
Rameen S. Moridzadeh, MD
@moridzadehmd
Vascular & Endovascular Surgeon
@CedarsSinai
Vascular Surgery Associates Medical Group @VascSurgLA
ID: 1251266237109170176
https://www.vascularsurg.com/rameen-moridzadeh/ 17-04-2020 21:48:18
56 Tweet
324 Followers
412 Following

Patient with chronic mesenteric ischemia with unsuccessful endovascular attempt treated with aorta to SMA bypass (Dacron). Replaced common hepatic from SMA! Vascular Surgery Associates Cedars-Sinai Division of Vascular Surgery Department of Surgery at Cedars-Sinai #vascularsurgery #SoMe4Surgery #MedEd


Got some time on your hands? Want to learn something new? Scroll through 100++ podcasts right here and learn something new! & follow BackTable Vascular and Interventional Keith Pereira MD, #VIrad Agnieszka Solberg MD Kumar Madassery Mark Lessne, MD Mike Watts 👊🏾👍🏾BT Fisher Sr., MD Lorenzo Patrone Srini Tummala MD FSIR FSVM backtable.com/app-podcast-di…


Great break from the SVS Moore Course: symptomatic TBAD with high-risk features = TEVAR + right RA stent and excellent result! Rameen S. Moridzadeh, MD Cedars-Sinai Division of Vascular Surgery Vascular Surgery Associates Department of Surgery at Cedars-Sinai Cedars-Sinai #AorticDissection #vascularsurgery


Senior #VascSurg fellow DanielMilesMD presenting decreasing EVAR length of stay strategies at Western Vascular Society for Vascular Surgery Vascular Surgery Associates Cedars-Sinai Cassra N. Arbabi MD Ali Azizzadeh Rameen S. Moridzadeh, MD #medtwitter #AcademicTwitter #MedEd #VascTwitter


Subacute TBAD with large FL repaired with #TEVAR and dissection stent - time to remodel! #VascSurg #VascularTwitter #MedEd #SoMe4Surgery Rameen S. Moridzadeh, MD Vascular Surgery Associates Cedars-Sinai Division of Vascular Surgery


Young man with chronic TBAD with new pain & high risk features - treated with L carotid-subclavian bypass and Zone II TEVAR and LSA Amplatzer 🤙🏼 Rameen S. Moridzadeh, MD Vascular Surgery Associates Cedars-Sinai Division of Vascular Surgery #VascSurg #VascularTwitter #SoMe4Surgery #MedEd #aortaed


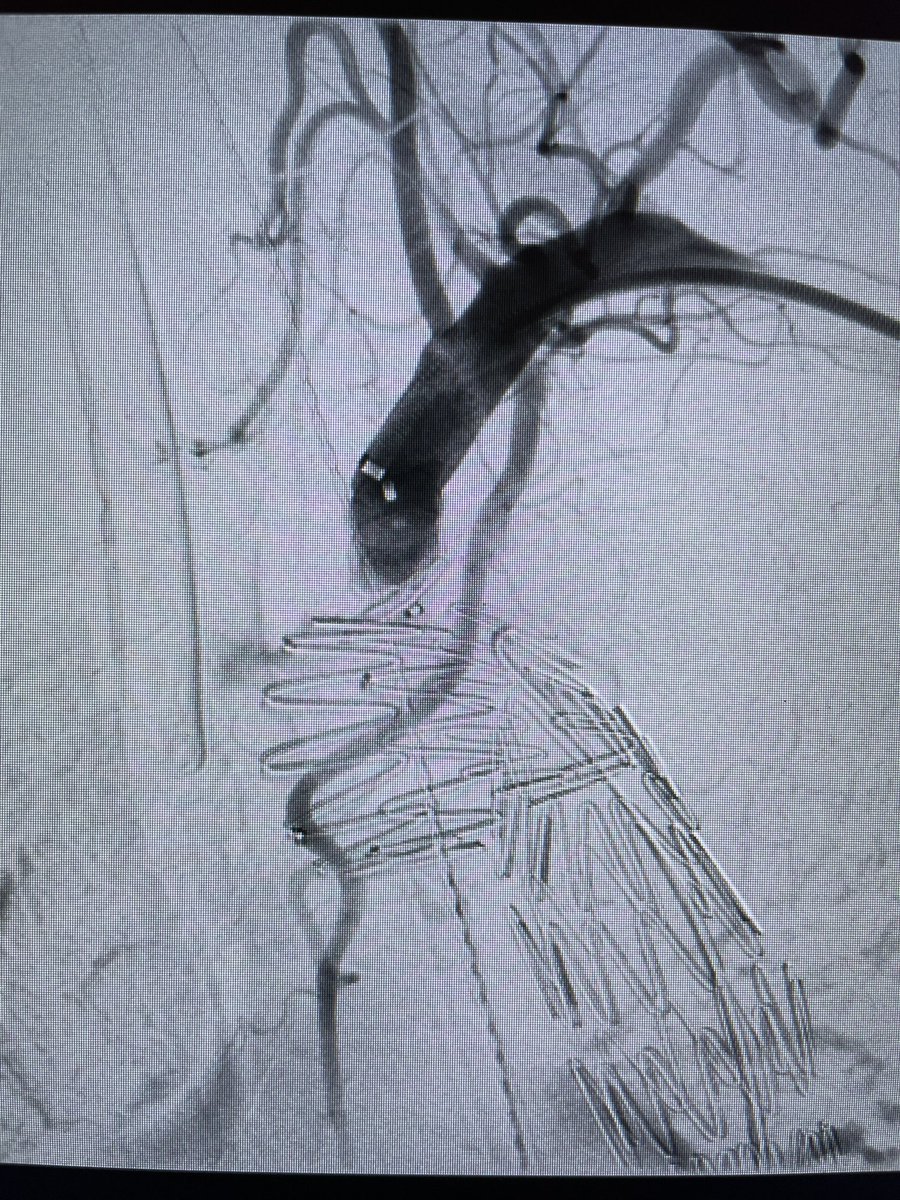
Impending rupture sp fenestrated repair (pain, rapid sac growth) from 1b and psb 1c endoleak. Tx with CA/SMA branch extension/angioplasty and iliac branch device (2/2 size). Cedars-Sinai Division of Vascular Surgery Vascular Surgery Associates Rameen S. Moridzadeh, MD Department of Surgery at Cedars-Sinai #aortaed #VascSurg #vasculartwitter


11cm symptomatic extent IV #TAAA? Urgent (planned morning of) & First-ever 4 vessel PMEG at Cedars-Sinai with an excellent result and recovering well! Rameen S. Moridzadeh, MD Vascular Surgery Associates Cedars-Sinai Division of Vascular Surgery Department of Surgery at Cedars-Sinai #VascSurg #VascularTwitter #Aorta #AortaEd #MedEd


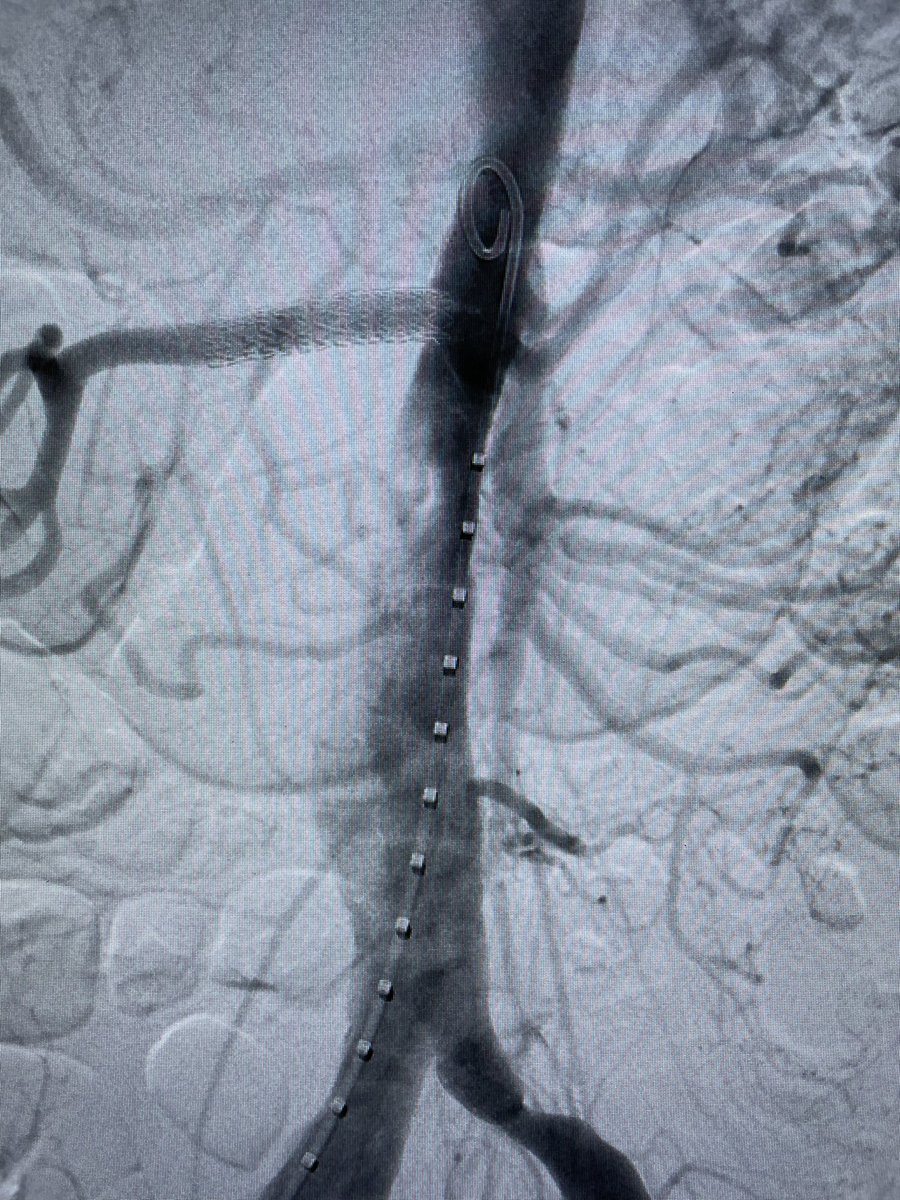
That feeling when your in-situ laser fenestration is perfectly aligned with the renal artery 🤝 Vascular Surgery Associates Cedars-Sinai Division of Vascular Surgery Department of Surgery at Cedars-Sinai DanielMilesMD Sally Schonefeld #VascSurg #PMEG #VascularTwitter #Aorta #AortaEd #MedEd


~80M arriving overnight w aberrant R subclavian and #rupture of Kommerell’s diverticulum - tx with some compressions and #TEVAR, laser #fenstration LSA and embolized aberrant R. #VascSurg #VascularTwitter #Aorta #AortaEd Vascular Surgery Associates Rameen S. Moridzadeh, MD Cedars-Sinai Division of Vascular Surgery Department of Surgery at Cedars-Sinai



Elderly #CLI pt, unsuccessful antegrade and retrograde approaches. Too diseased for re-entry device to cross. CART technique useful to create fenestration between two planes, allowing re-entry. Palpable DP! Sally Schonefeld FutureVascSurgeons Cedars-Sinai Division of Vascular Surgery

Young girl #MVA transferred urgently from outside outside hospital with blunt aortic injury. Philips #IVUS invaluable for sizing. Pts often hypotensive at time of CT- aorta appears smaller 👉🏼 under sizing graft. DanielMilesMD Sally Schonefeld Chris Shanley Cedars-Sinai Division of Vascular Surgery

Inaugural SoCal Launch PAD Meeting is in the books…thanks to all the trainees, awesome faculty, and amazing industry partners for helping make this happen. Cedars-Sinai Division of Vascular Surgery Lili Sadri, MD Sharon C. Kiang, M.D., FACS, FSVS, RPVI Rameen S. Moridzadeh, MD Nikhil Kansal Nii-Kabu Kabutey #vascularsurgery #MedEd
