Fusion Implants (@fusionimplants) 's Twitter Profile
Fusion Implants

@fusionimplants

Specialists in 3D printing, porous implants, anatomical plates & educational models.
Committed to veterinary orthopaedic research & development

ID: 2526931590

linkhttp://www.fusionimplants.com calendar_today27-05-2014 08:46:25

187 Tweet

691 Followers

2,2K Following

Ben Walton (@m_ben_w) 's Twitter Profile Photo

Ready to move on from 2020, Bluebell is now sporting the very nifty French Bulldog LEAP from Fusion Implants. Nice to save time on a difficult fracture late on NYE! Contact Fusion about implants and training. @CGVetSpecialist #vetortho

Ready to move on from 2020, Bluebell is now sporting the very nifty French Bulldog LEAP from <a href="/FusionImplants/">Fusion Implants</a>. Nice to save time on a difficult fracture late on NYE! Contact Fusion about implants and training. @CGVetSpecialist #vetortho
John Innes (@johnfinnes) 's Twitter Profile Photo

First there was one; now there are three. Beautiful titanium alloy headless, self-compressing screws for humeral intracondylar fissure repair in dogs as part of the Humeral Intracondylar Repair System Fusion Implants VeterinaryTissueBank Ben Walton B Duncan X Lascelles Vet Ortho Society

First there was one; now there are three. Beautiful titanium alloy headless, self-compressing screws for humeral intracondylar fissure repair in dogs as part of the Humeral Intracondylar Repair System <a href="/FusionImplants/">Fusion Implants</a> <a href="/veterinarytbank/">VeterinaryTissueBank</a> <a href="/m_ben_w/">Ben Walton</a> <a href="/bdxlascelles/">B Duncan X Lascelles</a> <a href="/vosdvm/">Vet Ortho Society</a>
John Innes (@johnfinnes) 's Twitter Profile Photo

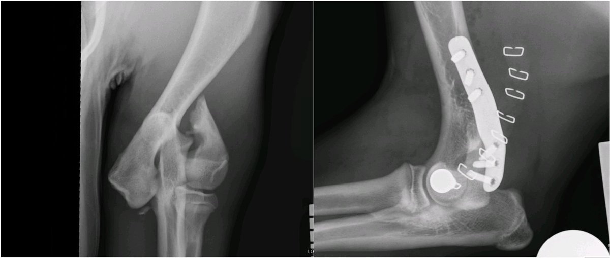
The Lateral Epicondylar Anatomical Plate from Fusion Implants is a great LEAP forwards. It makes repairing these fractures super-satisfying and provides a reliable locking plate construct for these dogs.

The Lateral Epicondylar Anatomical Plate from <a href="/FusionImplants/">Fusion Implants</a> is a great LEAP forwards. It makes repairing these fractures super-satisfying and provides a reliable locking plate construct for these dogs.
Ben Walton (@m_ben_w) 's Twitter Profile Photo

Meet Mac and his unusual, spiral dicondylar fracture. Kept me and the fantastic ⁦@CGVetSpecialist⁩ team busy today. Thank heavens for the ⁦Fusion Implants⁩ LEAP to save a bit of time@near the end.

Meet Mac and his unusual, spiral dicondylar fracture. Kept me and the fantastic ⁦@CGVetSpecialist⁩ team busy today. Thank heavens for the ⁦<a href="/FusionImplants/">Fusion Implants</a>⁩ LEAP to save a bit of time@near the end.
Ben Walton (@m_ben_w) 's Twitter Profile Photo

For the 3D-printing nerds and the fluffy puppy lovers! I’ve started an Instagram account for some cool, interesting and (mostly) happy cases…Fusion Implants @CGVetSpecialist instagram.com/p/CSFlnCHI02w/…

Veterinary Specialists Ireland (@vetspecialistie) 's Twitter Profile Photo

Did you know that baby Frenchies are particularly prone to elbow fractures? Early and accurate repair is essential to restore and maintain a healthy elbow joint 💪🏻 We use custom 3D-printed implants designed specifically for French Bulldogs to optimise repair #mischiefmanaged

Did you know that baby Frenchies are particularly prone to elbow fractures?

Early and accurate repair is essential to restore and maintain a healthy elbow joint 💪🏻 

We use custom 3D-printed implants designed specifically for French Bulldogs to optimise repair

#mischiefmanaged
Ben Walton (@m_ben_w) 's Twitter Profile Photo

Pop over to Insta to meet Ollie, who travelled a few hundred miles to benefit from custom drilling guides, the HIRS from Fusion Implants and a good bit of experience…instagram.com/p/CXeXpOpICPY/…

Pop over to Insta to meet Ollie, who travelled a few hundred miles to benefit from custom drilling guides, the HIRS from <a href="/FusionImplants/">Fusion Implants</a> and a good bit of experience…instagram.com/p/CXeXpOpICPY/…
John Innes (@johnfinnes) 's Twitter Profile Photo

Delighted to say that I will be joining Ben Walton & Fusion Implants to teach a practical course at ESVOT in Nice on 21st Sept on 'Humeral Condylar Fractures, LEAP & HIRS'. Not many places left so hurry if you are interested - registration closes 31st July esvotcongress.org/agenda/scienti…

John Innes (@johnfinnes) 's Twitter Profile Photo

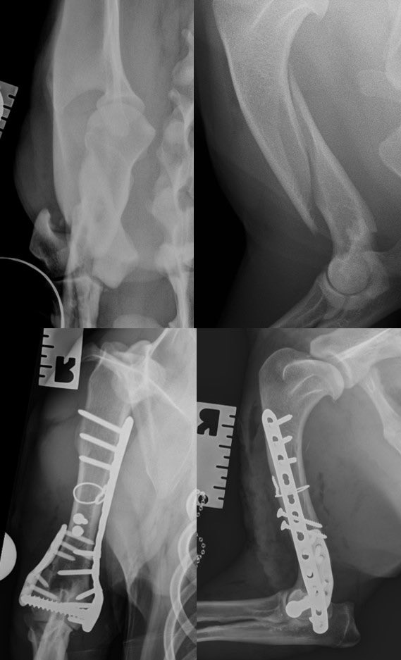
I’m off to #ESVOT in Nice. Yesterday I did some clinical work on a lovely Springer Spaniel using innovative implants produced by Fusion Implants, a spin out from University of Liverpool. In my opinion, the implants make surgery easier and more precise. Collaboration between engineers and vets 👍

I’m off to #ESVOT in Nice. Yesterday I did some clinical work on a lovely Springer Spaniel using innovative implants produced by <a href="/FusionImplants/">Fusion Implants</a>, a spin out from <a href="/LivUni/">University of Liverpool</a>. In my opinion, the implants make surgery easier and more precise. Collaboration between engineers and vets 👍
British Veterinary Orthopaedic Association (@thebvoa) 's Twitter Profile Photo

1/2 And...that's a wrap for #BVOA #bebetter Autumn Meeting 2022 thanks Mark Morton.Ben Walton .HUGE thanks so much to ALL of our sponsors and exhibitors, without their generous support these meetings just would not be possible. Sponsors tagged but please also see next thread!

1/2 And...that's a wrap for #BVOA #bebetter Autumn Meeting 2022 thanks <a href="/MortonM/">Mark Morton</a>.<a href="/m_ben_w/">Ben Walton</a> .HUGE thanks so much to ALL of our sponsors and exhibitors, without their generous support these meetings just would not be possible. Sponsors tagged but please also see next thread!
BSAVA (@thebsava) 's Twitter Profile Photo

We are delighted to announce the winner of The Blaine Award is John Innes. This award is for contributions to the advancement of small animal science in its widest context. Read more about John Innes- bsava.com/article/bsava-…

We are delighted to announce the winner of The Blaine Award is John Innes.

This award is for contributions to the advancement of small animal science in its widest context.

Read more about John Innes- bsava.com/article/bsava-…