LavaleFló (@flolavale) 's Twitter Profile
LavaleFló

@flolavale

Valentina Floris 🌷 Mediconzolo👩🏻‍⚕️ Specializzanda Neurologia- Università degli studi di Cagliari 🧠

ID: 1214924949841989632

calendar_today08-01-2020 15:01:06

68 Tweet

51 Takipçi

188 Takip Edilen

Alberto J Espay (@albertoespay) 's Twitter Profile Photo

A vibrant, highly interactive first day of the annual Advanced Course on Movement Disorders, running for the 11th year in Italy, this time in beautiful Catania. A few action scenes, with ⁦Francesca Morgante⁩ and ⁦Alfonso Fasano⁩ #mdscourse2023 ⁦⁩MDS

A vibrant, highly interactive first day of the annual Advanced Course on Movement Disorders, running for the 11th year in Italy, this time in beautiful Catania. A few action scenes, with ⁦<a href="/franci_morgante/">Francesca Morgante</a>⁩ and ⁦<a href="/DrAlfonsoFasano/">Alfonso Fasano</a>⁩ #mdscourse2023 ⁦⁩<a href="/movedisorder/">MDS</a>
Michael Okun (@michaelokun) 's Twitter Profile Photo

Here is your humbling case of the day that was just published? ' Will you miss this 17 year old who comes in with a year and a half of behavioral change, loss of appetite, weight loss, and folks have suggested he has a functional movement disorder. Did you think PERM? Key Points:

Aureliano Stingi PhD (@aurelianostingi) 's Twitter Profile Photo

Colorate dai gusti dolci e a poco prezzo, sono le sigarette elettroniche usa e getta! Fanno meno male delle sigarette classiche? Spoiler: No, forse rendono impotenti! a short thread 1/n

Colorate dai gusti dolci e a poco prezzo, sono le sigarette elettroniche usa e getta! 

Fanno meno male delle sigarette classiche?

Spoiler: No, forse rendono impotenti!

a short thread

1/n
Neurology Journal (@greenjournal) 's Twitter Profile Photo

Diagnostic & Treatment Challenges: A 42-Year-Old Woman With Rapidly Expanding White Matter Lesions—From the National Multiple Sclerosis Society Case Conference Proceedings bit.ly/3OpIyUN #MS #NeuroTwitter

Diagnostic &amp; Treatment Challenges: A 42-Year-Old Woman With Rapidly Expanding White Matter Lesions—From the National Multiple Sclerosis Society Case Conference Proceedings bit.ly/3OpIyUN

#MS #NeuroTwitter
MDS (@movedisorder) 's Twitter Profile Photo

Why are there higher cases of RLS in women than men? Iron and estrogen differences in women may influence dopamine and glutamate transmission. #InspireInclusion mdpi.com/1660-4601/17/1…

Why are there higher cases of RLS in women than men? Iron and estrogen differences in women may influence dopamine and glutamate transmission. #InspireInclusion mdpi.com/1660-4601/17/1…
Dr. Brandon Beaber (@brandon_beaber) 's Twitter Profile Photo

There is concern that certain fertility treatments (especially GnRH agonists like lupron) cause MS relapses. But in women on disease modifying therapy, there was no increased risk in this observational study. Off meds, the risk was clearly increased. multiplesclerosisnewstoday.com/news-posts/202…

MDS (@movedisorder) 's Twitter Profile Photo

In this classic model on basal ganglia in PD, lack of dopamine via neuronal cell loss in the SNc leads to an excess of activity in the STN. This overstimulates the GPi/SNr and leads to a reduction of cortical neuronal activation required for movement. ncbi.nlm.nih.gov/pmc/articles/P…

JAMA Neurology (@jamaneuro) 's Twitter Profile Photo

The clinical spectrum of anti-GQ1b antibody syndrome continues to expand to include acute vestibular syndrome, optic neuropathy, and acute sensory ataxic neuropathy in addition to classic syndromes. ja.ma/4dOAfNo #MFS #GQ1b #Ophthalmoplegia

The clinical spectrum of anti-GQ1b antibody syndrome continues to expand to include acute vestibular syndrome, optic neuropathy, and acute sensory ataxic neuropathy in addition to classic syndromes. ja.ma/4dOAfNo #MFS #GQ1b #Ophthalmoplegia
Neurology Journal (@greenjournal) 's Twitter Profile Photo

Video #NeuroImage: Wall-Eyed Bilateral Internuclear Ophthalmoplegia Variant Syndrome Caused by Isolated Left Thalamic Infarction bit.ly/3w9V5G2

Video #NeuroImage: Wall-Eyed Bilateral Internuclear Ophthalmoplegia Variant Syndrome Caused by Isolated Left Thalamic Infarction bit.ly/3w9V5G2
Continuum: Lifelong Learning in Neurology (@continuumaan) 's Twitter Profile Photo

Key Point 1 from the article NMOSD and MOGAD by Dr. Elia Sechi from the August Autoimmune Neurology issue, which is available to all at journals.lww.com/continuum/full…. Elia Sechi #Neurology #NeuroTwitter #MedEd

Key Point 1 from the article NMOSD and MOGAD by Dr. Elia Sechi from the August Autoimmune Neurology issue, which is available to all at journals.lww.com/continuum/full…. <a href="/EliaSechi/">Elia Sechi</a> 
#Neurology #NeuroTwitter #MedEd
Adrian Budhram (@adrianbudhram1) 's Twitter Profile Photo

CSF correction factors to determine the "true" WBC count after a traumatic LP: How well do they actually work? We examine their clinical utility, and highlight that corrected CSF WBC counts suggesting only mild pleocytosis merit cautious interpretation: neurology.org/doi/10.1212/CP…

AJNR (@theajnr) 's Twitter Profile Photo

#AJNRcow >> October 24, 2024 >> A 54-year-old man presents with history of episodic loss of consciousness for the last 6 months. There are no focal neurologic deficits and bilateral mild to moderate sensorineural hearing loss. View the case ow.ly/vnXT50TSMcY.

#AJNRcow &gt;&gt; October 24, 2024 &gt;&gt; A 54-year-old man presents with history of episodic loss of consciousness for the last 6 months. There are no focal neurologic deficits and bilateral mild to moderate sensorineural hearing loss. View the case ow.ly/vnXT50TSMcY.
Neurology Journal (@greenjournal) 's Twitter Profile Photo

A 64-year-old woman presented with 18 months of progressive scalp-neck dysesthesias, left leg weakness, and urinary urgency. Read more: hubs.la/Q03hKGRg0 #NeuroTwitter #NeuroX

A 64-year-old woman presented with 18 months of progressive scalp-neck dysesthesias, left leg weakness, and urinary urgency. Read more: hubs.la/Q03hKGRg0 
#NeuroTwitter #NeuroX
JAMA Neurology (@jamaneuro) 's Twitter Profile Photo

Case report: a man who tested positive for IgLON5-IgG antibody after intermittent episodes of paresthetic feeling involving the throat and jaw. ja.ma/3RoNyds

Neurology Journal (@greenjournal) 's Twitter Profile Photo

A 72-year-old man presented to the emergency department with fever, meningismus, and focal neurologic deficits, after 5 days of fatigue, malaise, headache, and encephalopathy. Read more: hubs.la/Q03mnvgw0 #NeuroTwitter #Meningoencephalitis

A 72-year-old man presented to the emergency department with fever, meningismus, and focal neurologic deficits, after 5 days of fatigue, malaise, headache, and encephalopathy. Read more:  hubs.la/Q03mnvgw0 
#NeuroTwitter #Meningoencephalitis
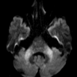
Elia Sechi (@eliasechi) 's Twitter Profile Photo

In our recent study, the "Insular Knife Cut" Sign had 99.3% specificity for HSV encephalitis and was often detectable early after symptoms onset on brain MRI. An ominous sign not to miss in patients with suspected encephalitis of new onset!!! doi.org/10.1111/ene.70…

In our recent study, the "Insular Knife Cut" Sign had 99.3% specificity for HSV encephalitis and was often detectable early after symptoms onset on brain MRI. An ominous sign not to miss in patients with suspected encephalitis of new onset!!! doi.org/10.1111/ene.70…