Michael Corwin (@mtcorwin) 's Twitter Profile
Michael Corwin

@mtcorwin

Abdominal Radiologist

ID: 1374446229090791428

calendar_today23-03-2021 19:41:41

8 Tweet

92 Followers

18 Following

SAR_AdrenalDFP (@adrenaldfp) 's Twitter Profile Photo

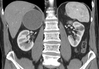
Is time for an interesting adrenal case!! Middle aged man with history of melanoma 🟡 What is your diagnosis? 🟢 What would you recommend?

Is time for an interesting adrenal case!! Middle aged man with history of melanoma
🟡 What is your diagnosis?
🟢 What would you recommend?
SAR_AdrenalDFP (@adrenaldfp) 's Twitter Profile Photo

📣We are actively working on the evaluation of incidental adrenal nodules! 🟢 If you are a SAR member, please remember to complete our SAR DFP Survey: Adrenal Nodule! ☑️ Your experience will be helpful in revising subsequent management guidelines @SocAbdRadiology