
DermPath_JonathanHo
@jhodermpath
Consultant Dermatologist/Dermatopathologist and Lecturer University of the West Indies, Mona Campus Director, Dermatopathology Laboratory Services
ID: 1434234400900845570
04-09-2021 19:18:45
125 Tweet
647 Followers
231 Following















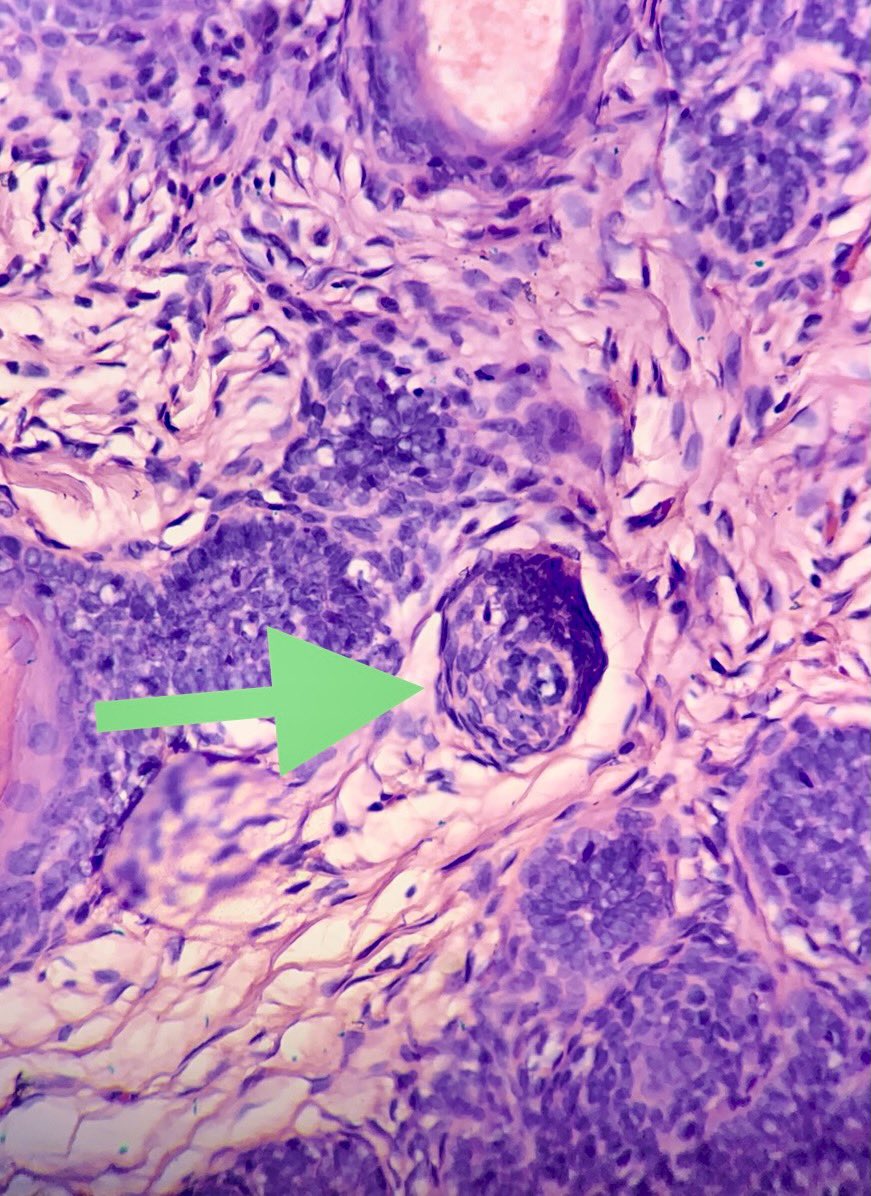
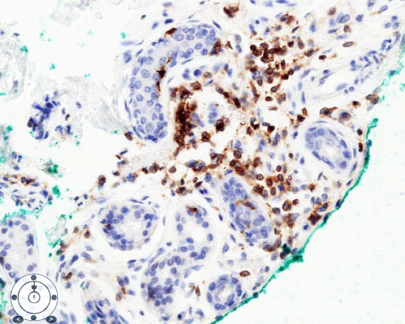
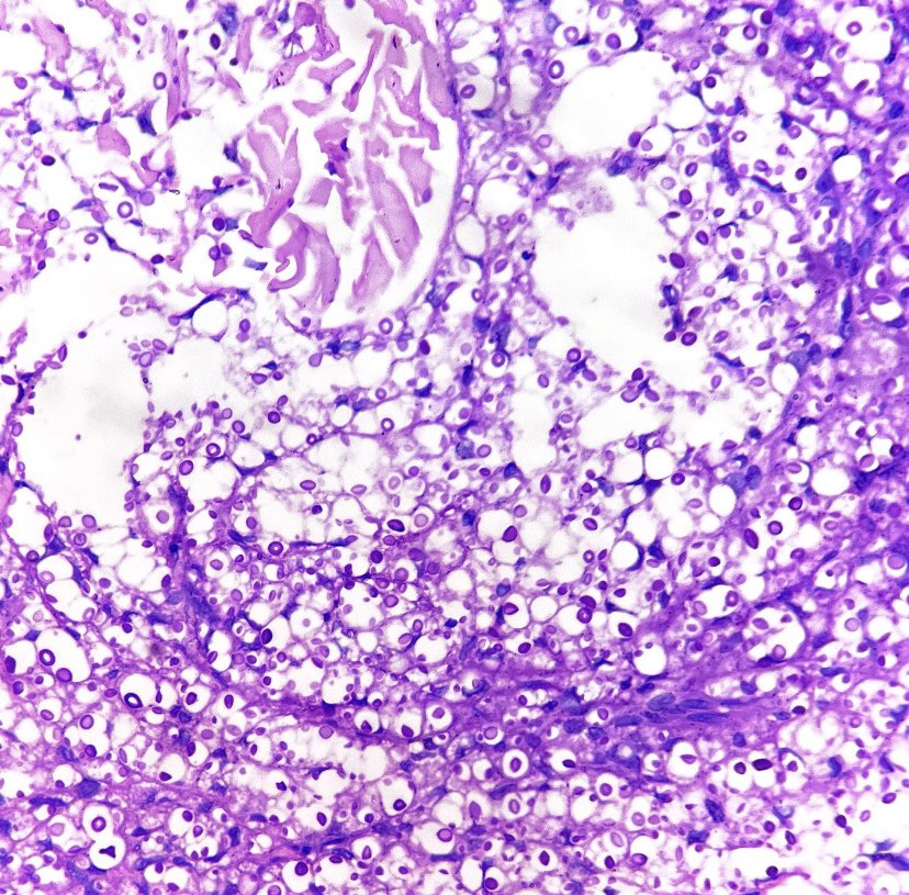
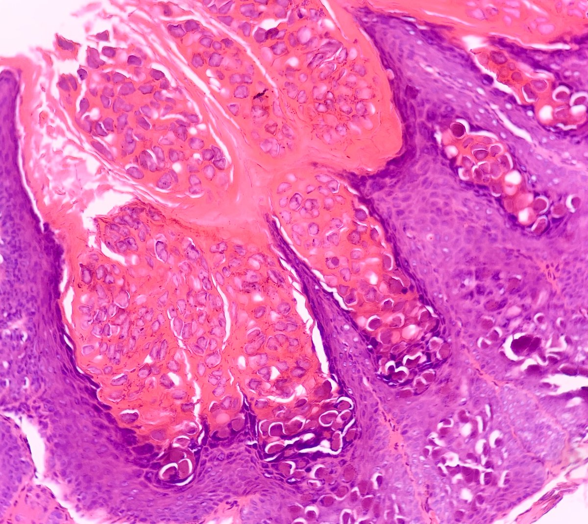
Very nice article by Jerad Gardner, MD and Sara Shalin - Dr. Selim spoke on this at #ASDP21 #dermpath #pathology #dermatology





