
Gagandeep Kaur
@gagandeepk5md
Danbury Hospital| fellow @MSKpathology @UABpathology| USCAP ambassador| Cofounder of @pathspotters and @pathpuzzlers | T/RT≠ medical advice|
ID: 1111099964283854848
28-03-2019 02:57:29
5,5K Tweet
3,3K Takipçi
1,1K Takip Edilen

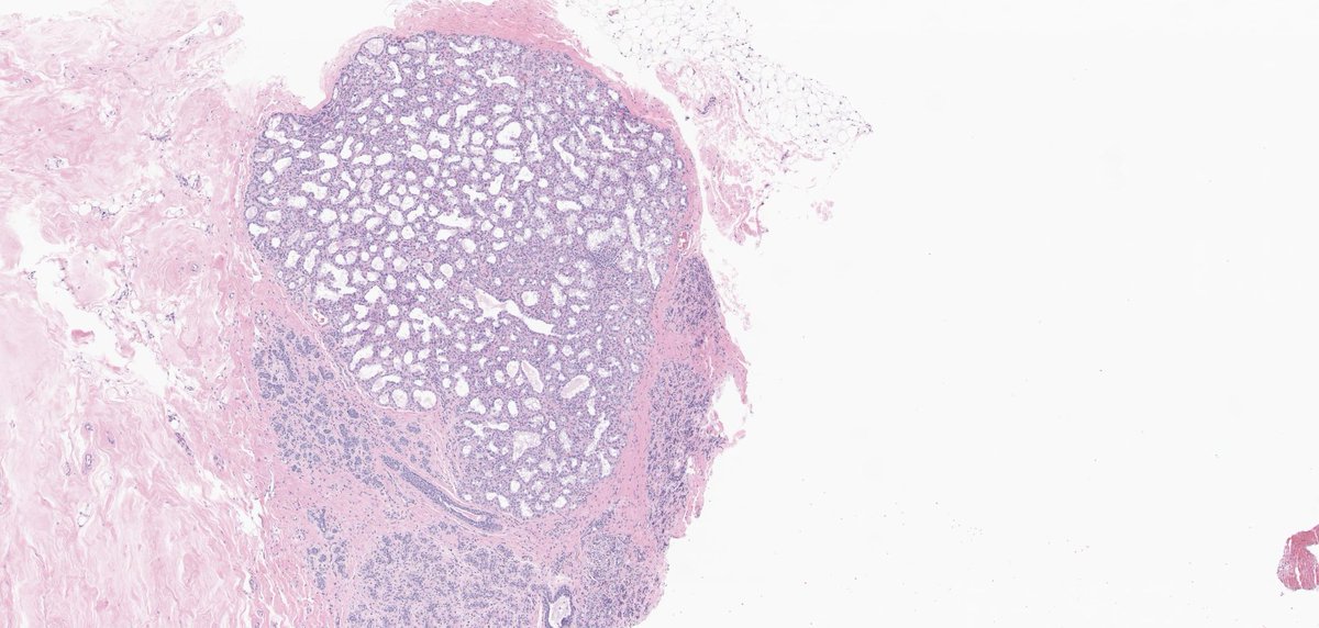
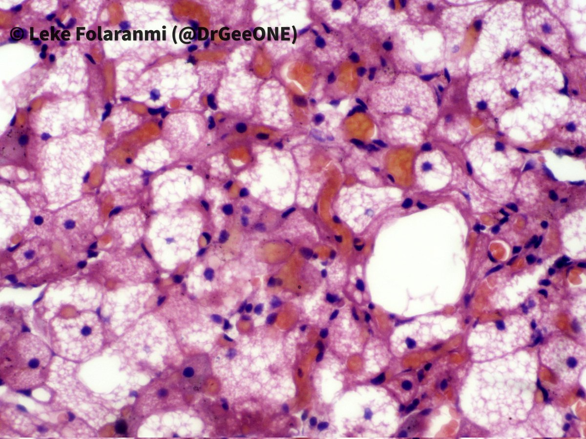
A great explanation of displaced epi in this paper from the pathologists who taught me about this pitfall👇 onlinelibrary.wiley.com/doi/full/10.11… Stuart Schnitt Laura Collins







Screening mammography detected 1.5 cm mass in the breast. ISBP Anne Grabenstetter Samson W. Fine, MD Edi Brogi


Today, BIDMC, Harvard Medical Faculty Physicians at BIDMC, and Dana-Farber announced plans for a comprehensive new collaboration designed to advance the future of cancer care and build the region’s only independent free-standing inpatient hospital for adult cancer patients. Learn more: bit.ly/45TVMzK


Happening now- Kamran Mirza MD PhD - کامران مرزا speaking UAB Pathology Grand Rounds explaining the importance of social media and networking in #MedEd




Thank you #SABCS23 for the opportunity to share our work on the integration of AI and genomics for the discovery of novel biology in lobular breast cancer. Memorial Sloan Kettering Cancer Center MSK Department of Pathology & Laboratory Medicine Paige Lobular Breast Cancer Alliance




Congratulations to MSK Department of Pathology & Laboratory Medicine colleague, Dr. Fresia Pareja Fresia Pareja recipient of the: 2024 Ramzi S. Cotran Young Investigator Award🏅 USCAP State of Academy & USCAP Honor 4:15PM Saturday 3/24 BCC Ballroom: 400 Level #USCAP2024


Congratulations Fresia Pareja . You deserve it. Cant wait to meet you at USCAP

Great talk by Dr. Katabi at NASHNP companion meeting. #uscap2024 North American Society of Head & Neck Pathology MSK Department of Pathology & Laboratory Medicine #entpath


##uscap2024 GU Pathology Society (GUPS) MSK Department of Pathology & Laboratory Medicine Samson W. Fine, MD Dr. Reuter receives life time award from GUPS


1/ Fifth #PathTweetorial of 2024 focusing on a particular phenomenon seen in some #gynpath ovarian tumors Kickstarting w/ a ❓ As usual, bonus YT📹 at the end Also 🚨wallhangers throughout 🔬Image credits go to dear friend Gagandeep Kaur #PathTwitter #PRLUSS #pathoutpic
