James Morrison (@jjmorrisonmd) 's Twitter Profile
James Morrison

@jjmorrisonmd

Interventional Radiologist, IR Residency Program Director, Clinical Informaticist

ID: 2500691990

calendar_today17-05-2014 05:37:45

78 Tweet

108 Takipçi

0 Takip Edilen

Rasu Shrestha MD MBA (@rasushrestha) 's Twitter Profile Photo

When you mix curiosity with intellect and sheer grit, you get Judy Gichoya! Most Influential Radiology Researcher, Minnies 2021 finalist🏅 I’m so darn proud of her! auntminnie.com/index.aspx?sec… #meded #radtwitter #rsna21 #HeForShe

When you mix curiosity with intellect and sheer grit, you get <a href="/judywawira/">Judy Gichoya</a>!

Most Influential Radiology Researcher, Minnies 2021 finalist🏅

I’m so darn proud of her!

auntminnie.com/index.aspx?sec… 

#meded #radtwitter #rsna21 #HeForShe
Stefan Tigges (@stefantigges) 's Twitter Profile Photo

“We should stop training radiologists now. It's just completely obvious that within five years, deep learning is going to do better than radiologists.” Geoff Hinton, 24 November 2016

“We should stop training radiologists now.
It's just completely obvious that within five years,
deep learning is going to do better than radiologists.”
Geoff Hinton, 24 November 2016
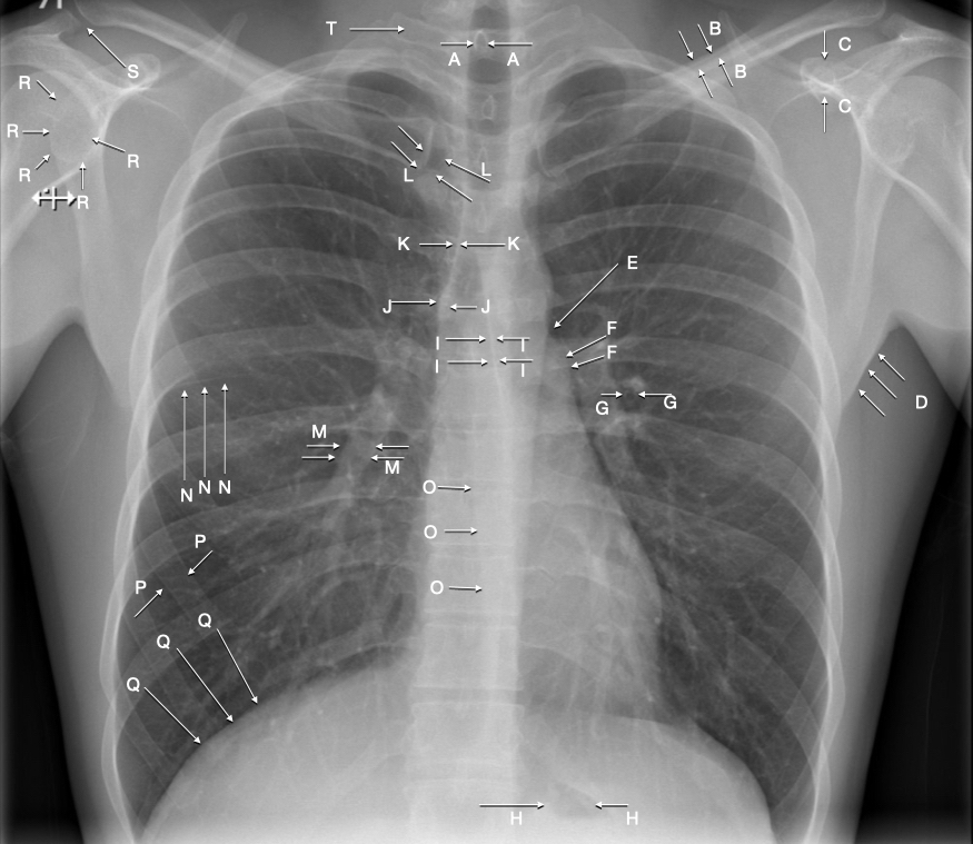
Paul McCoubrie (@pmccoubrie) 's Twitter Profile Photo

Everyone likes an CXR anatomy quiz, don't they? But particularly those approaching the First FRCR Anatomy in March. I'll post the answers next week

Everyone likes an CXR anatomy quiz, don't they? 

But particularly those approaching the First FRCR Anatomy in March. I'll post the answers next week
MSU Interventional Radiology (@iradmsu) 's Twitter Profile Photo

We're excited to share more about our program here going forward. To start, we'd like to congratulate our own Younes Jahangiri, M.D. for: 1) Becoming the statistical editor for JVIR 2) Being awarded Top Reviewer in 2021 3) Becoming a Lifetime Centurion Reviewer Great job Younes!

We're excited to share more about our program here going forward.

To start, we'd like to congratulate our own <a href="/YJahangiri/">Younes Jahangiri, M.D.</a> for:

1) Becoming the statistical editor for <a href="/JVIRmedia/">JVIR</a>
2) Being awarded Top Reviewer in 2021 
3) Becoming a Lifetime Centurion Reviewer

Great job Younes!
MSU Interventional Radiology (@iradmsu) 's Twitter Profile Photo

Congratulations to Younes Jahangiri, M.D., James Morrison & Gregory M. Gressel MD on the publication of this interesting case in @ELS_Radiology in collaboration with the OB/GYN & pathology teams: Article: Peritoneal seeding of embolic beads after UFE Link: sciencedirect.com/science/articl… #IRad #RadTwitter

Congratulations to <a href="/YJahangiri/">Younes Jahangiri, M.D.</a>, <a href="/JJMorrisonMD/">James Morrison</a> &amp; <a href="/GresselGreg/">Gregory M. Gressel MD</a> on the publication of this interesting case in @ELS_Radiology in collaboration with the OB/GYN &amp; pathology teams:

Article: Peritoneal seeding of embolic beads after UFE

Link: sciencedirect.com/science/articl… 
#IRad #RadTwitter
MSU Interventional Radiology (@iradmsu) 's Twitter Profile Photo

In ~24 hours our PGY2 class, along with a handful of our attendings, will be landing in Phoenix for the 2023 Society of Interventional Radiology (SIR) conference! We’re looking forward to networking & learning with everyone the next several days ☢️🌵 #SIR23PHX #radtwitter

MSU Interventional Radiology (@iradmsu) 's Twitter Profile Photo

We’re very excited to introduce our newest additions to the MSU interventional radiology residency program! Welcome to the family. #MSU #Irad #matchday #matchday2023 #radiology #radres #interventionalradiology

We’re very excited to introduce our newest additions to the MSU interventional radiology residency program! 

Welcome to the family.

 #MSU #Irad #matchday #matchday2023 #radiology #radres #interventionalradiology
VIRGLS 2024 (@virglsymposium) 's Twitter Profile Photo

IR PD panelists advised on a basic structure for a personal statement: -1st P: explain why you're interested in IR -2nd P: highlight what sets you apart -3rd P: describe your career goals and what you're looking for in a program #futureradres #radiology #MedEd #IRad #WeAreIRad

IR PD panelists advised on a basic structure for a personal statement:

-1st P: explain why you're interested in IR
-2nd P: highlight what sets you apart
-3rd P: describe your career goals and what you're looking for in a program

#futureradres #radiology #MedEd #IRad #WeAreIRad
MSU Interventional Radiology (@iradmsu) 's Twitter Profile Photo

We had a great time at the Corewell Health Research Day at the MSU College of Human Medicine Secchia Center in downtown Grand Rapids, MI #irad #radres #research #interventionalradiology #msu #corewellhealth

We had a great time at the Corewell Health Research Day at the MSU College of Human Medicine Secchia Center in downtown Grand Rapids, MI

#irad #radres #research #interventionalradiology #msu #corewellhealth
Nathan Kauffman (@nate_ir) 's Twitter Profile Photo

Alpha-particle SIRT in #IRad? Check out our most recent publication in Frontiers - Chemistry where we delivered Bismuth-212 using MAA and treated mouse breast cancer MSU Interventional Radiology SIR RFS SNMMI frontiersin.org/articles/10.33…

Alpha-particle SIRT in #IRad? Check out our most recent publication in <a href="/FrontChemistry/">Frontiers - Chemistry</a> where we delivered Bismuth-212 using MAA and treated mouse breast cancer <a href="/IRadMSU/">MSU Interventional Radiology</a> <a href="/SIRRFS/">SIR RFS</a> <a href="/SNM_MI/">SNMMI</a> 

frontiersin.org/articles/10.33…
MSU Interventional Radiology (@iradmsu) 's Twitter Profile Photo

A peek into the Helen Devos Children’s Hospital here in downtown Grand Rapids where we get our exposure to pediatric diagnostic & interventional radiology: #irad #radred #peds #pediatrics

A peek into the Helen Devos Children’s Hospital here in downtown Grand Rapids where we get our exposure to pediatric diagnostic &amp; interventional radiology: 

#irad #radred #peds #pediatrics
Douglas Beall (@dougbeall) 's Twitter Profile Photo

Important milestone for #sacroplasty with the interim analysis of the 1st 102 pts in the registry showing dramatic improvements in pain and function. Thanks to Society of Interventional Radiology for their support Sean Tutton Wayne Olan Dan Nguyen, MD FASSR Dana Dunleavy, MD jvir.org/action/showPdf…

Important milestone for #sacroplasty with the interim analysis of the 1st 102 pts in the registry showing dramatic improvements in pain and function.  Thanks to <a href="/SIRspecialists/">Society of Interventional Radiology</a> for their support
<a href="/SeanTutton/">Sean Tutton</a> <a href="/WayneOlan/">Wayne Olan</a> <a href="/neuroradiology/">Dan Nguyen, MD FASSR</a> <a href="/ImagingDoctor/">Dana Dunleavy, MD</a> 
jvir.org/action/showPdf…