Naomi Todd (@naomitodddnteam) 's Twitter Profile
Naomi Todd

@naomitodddnteam

Naomi Todd, Partner at Royds Withy King Solicitors. Specialising in Clinical and Dental negligence and head of the Dental Negligence Team.

ID: 1372852469710077955

linkhttp://www.dentalnegligenceteam.co.uk calendar_today19-03-2021 10:08:41

868 Tweet

99 Followers

108 Following

Sophie Angwin-Thornes (@sophie_angwin) 's Twitter Profile Photo

@little__champions celebrates the courage of children with a brain injury. Please follow them to support hundreds of little warriors, or click the link in their bio to find out more ❤️ instagr.am/p/Cn7XmWVt1T3/

@little__champions celebrates the courage of children with a brain injury. Please follow them to support hundreds of little warriors, or click the link in their bio to find out more ❤️ instagr.am/p/Cn7XmWVt1T3/
DN Team (@dentalnegteam) 's Twitter Profile Photo

On 20th March 2023, it's World Oral Health Day! Please take a look at Divya Anand's blog promoting dental hygiene and what you can do if your dentist has failed to detect something untoward with your oral health #worldoralhealthday2023 #oralhealth dentalnegligenceteam.co.uk/blog/world-ora…

BDA (@thebda) 's Twitter Profile Photo

“NHS dentistry is running out of road” says @ShawnC_GDPC Our members have told us the exodus from the workforce is growing. Govt data shows millions are going without the care they need. It will take more than tweaks at the margins to save this service. mirror.co.uk/news/uk-news/d…

“NHS dentistry is running out of road” says @ShawnC_GDPC

Our members have told us the exodus from the workforce is growing.

Govt data shows millions are going without the care they need.

It will take more than tweaks at the margins to save this service.
mirror.co.uk/news/uk-news/d…
Samantha Swaby (@samrwkgoodman) 's Twitter Profile Photo

This technique promises brighter, whiter teeth, but here's why you shouldn't DIY this in-office treatment. huffingtonpost.co.uk/entry/the-tikt… via HuffPost UK Life

DN Team (@dentalnegteam) 's Twitter Profile Photo

Please take a look at @sophiagraceisab's latest blog on the dangers of DIY teeth straightening, the risks patients should consider first and what you should expect when you visit an orthodontist #diydentistry #dental #orthodontic #clearbraces dentalnegligenceteam.co.uk/blog/a-blog-di…

DN Team (@dentalnegteam) 's Twitter Profile Photo

Please take a look at Franceska Krence 's latest blog on how access and affordability affects our dental health #accessandaffordability #dentalcrisis #accesstodentistry dentalnegligenceteam.co.uk/blog/how-acces…

Serina Sandhu (@serinasandhu1) 's Twitter Profile Photo

The NHS dental crisis laid bare: “[Children] may end up going backwards in losing teeth and having to wear dentures that their grandparents had to wear decades ago." BDA Eddie Crouch Teeth Team BSPD Jenny Harris The i Paper inews.co.uk/news/nhs-denta…

BDA (@thebda) 's Twitter Profile Photo

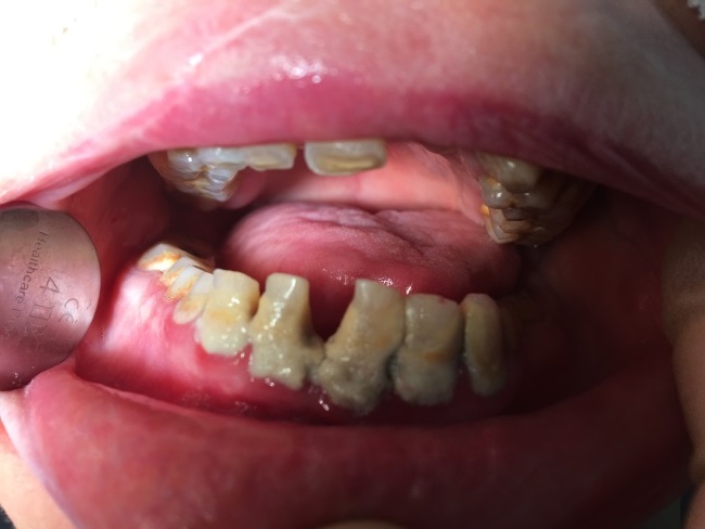
A picture paints a 1000 words. This is why we've needed a revolution in dentistry in care homes. Now hard-won progress risks being lost by an unparalleled access crisis. These are our most vulnerable patients. Ministers have a moral duty to act. 👉 bda.org/news-centre/la…

A picture paints a 1000 words.

This is why we've needed a revolution in dentistry in care homes. 

Now hard-won progress risks being lost by an unparalleled access crisis.

These are our most vulnerable patients.

Ministers have a moral duty to act.

👉  bda.org/news-centre/la…
Oral Health Foundation (@dentalhealthorg) 's Twitter Profile Photo

Dental access remains difficult for millions of people in remote and rural areas, low socio-economic groups, and patients with physical and mental disabilities. Read the full report we made with Unilever here dentalhealth.org/Handlers/Downl…

Dental access remains difficult for millions of people in remote and rural areas, low socio-economic groups, and patients with physical and mental disabilities. 

Read the full report we made with <a href="/Unilever/">Unilever</a> here
dentalhealth.org/Handlers/Downl…
DN Team (@dentalnegteam) 's Twitter Profile Photo

Please take a look at Sophia Bradfield's recent blog surrounding the dangers of DIY dentistry #diydentistry #dental #dentalnegligence dentalnegligenceteam.co.uk/blog/the-harsh…

DN Team (@dentalnegteam) 's Twitter Profile Photo

Another 5⭐️review from @sophiagraceisab's client within our dental negligence team. Always good to hear some positive feedback about our service and well deserved Sophia, great work!

Another 5⭐️review from @sophiagraceisab's client within our dental negligence team. Always good to hear some positive feedback about our service and well deserved Sophia, great work!
Samantha Swaby (@samrwkgoodman) 's Twitter Profile Photo

Teesside woman left eating baby food due to tooth decay after struggling to get NHS dental care | ITV News Tyne Tees itv.com/news/tyne-tees…