IMA MSN MAHARASHTRA (@imamsnmh) 's Twitter Profile
IMA MSN MAHARASHTRA

@imamsnmh

Official Twitter handle of INDIAN MEDICAL ASSOCIATION -MEDICAL STUDENTS NETWORK(MH)

ID: 1390291426429136896

linkhttps://linktr.ee/IMA_MSN_MH calendar_today06-05-2021 13:05:19

106 Tweet

135 Followers

33 Following

IMA MSN MAHARASHTRA (@imamsnmh) 's Twitter Profile Photo

IMA MSN is proud of it's women leaders who made it possible for IMA MSN MH to achieve heights and set landmarks. #womensdaycelebration #womenempowerment

IMA MSN is proud of it's women leaders who made it possible for IMA MSN MH to achieve heights and set landmarks.

#womensdaycelebration
#womenempowerment
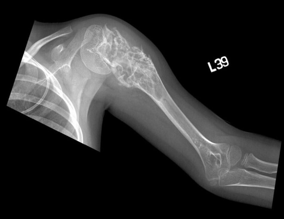
Journal of Brown Hospital Medicine (@brownjhm) 's Twitter Profile Photo

A 6 year old girl presented with left shoulder swelling. CT w/onion peel appearance. What is the likely diagnosis? (Image Radiopaedia.org, Dr Hani Makky Al Salam) #Medtwitter

A 6 year old girl presented with left shoulder swelling. CT w/onion peel appearance. What is the likely diagnosis? (Image <a href="/Radiopaedia/">Radiopaedia.org</a>,  Dr Hani Makky Al Salam) #Medtwitter
Indian Medical Association (@imaindiaorg) 's Twitter Profile Photo

Indian Medical Association Strongly Condemns Brutal Attack on Doctor at Kanika Memorial PHC, Tripura. It is utterly disheartening to witness such incidents that undermine Doctors invaluable contribution. We call upon all our members, medical professionals, and citizens alike

Dr. Harkishan Mamtani (@drharkishanm) 's Twitter Profile Photo

Was invited to judge a debate competition on "Adoption of robots in surgical interventions, in favour of human-centric healthcare", organized by IMA MSN MAHARASHTRA In the judges round, raised the question of impact of #robots on the #mentalhealth of surgeons & patients. #MedTwitter

Was invited to judge a debate competition on "Adoption of robots in surgical interventions, in favour of human-centric healthcare", organized by <a href="/ImaMsnMH/">IMA MSN MAHARASHTRA</a>
In the judges round, raised the question of impact of #robots on the #mentalhealth of surgeons &amp; patients.

#MedTwitter
CLINICALLY EVOLVE (@cevolveofficial) 's Twitter Profile Photo

📢 𝕄𝔼𝔻𝕀ℂ𝕃𝔸𝕊ℍ- 𝐀 𝐁𝐈𝐎𝐄𝐓𝐇𝐈𝐂𝐒 𝐃𝐄𝐁𝐀𝐓𝐄 𝐂𝐎𝐌𝐏𝐄𝐓𝐈𝐓𝐈𝐎𝐍🔖 Registrations in teams of 3 Registration link : docs.google.com/forms/d/e/1FAI… Check out the borchure for format and details! drive.google.com/file/d/1pBEHOf… For any queries DM us! #MedTwitter #MedEd #Quiz

📢 𝕄𝔼𝔻𝕀ℂ𝕃𝔸𝕊ℍ- 𝐀 𝐁𝐈𝐎𝐄𝐓𝐇𝐈𝐂𝐒 𝐃𝐄𝐁𝐀𝐓𝐄 𝐂𝐎𝐌𝐏𝐄𝐓𝐈𝐓𝐈𝐎𝐍🔖

Registrations in teams of 3

Registration link : docs.google.com/forms/d/e/1FAI…

Check out the borchure for format and details!
drive.google.com/file/d/1pBEHOf…
For any queries DM us!
#MedTwitter #MedEd #Quiz