
FOAMrad
@foamrad
Free Open Access Radiology Education. Encouraging a community of radiologists to freely share and discuss radiology knowledge using the #FOAMrad hashtag.
ID: 2650519357
16-07-2014 09:03:57
1,1K Tweet
14,14K Followers
60 Following

This week on the podcast Andrew reads our Renal Cell Carcinoma article to matt_m0rgan who adds his expert insights to help level-up your understanding! π§ radiopaedia.org/podcast #foamrad Weβd love your feedback about this format. What works, what doesnβt. Let us know π

Great to re-release in podcast form this conference chat I recorded more than a year ago with Chris Nicholas and Heather Moriarty. So many great tips for image-guided biopsies! π§ radiopaedia.org/podcast #irad #radres #foamrad


This week on the podcast Frank chats with neurointerventional radiologist Nathan Manning (Dr. Nathan Manning) about how stroke management has evolved over the decades and the expanding role of endovascular clot retrieval. π§ radiopaedia.org/podcast #foamed #neurorad #neuroIR #radres


This week on the podcast Naveen Sharma (aka theRadiologist) talks about how to avoid distractions and burnout in radiology. Meanwhile, present Frank berates past Frank on behalf of future Frank. π§ radiopaedia.org/podcast #foamed #foamrad #radres

Ever wonder what goes on behind the curtain? Want to discuss my tweetorials instead of just read them? Then listen to this week's Radiopaedia.org podcast--where it's no holds barred as Andrew Dixon goes beyond the tweets to all the things 280 characters can't capture




The podcast this week is brought to you by the Letter P and the number 2! Vikas is joined by @dredgodfrey and Joe Mullineux to chat about the P-ancreas and the P-rostate. π§ radiopaedia.org/podcast #abdorad


This week on The Radiopaedia Reading Room Podcast Frank Gaillard discusses pituitary MRI with neurosurgeon and endoscopic pituitary surgery expert James King. #neurorad #foamrad π§ radiopaedia.org/podcast





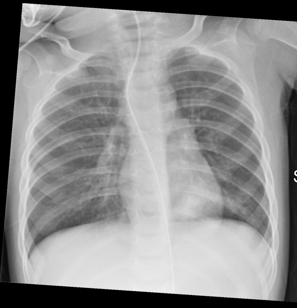
Scroll through the images in this quiz case on Radiopaedia.org: radiopaedia.org/cases/d7151fa3β¦ How many hernias can you see? I'll share the answer over the weekend! #FOAMrad

The full case with annotations and explanatory notes is available on Radiopaedia.org at radiopaedia.org/cases/182637, courtesy of Safi Bajwa from Loyola University Chicago Medical Centre. The π§΅ below outlines the main findings. There are 4 hernia to see.
