this month’s @Radiographics! doi.org/10.1148/rg.240… Cooky Menias @RadG_editor


50M with low platelet count at wellness check 🩺 Physical examination found an enlarged spleen. Diagnosis 🕵️♂️❓ We’ll post the answer in 24h. Share companion cases with us using #CookyBites #215. We will RT the best cases! #RGphx Cooky Menias RadioGraphics



🚨 A new episode of the RadioGraphics podcast is now available!🚨 Dr. Katie Epstein breaks down the anatomy-based approach to diagnosing fetal hydrocephalus, with insights on imaging techniques, differential diagnoses, and prenatal management. bit.ly/44E8MbV

Answer: Littoral cell angiosarcoma Learn more: pubs.rsna.org/doi/full/10.11… pubs.rsna.org/doi/full/10.11… #CookyBites #215 #RGphx Cooky Menias RadioGraphics



Not all postpartum bleeding is pathologic. This #tweetorial breaks down how to differentiate SIPS, RPOC, EMV & vascular mimics. Based on RadioGraphics by Kirsch et al: bit.ly/3FBqGF5 RadioGraphics_Editor Cooky Menias Lea Alhilali, MD


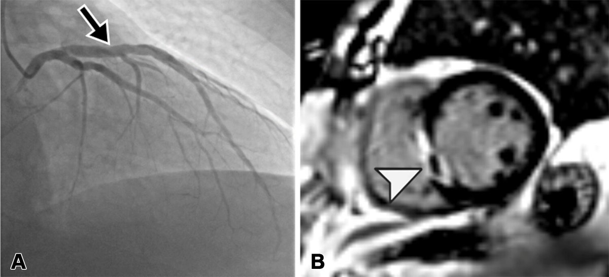
Acute chest pain with clean coronary arteries? Discover the imaging workflow. #RGphx César Urtasun Ana Ezponda Miguel Barrio Gorka Bastarrika Clínica Universidad de Navarra @Cmenias RadioGraphics RadioGraphics_Editor 1/14 🧵⬇️ pubs.rsna.org/doi/10.1148/rg…



62 M with “pain that shoots to back of head” when voiding What is the diagnosis ⁉️ We’ll post the answer in 24h. Share companion cases with us using #CookyBites #216. We will RT the best cases! #RGphx Cooky Menias RadioGraphics



Answer: Urinary Bladder Paraganglioma Learn more: pubs.rsna.org/doi/10.1148/rg… pubs.rsna.org/doi/10.1148/98… #CookyBites #216 #RGphx Cooky Menias RadioGraphics



Mujer de 37 años con insuficiencia cardíaca congestiva🫀 (⬆️ venas yugulares, 🦵 edema, 🫁 crepitaciones, disnea progresiva y fatiga). ¿Diagnóstico? Respuesta en 24 horas. Comparte casos similares con nosotros usando #CasosCooky #CookyBites #165 #RGphx Cooky Menias RadioGraphics
