Pediatrics Challenges.
@pediatricsc_1
Pediatrics Challenging Questions...please call everyone interested to follow us.All real cases from our clinics.🩺.
ID: 1847661190589169664
19-10-2024 15:29:01
2,2K Tweet
2,2K Followers
470 Following
pediatrics tips: physicians salaries all over the world. Dr Ihab Suliman #MEDHTM Dr.Haitham Hamoud | د.هيثم @Jkbjb1 #TooCloseToDiagnose Dr. Muhammad Moor Daily Dose of Medicine Dr. ISHWAR N RATHORE MD د. باسم | طبيب أطفال الدكتور محمد المقبل د ماهر الهطلاني Abdulrahman Alshehri
if you know the diagnosis just mention the best antibiotic can cover the caustive pathogen? Dr Ihab Suliman #MEDHTM Dr.Haitham Hamoud | د.هيثم @Jkbjb1 #TooCloseToDiagnose Dr. Muhammad Moor Daily Dose of Medicine Dr. ISHWAR N RATHORE MD د. باسم | طبيب أطفال الدكتور محمد المقبل
First day of life, a girl delivered with such skin finding. guess the diagnosis? Dr Ihab Suliman #MEDHTM Dr.Haitham Hamoud | د.هيثم @Jkbjb1 #TooCloseToDiagnose Dr. Muhammad Moor Daily Dose of Medicine Dr. ISHWAR N RATHORE MD د. باسم | طبيب أطفال الدكتور محمد المقبل
what is the diagnosis?Dr Ihab Suliman #MEDHTM Dr.Haitham Hamoud | د.هيثم @Jkbjb1 #TooCloseToDiagnose Dr. Muhammad Moor Daily Dose of Medicine Dr. ISHWAR N RATHORE MD د. باسم | طبيب أطفال الدكتور محمد المقبل
collect such findings in one diagnosis.! Dr Ihab Suliman #MEDHTM Dr.Haitham Hamoud | د.هيثم @Jkbjb1 #TooCloseToDiagnose Dr. Muhammad Moor Daily Dose of Medicine Dr. ISHWAR N RATHORE MD د. باسم | طبيب أطفال الدكتور محمد المقبل
🇸🇮 Slovenian boy with this itchy lesions ' guess the diagnosis? Dr Ihab Suliman #MEDHTM Dr.Haitham Hamoud | د.هيثم @Jkbjb1 #TooCloseToDiagnose Dr. Muhammad Moor Daily Dose of Medicine Dr. ISHWAR N RATHORE MD د. باسم | طبيب أطفال الدكتور محمد المقبل
Pediatrics tips: every thing's for all subspecialeties about skin issues. Dr Ihab Suliman #MEDHTM Dr.Haitham Hamoud | د.هيثم @Jkbjb1 #TooCloseToDiagnose Dr. Muhammad Moor Daily Dose of Medicine Dr. ISHWAR N RATHORE MD د. باسم | طبيب أطفال الدكتور محمد المقبل
6 days fever,excessive crying,new heart murmer🫀with palbable axillary lymph node. guess the diagnosis? Dr Ihab Suliman #MEDHTM Dr.Haitham Hamoud | د.هيثم @Jkbjb1 #TooCloseToDiagnose Dr. Muhammad Moor Daily Dose of Medicine Dr. ISHWAR N RATHORE MD د. باسم | طبيب أطفال الدكتور محمد المقبل
just mention the treatment. Dr Ihab Suliman #MEDHTM Dr.Haitham Hamoud | د.هيثم @Jkbjb1 #TooCloseToDiagnose Dr. Muhammad Moor Daily Dose of Medicine Dr. ISHWAR N RATHORE MD د. باسم | طبيب أطفال الدكتور محمد المقبل
what is the diagnosis? Dr Ihab Suliman #MEDHTM Dr.Haitham Hamoud | د.هيثم @Jkbjb1 #TooCloseToDiagnose Dr. Muhammad Moor Daily Dose of Medicine Dr. ISHWAR N RATHORE MD د. باسم | طبيب أطفال الدكتور محمد المقبل
18 months old boy came for the vaccination what is the diagnosis? Dr Ihab Suliman #MEDHTM Dr.Haitham Hamoud | د.هيثم jkbjb #TooCloseToDiagnose Dr. Muhammad Moor Daily Dose of Medicine Dr. ISHWAR N RATHORE MD د. باسم | طبيب أطفال Ma.
kindly all share us your impression about such lesions ? Dr Ihab Suliman #MEDHTM Dr.Haitham Hamoud | د.هيثم @Jkbjb1 #TooCloseToDiagnose Dr. Muhammad Moor Daily Dose of Medicine Dr. ISHWAR N RATHORE MD د. باسم | طبيب أطفال @mohammadalmo
Only 2 months . what do you think this baby is having? Dr Ihab Suliman #MEDHTM Dr.Haitham Hamoud | د.هيثم @Jkbjb1 #TooCloseToDiagnose Dr. Muhammad Moor Daily Dose of Medicine Dr. ISHWAR N RATHORE MD د. باسم | طبيب أطفال @mohammadalmo
6 years old. sore throat. fever and unpleasant breath smell with such reddish spots . what is the diagnosis? Dr Ihab Suliman #MEDHTM Dr.Haitham Hamoud | د.هيثم @Jkbjb1 #TooCloseToDiagnose Dr. Muhammad Moor Daily Dose of Medicine Dr. ISHWAR N RATHORE MD د. باسم | طبيب أطفال @mohammadalmo
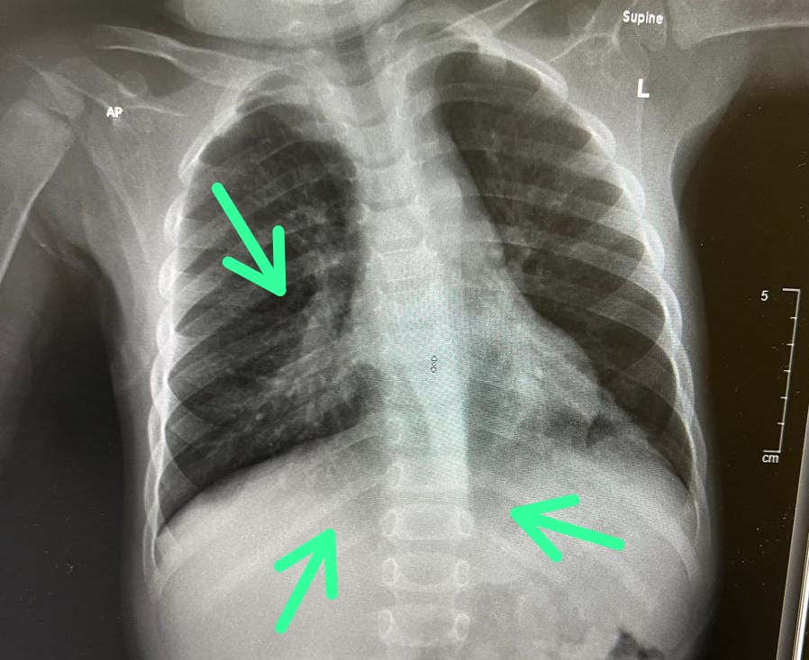
2 years old boy with failure to thrive,chronic cough and diarrhea and very unpleasant breath smell. spot the diagnosis? Dr Ihab Suliman #MEDHTM Dr.Haitham Hamoud | د.هيثم @Jkbjb1 #TooCloseToDiagnose Dr. Muhammad Moor Daily Dose of Medicine Dr. ISHWAR N RATHORE MD د. باسم | طبيب أطفال @mohammadalmo
Just tell the insect name that made this sting? 2 years old boy with failure to thrive,chronic cough and diarrhea and very unpleasant breath smell. spot the diagnosis? Dr Ihab Suliman #MEDHTM Dr.Haitham Hamoud | د.هيثم @Jkbjb1 #TooCloseToDiagnose Dr. Muhammad Moor Daily Dose of Medicine Dr. ISHWAR N RATHORE MD
What is this lesions ? Dr Ihab Suliman #MEDHTM Dr.Haitham Hamoud | د.هيثم @Jkbjb1 #TooCloseToDiagnose Dr. Muhammad Moor Daily Dose of Medicine Dr. ISHWAR N RATHORE MD