Rafael E. Jimenez MD (@rejimenezmd) 's Twitter Profile
Rafael E. Jimenez MD

@rejimenezmd

Urologic and Breast Pathologist at Mayo Clinic - Tweets are my own opinions, not medical advice. Only pathology-related tweets here. Personal handle @REjimenez

ID: 895766680500154368

calendar_today10-08-2017 21:59:53

84 Tweet

634 Takipçi

112 Takip Edilen

Rafael E. Jimenez MD (@rejimenezmd) 's Twitter Profile Photo

Mayo Clinic is taking every precaution to manage safety to the highest standard. Our ability to care for patients with cancer has not changed, and we are ready to help. Make an appointment today: mayocl.in/7323 Mayo Clinic Comprehensive Cancer Center #CancerTreatment #CancerCare

Rafael E. Jimenez MD (@rejimenezmd) 's Twitter Profile Photo

Mayo Clinic is taking every precaution to manage safety to the highest standard. Our ability to care for patients with cancer has not changed, and we are ready to help. Make an appointment today: mayoclinic.org/appointments Mayo Clinic Comprehensive Cancer Center #CancerTreatment #CancerCare

Rafael E. Jimenez MD (@rejimenezmd) 's Twitter Profile Photo

My latest historical paper, on the life of an enigmatic physician who placed duty above everything else. The Tsar’s doctor: The selfless and devoted life of Dr Eugene Botkin - Rafael E Jimenez, 2020 journals.sagepub.com/doi/10.1177/09…

My latest historical paper, on the life of an enigmatic physician who placed duty above everything else.

The Tsar’s doctor: The selfless and devoted life of Dr Eugene Botkin - Rafael E Jimenez, 2020 journals.sagepub.com/doi/10.1177/09…
Oleksandr Kravtsov (@oleks_kravtsov) 's Twitter Profile Photo

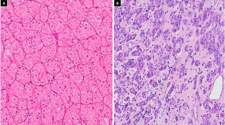
Our study on LOT with 9y+ follow up confirms the indolent nature of those tumors and provides more evidence to support that LOT is distinct from oncocytoma and chRCC. Thanks Rafael E. Jimenez MD @johncheville Sounak Gupta and all involved Mayo Clinic Pathology staff. #gupath

Human Pathology (@human_pathology) 's Twitter Profile Photo

.Oleksandr Kravtsov et al. show that LOT is an indolent eosinophilic renal neoplasm that constitutes ∼ 4% of tumors diagnosed as oncocytoma. The morph, phenotypic, & mol features of this neoplasm suggest it is a distinct entity of renal neoplasia sciencedirect.com/science/articl…

.<a href="/oleks_kravtsov/">Oleksandr Kravtsov</a> et al. show that LOT is an indolent eosinophilic renal neoplasm that constitutes ∼ 4% of tumors diagnosed as oncocytoma. 

The morph, phenotypic, &amp; mol features of this neoplasm suggest it is a distinct entity of renal neoplasia 

sciencedirect.com/science/articl…
Rafael E. Jimenez MD (@rejimenezmd) 's Twitter Profile Photo

Some spermatocytic tumors show 12p abnormalities. Morphologically they seem to show “anaplastic” features and possibly more aggressive behavior. sciencedirect.com/science/articl…

Rafael E. Jimenez MD (@rejimenezmd) 's Twitter Profile Photo

60+ musicians (with a day job as physicians) from all over the world get together to create music and help local charities. That this time is in Costa Rica is just the icing on the cake for me!

60+ musicians (with a day job as physicians) from all over the world get together to create music and help local charities.  That this time is in Costa Rica is just the icing on the cake for me!
Rafael E. Jimenez MD (@rejimenezmd) 's Twitter Profile Photo

Now accepting applications for genitourinary pathology fellowship at Mayo Clinic Minnesota for 2025-2026. Information at college.mayo.edu/academics/resi…

Rafael E. Jimenez MD (@rejimenezmd) 's Twitter Profile Photo

Breast cancer in the 19th century. A harrowing story that highlights the impact of medicine in the quality of life of our patients. journals.sagepub.com/doi/10.1177/09… #historyofpathology #breastcancer

Breast cancer in the 19th century.  A harrowing story that highlights the impact of medicine in the quality of life of our patients.  journals.sagepub.com/doi/10.1177/09…  
#historyofpathology #breastcancer
Labopat (@labopatd) 's Twitter Profile Photo

El Dr. Rafael E. Jiménez. MD. Patólogo especialista en patología mamaria y urupatología nos cuenta como ha modificado la biología molecular el diagnóstico y tratamiento en cáncer de riñon, próstata y vejiga. . . #patologia #salud #riñón #vejiga #prostata #cáncer #tratamiento

Gianrico Farrugia (@gfarrugiamd) 's Twitter Profile Photo

Today, I visited our tissue registry facility, a vast repository of archived tissue specimens for use in testing, education, & research. Utilizing AI, we’re digitizing millions of our pathology slides to enable greater collaboration across time & space to create better outcomes.

Today, I visited our tissue registry facility, a vast repository of archived tissue specimens for use in testing, education, &amp; research. Utilizing AI, we’re digitizing millions of our pathology slides to enable greater collaboration across time &amp; space to create better outcomes.
GU Pathology Society (GUPS) (@gu_path_society) 's Twitter Profile Photo

Excited for the 2nd GUPS Latin American Meeting 🤩 Part 1: Friday February 23, 2024: 1pm to 4pm (Eastern [NYC] time) Register in advance : us02web.zoom.us/webinar/regist… Part 2: Saturday February 24, 2024: 8am to 11am (Eastern [NYC] time) Register in advance: us02web.zoom.us/webinar/regist…

Excited for the 2nd GUPS Latin American Meeting 🤩

Part 1: Friday February 23, 2024: 
1pm to 4pm (Eastern [NYC] time)
Register in advance :
us02web.zoom.us/webinar/regist…

Part 2: Saturday February 24, 2024: 8am to 11am (Eastern [NYC] time)
Register in advance:
us02web.zoom.us/webinar/regist…