Jerad Gardner, MD (@jmgardnermd) 's Twitter Profile
Jerad Gardner, MD

@jmgardnermd

Dermpath/Sarcoma Pathologist @GeisingerPath. Co-founder @Kiko4docs. Deputy Editor @ArchivesPath. TEDx Speaker. Book Author: Survival Guide to Dermatopathology.

ID: 45577730

linkhttps://www.youtube.com/playlist?list=PLkuwOd2JcINN2wuqnIlt_I7SfbSgFKpR- calendar_today08-06-2009 14:37:31

77,77K Tweet

49,49K Takipçi

15,15K Takip Edilen

Jerad Gardner, MD (@jmgardnermd) 's Twitter Profile Photo

A #pathology classic! Touch prep and H&E section. What's your diagnosis? Answer ✅ youtu.be/yB24r0iAWDs?si… #Pathology #dermpath #dermatology #dermatologia #dermtwitter #BSTpath

A #pathology classic! Touch prep and H&E section. What's your diagnosis? 
Answer ✅ youtu.be/yB24r0iAWDs?si…
 #Pathology #dermpath #dermatology #dermatologia #dermtwitter #BSTpath
Jerad Gardner, MD (@jmgardnermd) 's Twitter Profile Photo

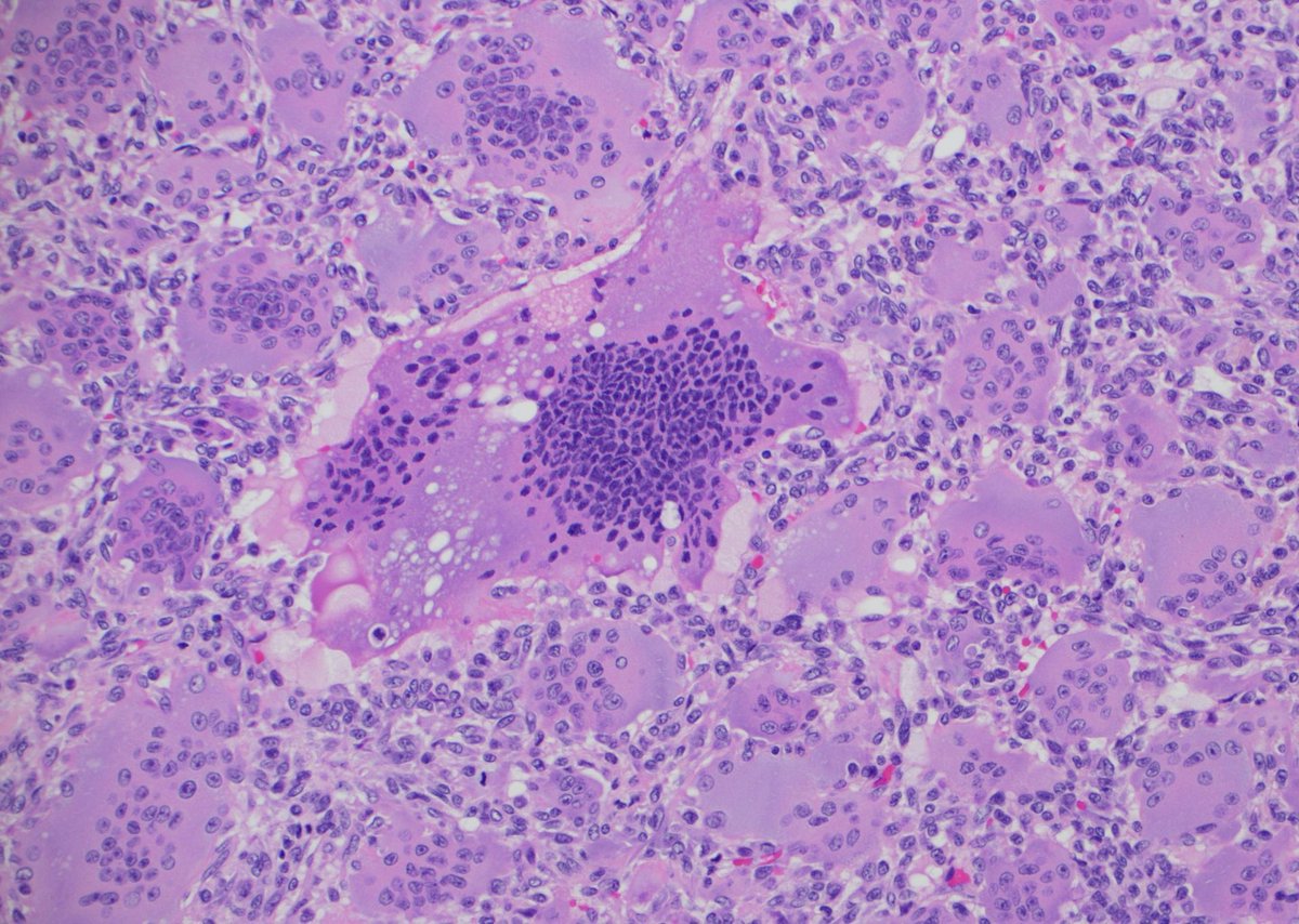
This is NOT CMV. What is it? Answer ✅ youtu.be/NIaIPs1UqO8?si… WSI digital slides: kikoxp.com/posts/5128. #BSTpath #pathology #pathologists #pathTwitter #dermpath #dermatology #dermatologia #dermtwitter

This is NOT CMV. What is it? 
Answer ✅ youtu.be/NIaIPs1UqO8?si…
WSI digital slides: kikoxp.com/posts/5128. 
#BSTpath #pathology #pathologists #pathTwitter #dermpath #dermatology #dermatologia #dermtwitter
Jerad Gardner, MD (@jmgardnermd) 's Twitter Profile Photo

Elderly adult with indurated yellowish skin plaques around eyes and on neck and trunk. What is the diagnosis? What systemic disease might they have? Answers ✅ youtu.be/s2fQ80Wb7xI #pathology #pathologists #pathTwitter #dermpath #dermatology #dermatologia #dermtwitter

Elderly adult with indurated yellowish skin plaques around eyes and on neck and trunk.
What is the diagnosis?
What systemic disease might they have? 
Answers ✅  youtu.be/s2fQ80Wb7xI 
#pathology #pathologists #pathTwitter #dermpath #dermatology #dermatologia #dermtwitter
Jerad Gardner, MD (@jmgardnermd) 's Twitter Profile Photo

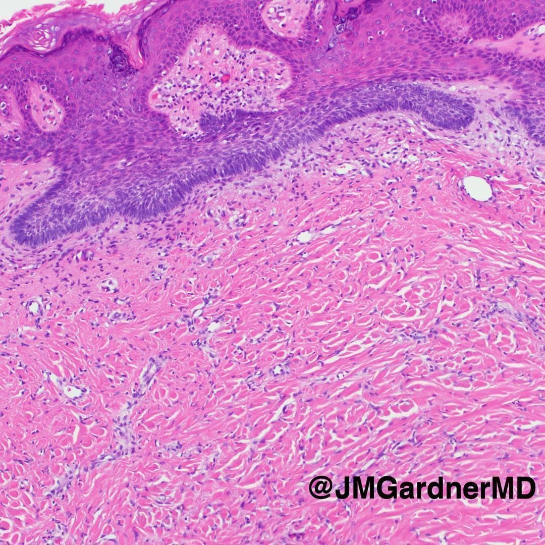
25 F back nodule. What’s happening here? Answer ✅ youtu.be/brS4__g1VAk?si… More pics🔬 kikoxp.com/posts/8186 #pathology #pathologists #pathTwitter #dermpath #dermatology #dermatologia #dermtwitter #BSTpath

25 F back nodule. What’s happening here?
Answer ✅ youtu.be/brS4__g1VAk?si…
More pics🔬 kikoxp.com/posts/8186
#pathology #pathologists #pathTwitter #dermpath #dermatology #dermatologia #dermtwitter #BSTpath
Jerad Gardner, MD (@jmgardnermd) 's Twitter Profile Photo

60 M. cystic bone lesion in proximal tibia. Tell me his medical history. WSI digital slides: kikoxp.com/posts/11799 Answer: kikoxp.com/posts/12122 #BSTpath #pathologists #pathology #pathTwitter #orthotwitter #orthopedics

60 M. cystic bone lesion in proximal tibia. Tell me his medical history.
WSI digital slides: kikoxp.com/posts/11799    
Answer: kikoxp.com/posts/12122
#BSTpath #pathologists #pathology #pathTwitter #orthotwitter #orthopedics
Jerad Gardner, MD (@jmgardnermd) 's Twitter Profile Photo

What's this beautiful adnexal tumor? Reply w/ diagnosis, then check answer here youtu.be/wQlreSbY79g. WSI digital slide on pathpresenter.com pathpresenter.net/public/display…. Raj Singh MD #pathology #pathologists #pathTwitter #dermpath #dermatology #dermatologia #dermtwitter

What's this beautiful adnexal tumor? Reply w/ diagnosis, then check answer here youtu.be/wQlreSbY79g. WSI digital slide on <a href="/pathpresenter/">pathpresenter.com</a> pathpresenter.net/public/display…. <a href="/mydermpath/">Raj Singh MD</a> #pathology #pathologists #pathTwitter #dermpath #dermatology #dermatologia #dermtwitter
Jerad Gardner, MD (@jmgardnermd) 's Twitter Profile Photo

Skin nodule. Your diagnosis? Answer ✅ youtube.com/watch?v=09feX8… Video 👉🏻 youtube.com/watch?v=E_Sr2c… More pics: kikoxp.com/posts/10372/pu… #pathology #pathologists #pathTwitter #dermpath #dermatology #dermtwitter #dermatologia

Skin nodule. Your diagnosis? 
Answer ✅ youtube.com/watch?v=09feX8… 
Video 👉🏻 youtube.com/watch?v=E_Sr2c… 
More pics: kikoxp.com/posts/10372/pu…
#pathology #pathologists #pathTwitter #dermpath #dermatology #dermtwitter #dermatologia
Jerad Gardner, MD (@jmgardnermd) 's Twitter Profile Photo

Multiple papules on trunk & extremities of adult. Answer ✅ youtu.be/Q88yDU-Pyis?si… More pics: kikoxp.com/posts/17926 More info: kikoxp.com/posts/17925 #pathology #pathologists #pathTwitter #dermpath #dermatology #dermatologia #dermtwitter

Multiple papules on trunk &amp; extremities of adult.  
Answer ✅ youtu.be/Q88yDU-Pyis?si… 
More pics: kikoxp.com/posts/17926 
More info: kikoxp.com/posts/17925
#pathology #pathologists #pathTwitter #dermpath #dermatology #dermatologia #dermtwitter
Jerad Gardner, MD (@jmgardnermd) 's Twitter Profile Photo

12 M. Polypoid lesion femoral metaphysis. Diagnosis? Answer ✅ youtu.be/k2o5T1YqW30?si… More pics kikoxp.com/posts/17991 Bone & cartilage 101 videos: youtu.be/90sx3yrw4t4?si… & youtu.be/MVWgLLiirKU?si… & youtu.be/bJViw-Z39x8?si… #BSTpath #pathologists #pathTwitter #orthotwitter

12 M. Polypoid lesion femoral metaphysis. Diagnosis?
Answer ✅ youtu.be/k2o5T1YqW30?si…
More pics kikoxp.com/posts/17991 
Bone &amp; cartilage 101 videos: youtu.be/90sx3yrw4t4?si… &amp; youtu.be/MVWgLLiirKU?si… &amp; youtu.be/bJViw-Z39x8?si…
#BSTpath #pathologists #pathTwitter #orthotwitter
Jerad Gardner, MD (@jmgardnermd) 's Twitter Profile Photo

Deep soft tissue mass. Answer ✅ youtu.be/MPQhKllL2vc?si… WSI digital slide: kikoxp.com/posts/24672 Gross pathology images: kikoxp.com/posts/24674 #pathology #pathologists #pathTwitter #dermpath #dermatology #dermatologia #dermtwitter #BSTpath

Deep soft tissue mass.
Answer ✅ youtu.be/MPQhKllL2vc?si…
WSI digital slide: kikoxp.com/posts/24672 
Gross pathology images: kikoxp.com/posts/24674
#pathology #pathologists #pathTwitter #dermpath #dermatology #dermatologia #dermtwitter #BSTpath
Jerad Gardner, MD (@jmgardnermd) 's Twitter Profile Photo

A Classic! Diagnosis? Answer ✅ youtu.be/zXGtFVHeyAQ?si… More info: kikoxp.com/posts/17988 A similar case (with a twist!)🔬kikoxp.com/posts/3745 #BSTpath #pathology #pathologists #pathTwitter #dermpath #dermatology #dermatologia #dermtwitter

A Classic! Diagnosis? 
Answer ✅ youtu.be/zXGtFVHeyAQ?si…
More info: kikoxp.com/posts/17988 
A similar case (with a twist!)🔬kikoxp.com/posts/3745 
#BSTpath #pathology #pathologists #pathTwitter #dermpath #dermatology #dermatologia #dermtwitter
Jerad Gardner, MD (@jmgardnermd) 's Twitter Profile Photo

Hyperkeratotic flexural plaques since childhood. Answer ✅ youtu.be/IuCJabkvlIw?si… More pics & info ✅ kikoxp.com/posts/17986 More cases 🔬kikoxp.com/posts/17983 & kikoxp.com/posts/17984 #pathology #pathologists #pathTwitter #dermpath #dermatology #dermtwitter

Hyperkeratotic flexural plaques since childhood.
Answer ✅ youtu.be/IuCJabkvlIw?si… 
More pics &amp; info ✅ kikoxp.com/posts/17986 
More cases 🔬kikoxp.com/posts/17983 &amp; kikoxp.com/posts/17984 
#pathology #pathologists #pathTwitter #dermpath #dermatology #dermtwitter
Jerad Gardner, MD (@jmgardnermd) 's Twitter Profile Photo

20 yo man with deep thigh mass. Answer ✅ youtu.be/NfPkOv2VyIE?si… Digital slides: kikoxp.com/posts/8197. #BSTpath #pathologists #pathology #pathTwitter

20 yo man with deep thigh mass. 
Answer ✅ youtu.be/NfPkOv2VyIE?si… 
Digital slides: kikoxp.com/posts/8197. 
#BSTpath #pathologists #pathology #pathTwitter
Jerad Gardner, MD (@jmgardnermd) 's Twitter Profile Photo

What are these little pink beauties?! Classic for what tumor? Answer ✅ youtu.be/vxF6dEfmv0E?si… What normal skin structure do they resemble? Answer ✅ youtu.be/gwPj8GpWT1U?si… More info: kikoxp.com/posts/8156 #pathology #pathologists #pathTwitter #dermpath #dermatology

What are these little pink beauties?! Classic for what tumor?
Answer ✅ youtu.be/vxF6dEfmv0E?si… 
What normal skin structure do they resemble? 
Answer ✅ youtu.be/gwPj8GpWT1U?si… 
More info: kikoxp.com/posts/8156 
#pathology #pathologists #pathTwitter #dermpath #dermatology
Jerad Gardner, MD (@jmgardnermd) 's Twitter Profile Photo

20 M with expansile lytic bone lesion of epiphysis of distal femur. Diagnosis? Answer ✅ youtu.be/-d6NBuOsh1w?si… PS - that is one of the most ginormous giant cells I’ve ever seen! #BSTpath #pathologists #pathology #pathTwitter

20 M with expansile lytic bone lesion of epiphysis of distal femur. Diagnosis? 
Answer ✅ youtu.be/-d6NBuOsh1w?si…
PS - that is one of the most ginormous giant cells I’ve ever seen! 
#BSTpath #pathologists #pathology #pathTwitter
Jerad Gardner, MD (@jmgardnermd) 's Twitter Profile Photo

50 M. Large plaque plantar foot. Answer ✅ youtu.be/fo67KS6wHjA?si… Digital slide: kikoxp.com/posts/7010. Gross pic: kikoxp.com/posts/7011. Sample #pathology report: kikoxp.com/posts/8404. #pathologists #pathTwitter #dermpath #dermatology #dermtwitter

50 M. Large plaque plantar foot. 
Answer ✅ youtu.be/fo67KS6wHjA?si… 
Digital slide: kikoxp.com/posts/7010. 
Gross pic: kikoxp.com/posts/7011. 
Sample #pathology report: kikoxp.com/posts/8404. 
#pathologists #pathTwitter #dermpath #dermatology #dermtwitter
Jerad Gardner, MD (@jmgardnermd) 's Twitter Profile Photo

What is this bubbly cell? Answer ✅ youtu.be/OXUmrZbSVGk?si… You MUST find at least one of these to diagnose what tumor? Answer ✅ youtu.be/-s5__XS2T6o?si… #BSTpath #pathologists #pathology #pathTwitter

What is this bubbly cell? 
Answer ✅ youtu.be/OXUmrZbSVGk?si… 
You MUST find at least one of these to diagnose what tumor? 
Answer ✅ youtu.be/-s5__XS2T6o?si… 
#BSTpath #pathologists #pathology #pathTwitter
Jerad Gardner, MD (@jmgardnermd) 's Twitter Profile Photo

What is this serpiginous structure? Diagnosis? Answers ✅ youtu.be/DseTS54QS2M?si… More pics & info: kikoxp.com/posts/18032 A more subtle tricky example: youtu.be/JBz4cLyaS2M?si… #pathology #pathologists #pathTwitter #dermpath #dermatology #dermatologia #dermtwitter #BSTpath

What is this serpiginous structure? Diagnosis? 
Answers ✅ youtu.be/DseTS54QS2M?si… 
More pics &amp; info: kikoxp.com/posts/18032
A more subtle tricky example: youtu.be/JBz4cLyaS2M?si… 
#pathology #pathologists #pathTwitter #dermpath #dermatology #dermatologia #dermtwitter #BSTpath
Jerad Gardner, MD (@jmgardnermd) 's Twitter Profile Photo

60 yo M w large destructive lytic pelvic bone mass from acetabulum to sacroiliac joint. Hemipelvectomy. Answer ✅ youtube.com/watch?v=vn_wCF… Gross pic: kikoxp.com/posts/5132. Digital slides: kikoxp.com/posts/5131 #BSTpath #pathologists #pathology #pathTwitter

60 yo M w large destructive lytic pelvic bone mass from acetabulum to sacroiliac joint. Hemipelvectomy. 
Answer ✅ youtube.com/watch?v=vn_wCF… 
Gross pic: kikoxp.com/posts/5132. 
Digital slides: kikoxp.com/posts/5131
#BSTpath #pathologists #pathology #pathTwitter
Jerad Gardner, MD (@jmgardnermd) 's Twitter Profile Photo

45 F on dialysis. Enlarging very painful black eschar/ulcer on abdomen. Answer ✅ youtu.be/Xszx4mUDTmk Video (101): youtu.be/fESY7haH18U #pathology #pathologists #pathTwitter #dermpath #dermatology #dermatologia #dermtwitter

45 F on dialysis. Enlarging very painful black eschar/ulcer on abdomen. 
Answer ✅ youtu.be/Xszx4mUDTmk 
Video (101): youtu.be/fESY7haH18U 
#pathology #pathologists #pathTwitter #dermpath #dermatology #dermatologia #dermtwitter