International Soc of Bone & Soft Tissue Pathology (@isbstp) 's Twitter Profile
International Soc of Bone & Soft Tissue Pathology

@isbstp

The ISBSTP is a non-profit organization founded in 2001 by a group of pathologists interested in collaboration, education, and sharing resources in #BSTpath

ID: 1852019028124221440

linkhttps://isbstp.org/about/ calendar_today31-10-2024 16:05:58

67 Tweet

246 Followers

89 Following

Elizabeth Montgomery, MD (@lizmontgomerymd) 's Twitter Profile Photo

Morphology remains critical in the genomic era; Two lesions of the gastric muscularis propria with MALAT1-GLI1 fusions; one (gastroblastoma) is malignant and the other (plexiform fibromyxoma) benign.

Morphology remains critical in the genomic era; Two lesions of the gastric muscularis propria with MALAT1-GLI1 fusions; one (gastroblastoma) is malignant and the other (plexiform fibromyxoma) benign.
CTOS (@ctosociety) 's Twitter Profile Photo

After the inspiring ASCO meeting we are looking forward to meeting all the sarcoma family again at #CTOS2025! Patient advocacy groups are valuable members of our community! ⬇️Check the invitation from Kathrin Schuster from SPAGN and CTOS Outreach Committee

Raghwa N Sharma (@sharma_raghwa) 's Twitter Profile Photo

ISGyP 167.3; 56 years, Cervix. Diagnosis: NTRK3-rearranged sarcoma. NTRK-rearranged sarcoma of the cervix is rare characterized by specific genetic rearrangements (NTRK1 or NTRK3 fusions) that make them responsive to targeted therapy with tropomyosin receptor kinase inhibitors.

ISGyP 167.3; 56 years, Cervix.
Diagnosis: NTRK3-rearranged sarcoma. NTRK-rearranged sarcoma of the cervix is rare characterized by specific genetic rearrangements (NTRK1 or NTRK3 fusions) that make them responsive to targeted therapy with tropomyosin receptor kinase inhibitors.
Springer Pathology (@springerpath) 's Twitter Profile Photo

A case study in Head and Neck Pathology details Erdheim-Chester disease in a 57-year-old male, highlighting extensive bone loss in the mandible and maxilla. Biopsy confirmed histiocytic infiltration consistent with ECD diagnosis. bit.ly/4kP8SFk Head Neck Pathol

Syed Z. Ali (@sza_jhcyto) 's Twitter Profile Photo

"Synovial Sarcoma" is known for its bland monotonous cytomorphology on FNA. Brisk mitotic activity (as seen here) is always helpful. Confirmation with IHCs (and often FISH) is quite commonly practiced. (Soft tissue mass, Abdominal wall, FNA)

"Synovial Sarcoma" is known for its bland monotonous cytomorphology on FNA. Brisk mitotic activity (as seen here) is always helpful. Confirmation with IHCs (and often FISH) is quite commonly practiced. (Soft tissue mass, Abdominal wall, FNA)
Jerad Gardner, MD (@jmgardnermd) 's Twitter Profile Photo

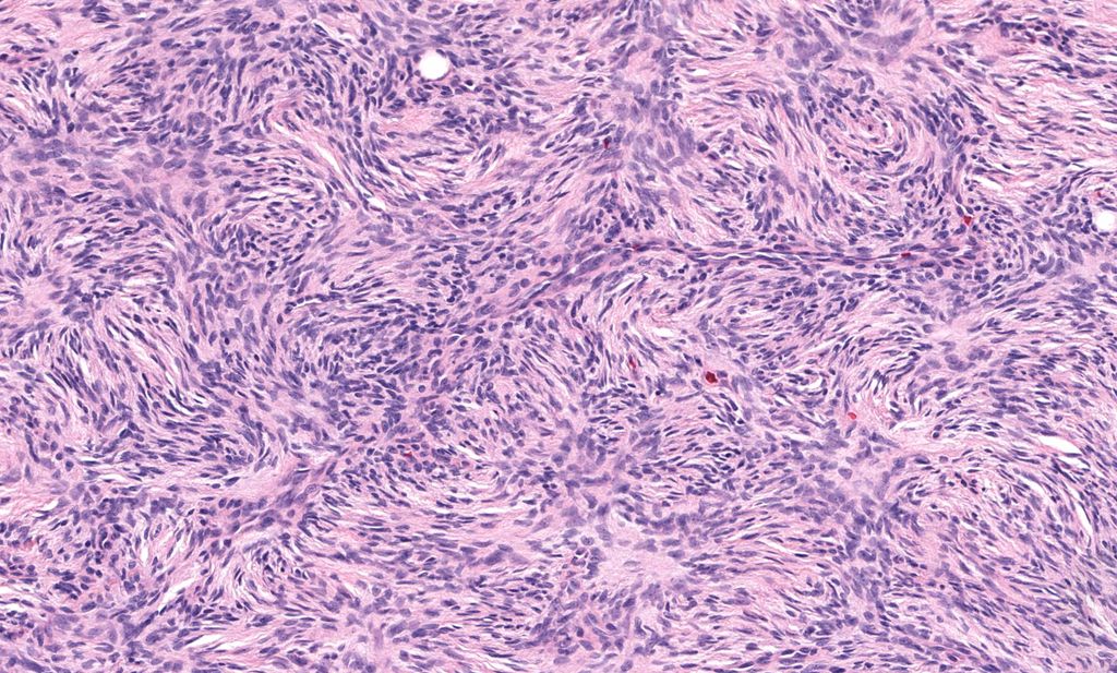
What is the name for this spindle cell pattern? What tumor is it classically seen in? Answer ✅ youtu.be/3u7uL9asZDg?si… More info: kikoxp.com/posts/10744 WSI digital slides: kikoxp.com/posts/6818 #pathology #pathologists #pathTwitter #dermpath #dermatology #dermtwitter

What is the name for this spindle cell pattern? What tumor is it classically seen in?
Answer ✅ youtu.be/3u7uL9asZDg?si…
More info: kikoxp.com/posts/10744
WSI digital slides: kikoxp.com/posts/6818
#pathology #pathologists #pathTwitter #dermpath #dermatology #dermtwitter
Modern Pathology (@modernpathology) 's Twitter Profile Photo

H3K27me3 loss is good but not perfect for confirming a diagnosis of malignant peripheral nerve sheath tumor; this one arose in a diffuse neurofibroma. 1: Schaefer IM, Fletcher CD, Hornick JL. Loss of H3K27 trimethylation distinguishes malignant peripheral nerve sheath tumors from

H3K27me3 loss is good but not perfect for confirming a diagnosis of malignant peripheral nerve sheath tumor; this one arose in a diffuse neurofibroma.
1: Schaefer IM, Fletcher CD, Hornick JL. Loss of H3K27 trimethylation distinguishes malignant peripheral nerve sheath tumors from
Raza Hoda MD (@razahoda) 's Twitter Profile Photo

Case of Myofibroblastoma 🔬 A benign spindle cell tumor that loves collagen bundles (and often shows up in male breasts). CD34, desmin, and ER light it up. #PathX #PathTwitter #breastpath

Case of Myofibroblastoma 🔬

A benign spindle cell tumor that loves collagen bundles (and often shows up in male breasts). CD34, desmin, and ER light it up.

#PathX #PathTwitter #breastpath
Raza Hoda MD (@razahoda) 's Twitter Profile Photo

Case of Cellular Spindled Histiocytic Pseudotumor 🔬 A reactive spindle cell lesion of histiocytes — likely the exuberant end of fat necrosis — saddled with a name longer than the lesion itself. #PathX #PathTwitter #breastpath

Case of Cellular Spindled Histiocytic Pseudotumor 🔬

A reactive spindle cell lesion of histiocytes — likely the exuberant end of fat necrosis — saddled with a name longer than the lesion itself.

#PathX #PathTwitter #breastpath
DavidSusterMD (@mdsuster) 's Twitter Profile Photo

Patient presented with a cough and a 2cm endobronchial mass- very rare tumor in this location- very striking histology #pathtwitter #pulmpath #surgpath

Patient presented with a cough and a 2cm endobronchial mass- very rare tumor in this location- very striking histology

#pathtwitter #pulmpath #surgpath
Jerad Gardner, MD (@jmgardnermd) 's Twitter Profile Photo

Can you make the diagnosis from this pic? Only one tumor looks like this (ok, maybe 2). WSI digital slide 🔬 kikoxp.com/posts/11800. Answer & DDX ✅ kikoxp.com/posts/12124. Video ⏯️ youtube.com/watch?v=QDb68_… #BSTpath #pathologists #pathology #pathTwitter

Can you make the diagnosis from this pic? Only one tumor looks like this (ok, maybe 2). 
WSI digital slide 🔬 kikoxp.com/posts/11800. 
Answer & DDX ✅ kikoxp.com/posts/12124.  
Video ⏯️ youtube.com/watch?v=QDb68_… 
#BSTpath #pathologists #pathology #pathTwitter
Modern Pathology (@modernpathology) 's Twitter Profile Photo

In traumatic neuromas, the individual nerve packets are each cuffed by perineurium. A vintage Mod Pathol study demonstrated this. Hirose T, Tani T, Shimada T, Ishizawa K, Shimada S, Sano T. Immunohistochemical demonstration of EMA/Glut1-positive perineurial cells and

In traumatic neuromas, the individual nerve packets are each cuffed by perineurium. A vintage Mod Pathol study demonstrated this.
Hirose T, Tani T, Shimada T, Ishizawa K, Shimada S, Sano T. Immunohistochemical demonstration of EMA/Glut1-positive perineurial cells and
Histopathology (@histo_journal) 's Twitter Profile Photo

Superficial plexiform schwannoma of the skin and subcutis: Clinicopathological study of 48 cases - Suster - Histopathology - Wiley Online Library #bstpath onlinelibrary.wiley.com/doi/10.1111/hi…

Modern Pathology (@modernpathology) 's Twitter Profile Photo

Another Modern Pathology classic - Miettinen M, Sarlomo-Rikala M, Sobin LH. Mesenchymal tumors of muscularis mucosae of colon and rectum are benign leiomyomas that should be separated from gastrointestinal stromal tumors--a clinicopathologic and immunohistochemical study of

Another Modern Pathology classic - Miettinen M, Sarlomo-Rikala M, Sobin LH. Mesenchymal tumors of muscularis mucosae of colon and rectum are benign leiomyomas that should be separated from gastrointestinal stromal tumors--a clinicopathologic and immunohistochemical study of
Elizabeth Montgomery, MD (@lizmontgomerymd) 's Twitter Profile Photo

Another anastomising hemangioma - this one from the testis; these lesions were initially described in the male genital tract. There is even extra-medullary hematopoiesis!

Another anastomising hemangioma - this one from the testis; these lesions were initially described in the male genital tract.  There is even extra-medullary hematopoiesis!
NotasDePatologia (@notas_patologia) 's Twitter Profile Photo

🦴 Conventional Chordoma 🧾 Definition Conventional chordoma is a rare malignant tumor of the axial skeleton, derived from remnants of the embryonic notochord, with a phenotype that recapitulates notochordal tissue. It grows slowly but is locally aggressive, with high

🦴 Conventional Chordoma

🧾 Definition

Conventional chordoma is a rare malignant tumor of the axial skeleton, derived from remnants of the embryonic notochord, with a phenotype that recapitulates notochordal tissue. It grows slowly but is locally aggressive, with high
The Osteosarcoma Institute (@osinstitute) 's Twitter Profile Photo

Cancer affects more than the body. Patients with osteosarcoma face emotional challenges that last beyond treatment. Kurt Weiss, MD, shares what families should know. osinst.org/blog/cancer-me… #Osteosarcoma #PediatricCancer #MentalHealth

Cancer affects more than the body. Patients with osteosarcoma face emotional challenges that last beyond treatment. Kurt Weiss, MD, shares what families should know.
osinst.org/blog/cancer-me…
#Osteosarcoma #PediatricCancer #MentalHealth
Springer Pathology (@springerpath) 's Twitter Profile Photo

The identification of the MEF2A::NCOA2 fusion in this gastrointestinal tumor may suggest a new entity related to previously reported myxoid epithelioid smooth muscle tumors in the vulvovaginal region, warranting further investigation. bit.ly/46km7d0