MedLearn Hub (@medlearnhub) 's Twitter Profile
MedLearn Hub

@medlearnhub

Your daily dose of Medical Wisdom. Learn, Revise & Stay updated.🩺📚

ID: 1970191407966232576

calendar_today22-09-2025 18:20:33

3,3K Tweet

5,5K Takipçi

466 Takip Edilen

MedLearn Hub (@medlearnhub) 's Twitter Profile Photo

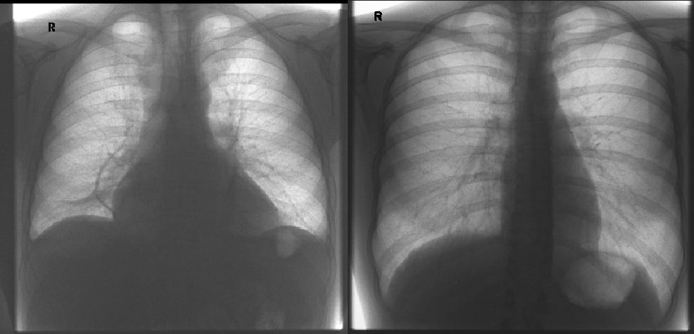
⭕ A 45-year-old male presents with progressive dyspnea, orthopnea, and pedal edema for 3 months. Chest X-ray comparison is shown. The right image shows a normal cardiac silhouette, while the left image shows an enlarged globular cardiac shadow. What is the most likely diagnosis

⭕ A 45-year-old male presents with progressive dyspnea, orthopnea, and pedal edema for 3 months. Chest X-ray comparison is shown. The right image shows a normal cardiac silhouette, while the left image shows an enlarged globular cardiac shadow. What is the most likely diagnosis
MedLearn Hub (@medlearnhub) 's Twitter Profile Photo

🌀Posterior cortical atrophy (the visual variant of Alzheimer's disease)- It causes progressive visuospatial dysfunction from parietal/occipital neurodegeneration while preserving memory early. • Onset: 50-65 yrs. • Pathology: 70-80% AD pathology (amyloid/tau posterior

MedLearn Hub (@medlearnhub) 's Twitter Profile Photo

🔶Supernumerary kidney (classified under CAKUT)- It is a rare congenital anomaly featuring an accessory functional kidney (complete pelvicalyceal system & ureter) separate from the bilateral main kidneys, typically smaller (<50% normal size). • Embryology: Fusion failure at

MedLearn Hub (@medlearnhub) 's Twitter Profile Photo

📚A 42-year-old male presents with fatigue, early satiety & weight loss for 3 months. Examination reveals massive splenomegaly. Laboratory investigations show: Hb- 9 g/dL, TLC- 1,50,000/mm³, Differential count: Left shift with myelocytes & metamyelocytes, Platelets: Increased.

📚A 42-year-old male presents with fatigue, early satiety &amp; weight loss for 3 months. Examination reveals massive splenomegaly. Laboratory investigations show: Hb- 9 g/dL, TLC- 1,50,000/mm³, Differential count: Left shift with myelocytes &amp; metamyelocytes, Platelets: Increased.
MedLearn Hub (@medlearnhub) 's Twitter Profile Photo

💠Angelman Syndrome- It is an AR neurogenetic disorder from maternal 15q11-13 deletion/UBE3A loss (paternal imprinting), "happy puppet" child. ∆ C/F- Classic tetrad: Severe MR (DQ<30), absent speech, ataxic gait/tremor, happy demeanor (frequent laughter/hand-flapping). •

MedLearn Hub (@medlearnhub) 's Twitter Profile Photo

Dr. Muhammad Moor 📍Ringer’s lactate is avoided in severe hyperkalemia because Ringer’s lactate contains 4 mEq/L potassium, risking further elevation of already critically high serum K+ (>6.5-7 mEq/L) and precipitating life-threatening arrhythmias. ✓Monitor ECG (peaked T, wide QRS), definitive-

MedLearn Hub (@medlearnhub) 's Twitter Profile Photo

🔶Disseminated Cysticercosis- It is Caused by widespread infection with Taenia solium larvae (cysticerci), affecting multiple organs. • Source: fecal-oral ingestion of T. solium eggs. This occurs via contaminated food, water, or poor hygiene in endemic areas. •

MedLearn Hub (@medlearnhub) 's Twitter Profile Photo

💡A 3-year-old boy is brought by his parents due to poor social interaction. He does not respond to his name, avoids eye contact & prefers to play alone. He repeatedly arranges toys in a fixed pattern & becomes extremely distressed if routines are changed & His speech is also

💡A 3-year-old boy is brought by his parents due to poor social interaction. He does not respond to his name, avoids eye contact &amp; prefers to play alone. He repeatedly arranges toys in a fixed pattern &amp; becomes extremely distressed if routines are changed &amp; His speech is also
MedLearn Hub (@medlearnhub) 's Twitter Profile Photo

Dr. Muhammad Moor 🟡Vitamin D deficiency commonly develops with long-term carbamazepine therapy. This enzyme-inducing AED (CYP3A4/P450) accelerates 25-hydroxyvitamin D catabolism to inactive polar metabolites, reducing serum levels by 20-50% and causing osteomalacia/osteoporosis. • Bone loss:

MedLearn Hub (@medlearnhub) 's Twitter Profile Photo

Dr. Muhammad Moor A) Atorvastatin. 📍Rhabdomyolysis- Sudden severe muscle pain & dark urine (myoglobinuria)- It occurs in 0.01-0.1% statin users, triggered by high dose, drug interactions (CYP3A4 inhibitors like clarithromycin), hypothyroidism, or renal impairment. ∆ Pathophysiology: HMG-CoA

MedLearn Hub (@medlearnhub) 's Twitter Profile Photo

MEDICINE MADNESS 🟠Lipodermatosclerosis- It is a chronic inflammatory & fibrotic condition of the lower leg skin & fat due to venous insufficiency. • The inverted champagne bottle appearance is classical for lipodermatosclerosis- It results from progressive fibrosis & inflammmation in the lower

MedLearn Hub (@medlearnhub) 's Twitter Profile Photo

Dau⚕️ C.Alberto Ortega Dr. Shiv_Kumar अहिरावण Dr. Akhil 🇮🇳 Dr. Medica🩺 The Medics🩺💊💉🏥 DrNadaSalma⚕ Dr.Rajarshi Dr. Vik Dr Ajay yadav ✴️Scabies- It is diagnosed by pathognomonic skin burrows & microscopic identification of Sarcoptes scabiei mite. ∆ Clinical Features- Classical lesions: Linear burrows (1-10 mm) with delta-wing mite at end, finger webs, wrists, axillae, genitals; intense nocturnal itching

MedLearn Hub (@medlearnhub) 's Twitter Profile Photo

⭕ A 35 year old female presents with recurrent episodes of headache, palpitations & excessive sweating for the past 6 months. Her blood pressure during episodes is 200/110 mmHg. CT scan & Histopathology images are shared below. What is the diagnosis? A) Adrenocortical

⭕ A 35 year old female presents with recurrent episodes of headache, palpitations &amp; excessive sweating for the past 6 months. Her blood pressure during episodes is 200/110 mmHg. CT scan &amp; Histopathology images are shared below. What is the diagnosis?
 
A) Adrenocortical
MedLearn Hub (@medlearnhub) 's Twitter Profile Photo

MEDICINE MADNESS B) Rifampicin. ✓Rifampicin, a key antitubercular drug predictably causes bright orange-red discoloration of urine (& other body fluids like tears, sweat) due to its red-orange metabolite excretion which is harmless & resolves post-therapy. ∆ Mechanism- Rifampin→ hepatic

MedLearn Hub (@medlearnhub) 's Twitter Profile Photo

Dr. Muhammad Moor 🔵Ondansetron is often preferred over Metoclopramide in hospital settings for nausea and vomitingdue to superior efficacy against acute emesis and absence of extrapyramidal side effects. ∆ Mechanism Difference- Ondansetron selectively blocks central/peripheral 5-HT3 receptors

MedLearn Hub (@medlearnhub) 's Twitter Profile Photo

B. ✴️ Bullous Pemphigoid- It is an autoimmune subepidermal blistering disease. ∆ Etiopathogenesis- IgG autoantibodies target BP180 (type XVII collagen) & BP230 in hemidesmosomes→Complement activation, eosinophil rich inflammation→ subepidermal split & blister. • It is More

MedLearn Hub (@medlearnhub) 's Twitter Profile Photo

🌀Silver stool (Thomas’s sign)- It is classically seen in Carcinoma of the ampulla of Vater. ∆ Pathogenesis- It results from a combination of obstructive jaundice (white stool due to absence of bile pigment) & GI bleeding (black stool due to melena). When these mix, they give a

MedLearn Hub (@medlearnhub) 's Twitter Profile Photo

Mednomics • 2-aminoacetophenone is the specific chemical compound responsible for Pseudomonas' characteristic "fruity, grape-like" odor. • This volatile metabolite produced during bacterial growth gives mucoid Pseudomonas aeruginosa infections their distinctive sweet smell, aiding