
LITFL
@litflblog
LITFL | Life in the Fast Lane | Emergency medicine and critical care education blog + #FOAMed resources | Curated by @sandnsurf, @precordialthump, @rob_buttner
ID: 1122078034545102850
https://litfl.com/ 27-04-2019 10:00:25
775 Tweet
27,27K Followers
533 Following

See how to recognize the subtle clinical signs of cardiogenic shock, perform hemodynamic monitoring, and optimize treatment plans! Join our friends, Medmastery, for their live Q&A webinar with Dr Lorrel E.B. Toft! Register here: bit.ly/3ZLM5CT #MedTwitter #Cardiology








Learn to recognize even subtle clinical signs of cardiogenic shock, perform hemodynamic monitoring, and optimize treatment plans! Join our friends Medmastery, for a live Q&A webinar with Dr Lorrel E.B. Toft! Register here: bit.ly/3ZLM5CT #MedTwitter #Cardiology










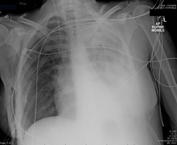
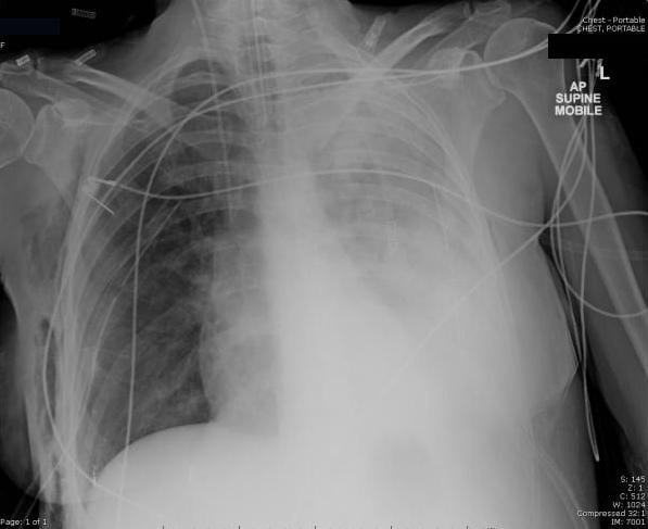
What's your diagnosis from this chest X-ray? Our friends at Medmastery made their Chest X-ray Essentials workshop for free until May 19th! Check it out here -> medmastery.com/workshops/ches… #FOAMed #radiology #chestxray #MedEd #MedTwitter




What abnormalities do you see? By the way: Chest X-ray Essentials course over at Medmastery is still free until May 19th -> medmastery.com/workshops/ches… #FOAMed #MedEd #MedTwitter #Radiology #ChestXray
