Jackie Birkness-Gartman (@jbirkness) 's Twitter Profile
Jackie Birkness-Gartman

@jbirkness

Assistant Professor of Pathology at Johns Hopkins

ID: 1551360390721785856

calendar_today25-07-2022 00:15:35

24 Tweet

86 Takipçi

26 Takip Edilen

Hopkins GI Pathology (@hopkins_gi_path) 's Twitter Profile Photo

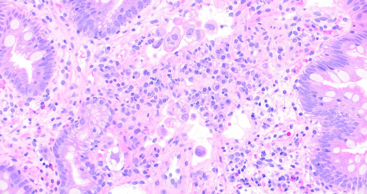
Every once in a while CMV mimics IBD. Viral cytopathic change is subtle in this example but prominent apoptotic action is a useful clue. #GIpath Case by Dr. @Voltaggiol

Every once in a while CMV mimics IBD. Viral cytopathic change is subtle in this example but prominent apoptotic action is a useful clue. #GIpath Case by Dr. @Voltaggiol
Michael Kallen (@michael_kallen_) 's Twitter Profile Photo

Check it out #pathtwitter: New & improved Need to Know Pathology course is now live! oakstone.com/need-to-know-p… Comes with board pass guarantee. All star roster of lecturers. Lectures now in short format, for today's kids. Don't miss out! Kevan Salimian, MD, PhD Jackie Birkness-Gartman Oakstone Publishing

Johns Hopkins Pathology (@jhupath) 's Twitter Profile Photo

Thanks to our incredible PAs, Johns Hopkins Surgical Pathology is now offering a collection of educational gross images. Check it out! 👇 apps.pathology.jhu.edu/specimen-image…

Johns Hopkins Pathology (@jhupath) 's Twitter Profile Photo

Immune microenvironment of intimal sarcomas: Adaptive immune resistance with potential therapeutic implications By Jackie Birkness-Gartman @Voltaggiol and colleagues academic.oup.com/ajcp/advance-a…

Hopkins GI Pathology (@hopkins_gi_path) 's Twitter Profile Photo

We celebrated our #GIPath fellows for 2023-2024 with a well-deserved bash yesterday. April, Saman, and Tom have worked tirelessly to enhance their diagnostic skills, and their dedication will undoubtedly benefit thousands of patients for years to come.👏✨ #FutureOfPathology

We celebrated our #GIPath fellows for 2023-2024 with a well-deserved bash yesterday. April, Saman, and Tom have worked tirelessly to enhance their diagnostic skills, and their dedication will undoubtedly benefit thousands of patients for years to come.👏✨ #FutureOfPathology
Hopkins GI Pathology (@hopkins_gi_path) 's Twitter Profile Photo

Registration is now open for our annual GI/Liver Pathology CME course, 10/26-10/27! We have a great lineup of speakers and topics, and it's entirely online with a live Q&A session. We hope to see you there! hopkinscme.cloud-cme.com/course/courseo…

Hopkins GI Pathology (@hopkins_gi_path) 's Twitter Profile Photo

It's not too late to register for our annual GI/Liver Pathology CME course, 10/26-10/27! The course is entirely online with a live Q&A session, and covers topics ranging from H&E differential diagnosis to molecular techniques! hopkinscme.cloud-cme.com/course/courseo…

Hopkins GI Pathology (@hopkins_gi_path) 's Twitter Profile Photo

Registration is open for the JHH 25th Annual GI/Liver Pathology CME course! The course is entirely online, with a live Q&A session 11/2/25. See comment for this year's "hot topics". Register today! hopkinscme.cloud-cme.com/course/courseo…

Tatianna Larman (@tashalarman) 's Twitter Profile Photo

Context is everything! Radiation-associated epithelial atypia can be treacherous 😱! Learn the latest from Jackie Birkness-Gartman (PMID: 36495943) and other incredible expert pathologists at our 25th Annual Johns Hopkins GI/Liver Pathology CME Course (virtual!) hopkinscme.cloud-cme.com/course/courseo…

Context is everything! Radiation-associated epithelial atypia can be treacherous 😱! Learn the latest from <a href="/JBirkness/">Jackie Birkness-Gartman</a> (PMID: 36495943) and other incredible expert pathologists at our 25th Annual Johns Hopkins GI/Liver Pathology CME Course (virtual!) hopkinscme.cloud-cme.com/course/courseo…