RM y TC Rosario (@rmytc_rosario) 's Twitter Profile
RM y TC Rosario

@rmytc_rosario

Servicio de Resonancia Magnética y TAC del Hospital Nuestra Señora del Rosario. Tf. +34 91 431 37 44. [email protected] #radiologia

ID: 502158322

linkhttp://www.rmrosario.es calendar_today24-02-2012 21:36:34

394 Tweet

493 Takipçi

215 Takip Edilen

Hospital Universitario Ntra. Sra. del Rosario (@hnsrmadrid) 's Twitter Profile Photo

Amplia representación de los radiólogos del Hospital Universitario Ntra. Sra. del Rosario en el 36º Congreso de la SERAM - Sociedad Española de Radiología Médica y 31º del #CIR, que se celebra estos días en Málaga, encabezada por el Dr. Eliseo Vañó, director médico del Servicio de Radiodiagnóstico. hospitalrosario.es/noticias/ampli…

Hospital Universitario Ntra. Sra. del Rosario (@hnsrmadrid) 's Twitter Profile Photo

El Dr. Eliseo Vañó, director médico de RM y TC Rosario, estará hoy en #CardioMeeting2022, en #HospitalClínicoSanCarlos, y hablará de cómo la tecnología del TAC espectral, presente en Hospital Universitario Ntra. Sra. del Rosario, aporta información diagnóstica en enfermedades cardiovasculares y evita otras pruebas

El Dr. <a href="/eliseovano/">Eliseo Vañó</a>, director médico de <a href="/RMyTC_Rosario/">RM y TC Rosario</a>, estará hoy en #CardioMeeting2022, en #HospitalClínicoSanCarlos, y hablará de cómo la tecnología del TAC espectral, presente en <a href="/HNSRMadrid/">Hospital Universitario Ntra. Sra. del Rosario</a>, aporta información diagnóstica en enfermedades cardiovasculares y evita otras pruebas
nicolas almeida (@nicoalmeidaa) 's Twitter Profile Photo

Hey there! Let´s get some #YesSpectralCCT for this friday at RM y TC Rosario. This is the case of a 53yo patient who underwent a body CT for follow-up of colon cancer and unknown atrial fibrillation. The study was unremarkable, except for this finding. 1/8

Hey there! Let´s get some #YesSpectralCCT for this friday at <a href="/RMyTC_Rosario/">RM y TC Rosario</a>. This is the case of a 53yo patient who underwent a body CT for follow-up of colon cancer and unknown atrial fibrillation. The study was unremarkable, except for this finding. 
1/8
nicolas almeida (@nicoalmeidaa) 's Twitter Profile Photo

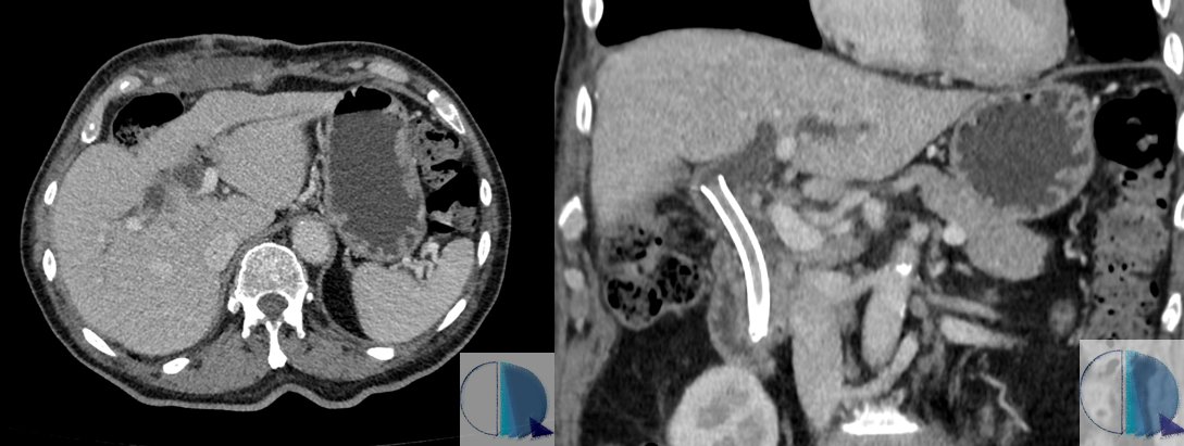
Hey there! Not everything is cardiac imaging at RM y TC Rosario. This is the case of an 80yo patient with a history of cholecystectomy and stent placement in the common bile duct due to chronic obstruction, who presented with right flank pain and elevated bilirrubin. 1/6

Hey there! Not everything is cardiac imaging at <a href="/RMyTC_Rosario/">RM y TC Rosario</a>. This is the case of an 80yo patient with a history of cholecystectomy and stent placement in the common bile duct due to chronic obstruction, who presented with right flank pain and elevated bilirrubin. 1/6
Eliseo Vañó (@eliseovano) 's Twitter Profile Photo

Nuevo CAD-RADS 2.0 2022. Cada vez mas importante la carga de placa, la perfusión miocárdica y el FFRct. TAC espectral ayuda a un diagnóstico más preciso #yessct journalofcardiovascularct.com/action/showPdf…

Nuevo CAD-RADS 2.0 2022. Cada vez mas importante la carga de placa, la perfusión miocárdica y el FFRct. TAC espectral ayuda a un diagnóstico más preciso #yessct journalofcardiovascularct.com/action/showPdf…
Hospital Universitario Ntra. Sra. del Rosario (@hnsrmadrid) 's Twitter Profile Photo

El Dr. Eliseo Vañó, director médico de RM y TC Rosario, interviene hoy en "Seguridad en RM: debate con los expertos", de SERAM - Sociedad Española de Radiología Médica y SEGECA. Hospital Universitario Ntra. Sra. del Rosario instaló hace 10 años la 1ª RM digital de 3T de España, siendo pioneros también en adquisición de RM cardiaca en este equipo

El Dr. <a href="/eliseovano/">Eliseo Vañó</a>, director médico de <a href="/RMyTC_Rosario/">RM y TC Rosario</a>, interviene hoy en "Seguridad en RM: debate con los expertos", de <a href="/SERAM_RX/">SERAM - Sociedad Española de Radiología Médica</a> y <a href="/SEGECA2021/">SEGECA</a>. <a href="/HNSRMadrid/">Hospital Universitario Ntra. Sra. del Rosario</a> instaló hace 10 años la 1ª RM digital de 3T de España, siendo pioneros también en adquisición de RM cardiaca en este equipo
nicolas almeida (@nicoalmeidaa) 's Twitter Profile Photo

Gopal Punjabi Companion case seen the other day at RM y TC Rosario. Posterior gastric ulcer in a proven gastric neoplasm, better seen in the low-KV images and in the iodine overlay than on the conventional images. Eliseo Vañó Antonio Castellaccio #FOAMed #SpectralCT

<a href="/CtSpectral/">Gopal Punjabi</a> Companion case seen the other day at <a href="/RMyTC_Rosario/">RM y TC Rosario</a>. Posterior gastric ulcer in a proven gastric neoplasm, better seen in the low-KV images and in the iodine overlay than on the conventional images. <a href="/eliseovano/">Eliseo Vañó</a> <a href="/CastellaccioDr/">Antonio Castellaccio</a> #FOAMed #SpectralCT
RM y TC Rosario (@rmytc_rosario) 's Twitter Profile Photo

DIFERENCIAS ENTRE T.A.C. Y RM A la izquierda una Resonancia Magnética y a la derecha un TAC Son máquinas muy parecidas pero que presentan varias diferencias. Os explicamos algunas de las principales de la mano del Dr. Vañó. Esperamos os resulte útil esta información

RM y TC Rosario (@rmytc_rosario) 's Twitter Profile Photo

No existe riesgo demostrados de los exámenes por RM en las mujeres embarazadas o los bebés que aún no han nacido. No debe rechazar hacerse un examen por RM necesario para el diagnóstico de una enfermedad o de su bebe potencialmente grave o urgente porque le tenga miedo al examen.

No existe riesgo demostrados de los exámenes por RM en las mujeres embarazadas o los bebés que aún no han nacido. No debe rechazar hacerse un examen por RM necesario para el diagnóstico de una enfermedad o de su bebe potencialmente grave o urgente porque le tenga miedo al examen.
RM y TC Rosario (@rmytc_rosario) 's Twitter Profile Photo

La RM mamaria es un examen que se hace para detectar cáncer de mama y otras anomalías de las mamas. También puede usarse con una mamografía como herramienta de detección prematura. Lleve sus revisiones de mama al día, adelantarse es la mejor forma de combate.

La RM mamaria es un examen que se hace para detectar cáncer de mama y otras anomalías de las mamas.
También puede usarse con una mamografía como herramienta de detección prematura.
Lleve sus revisiones de mama al día, adelantarse es la mejor forma de combate.
RM y TC Rosario (@rmytc_rosario) 's Twitter Profile Photo

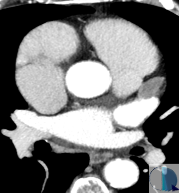
ANGIO TAC CARDÍACO PEDIÁTRICO🫀👶🏻 Realizado a paciente de menos de un año de edad. Se le administró contraste yodado para la realización de este estudio. Seguro, preciso y sencillo.

RM y TC Rosario (@rmytc_rosario) 's Twitter Profile Photo

Descubre el futuro de la Imagen Cardíaca con DeepVessel FFR: Un Nuevo Horizonte en Diagnóstico Cardiovascular! Más info: forms.gle/xeQ7f2P9BjM4hv…

Descubre el futuro de la Imagen Cardíaca con DeepVessel FFR: Un Nuevo Horizonte en Diagnóstico Cardiovascular!

Más info:
forms.gle/xeQ7f2P9BjM4hv…
SENR_org (@senr_org) 's Twitter Profile Photo

El próximo 25 de abril se celebrará el webinar: URGECIAS NO TRAUMÁTICAS CABEZA Y CUELLO (17 horas, horario Madrid) Este webinar es gratuito tanto para socios como para no socios. Aprende de forma práctica! INSCRIPCIÓN: us06web.zoom.us/webinar/regist… SERAM - Sociedad Española de Radiología Médica Residentes SERAM

RM y TC Rosario (@rmytc_rosario) 's Twitter Profile Photo

Reconstrucciones VR de imágenes obtenidas en nuestro TC espectral que muestran con exactitud las acumulaciones de cristales de acido úrico💧de este paciente en las articulaciones de sus pies.

Reconstrucciones VR de imágenes obtenidas en nuestro TC espectral que muestran con exactitud las acumulaciones de cristales de acido úrico💧de este paciente en las articulaciones de sus pies.
RM y TC Rosario (@rmytc_rosario) 's Twitter Profile Photo

Explora las urgencias NO traumáticas de CABEZA y CUELLO en el webinar gratuito de SENR, el próximo 25 de abril. Con el enfoque experto de la Dra. Beatriz Brea, radióloga especialista en neurología, parte de nuestro cuadro médico. 25-04-2024⬇️ INSCRIPCION: us06web.zoom.us/webinar/regist…

Hospital Universitario Ntra. Sra. del Rosario (@hnsrmadrid) 's Twitter Profile Photo

El Hospital Universitario Ntra. Sra. del Rosario ha confiado en la inteligencia artificial (IA) como aliada para la detección temprana del cáncer de próstata. OKSALUD ha entrevistado al Dr. Jerónimo Barrera Ortega, radiólogo especializado en radiología urológica del RM y TC Rosario.  okdiario.com/salud/dr-jeron…