Med Amine (@essaoudimohamed) 's Twitter Profile
Med Amine

@essaoudimohamed

pathologist

ID: 1612739461

calendar_today22-07-2013 12:18:02

5,5K Tweet

835 Followers

653 Following

KZ Path (@kzgipath) 's Twitter Profile Photo

Case of the day: Mediastinal mass in a 80 year old male with history of melanoma. Mass is encapsulated, frozen section shows lymphoid proliferation, flow cytometry detects CD4/CD8 double expression cells.

Case of the day: Mediastinal mass in a 80 year old male with history of melanoma. Mass is encapsulated, frozen section shows lymphoid proliferation, flow cytometry detects CD4/CD8 double expression cells.
Lorand Kis (@kis_lorand) 's Twitter Profile Photo

1/ #breastpath lovers, have you heard about this new entity of "serous carcinoma-like" breast carcinoma? 😉 #pathology #IHCpath- the IHCs showed negativity for ER, PR, HER2, GATA3, Sox10

1/ #breastpath lovers, have you heard about this new entity of "serous carcinoma-like" breast carcinoma? 😉
#pathology #IHCpath- the IHCs showed negativity for ER, PR, HER2, GATA3, Sox10
Texas Soc of Pathol (@texpathol) 's Twitter Profile Photo

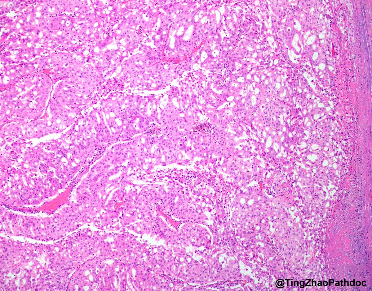
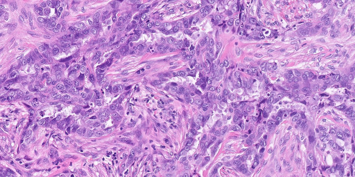
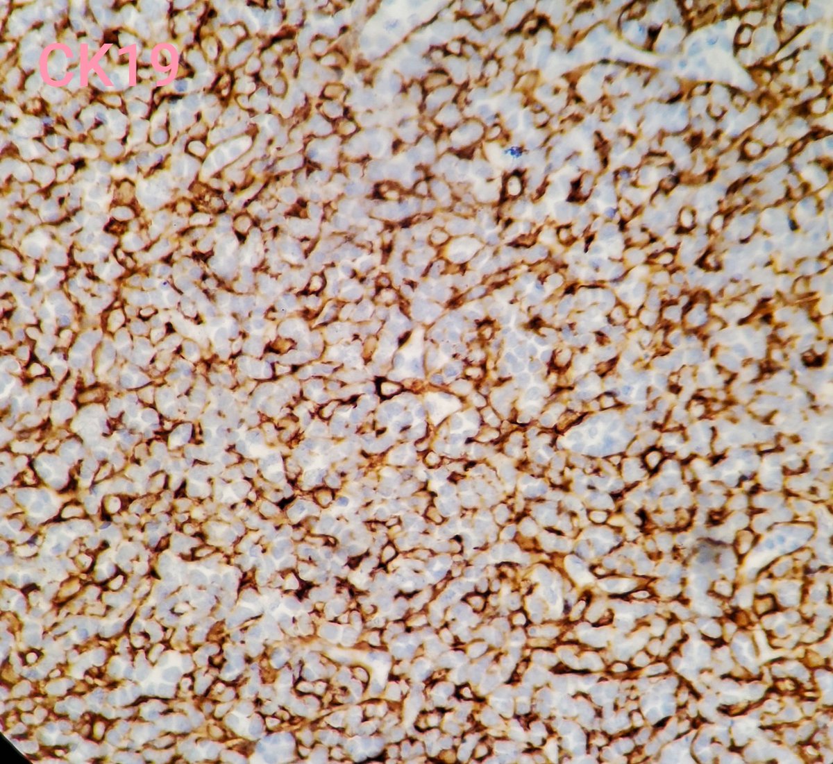
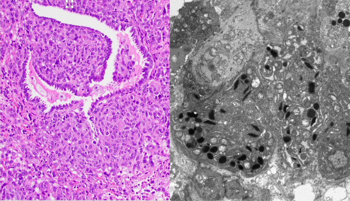
Case 5 Reninoma/Juxtaglomerular cell tumor. Neoplasm of renin-secreting cells. Renin+, vimentin+, CD34+, and CD117+. Electron microscopy shows rhomboid crystals of renin protogranules.

Case 5
Reninoma/Juxtaglomerular cell tumor. Neoplasm of renin-secreting cells. Renin+, vimentin+, CD34+, and CD117+. Electron microscopy shows rhomboid crystals of renin protogranules.
Judith Ferry (@judith_ferry) 's Twitter Profile Photo

Pathologists! Check out this enlarged lymph node with a florid proliferation of monocytoid B cells, suspicious for lymphoma, but with no immuno phenotypic evidence of clonality. Turned out to be CMV lymphadenitis with many classic viral inclusions.#Hemepath #CMV

Pathologists! Check out this enlarged lymph node with a florid proliferation of monocytoid B cells, suspicious for lymphoma, but with no immuno phenotypic evidence of clonality. Turned out to be CMV lymphadenitis with many classic viral inclusions.#Hemepath #CMV
Jeffrey Cloutier, MD, PhD (@jcloutiermd) 's Twitter Profile Photo

Malignant melanotic nerve sheath tumor (MMNST): heavily pigmented, pleomorphic, SOX10/Melan-A positive (shown), often paraspinal in younger patients. Key to distinguish from melanoma—MMNST frequently has PRKAR1A inactivation. #BSTpath #Dermpath

Malignant melanotic nerve sheath tumor (MMNST): heavily pigmented, pleomorphic, SOX10/Melan-A positive (shown), often paraspinal in younger patients. Key to distinguish from melanoma—MMNST frequently has PRKAR1A inactivation. #BSTpath #Dermpath
Siba El Hussein, MD (@sibaelhussein) 's Twitter Profile Photo

Lymphoplasmacytic lymphoma with diffuse homogeneous expression of CD10; could be mistaken for low grade follicular lymphoma at initial work-up #Hemepath #Lymsm #MedEd #Surgpath #MedX #MedTwitter #SoMe #Bmtsm

Lymphoplasmacytic lymphoma with diffuse homogeneous expression of CD10; could be mistaken for low grade follicular lymphoma at initial work-up

#Hemepath #Lymsm #MedEd #Surgpath #MedX #MedTwitter #SoMe #Bmtsm
Meredith Herman, DO (@meredithkherman) 's Twitter Profile Photo

Soft tissue, abdominal wall, debridement: Hx: Non healing wound. This is what you see. How would you sign it out? What stains would you order? #PathX #pathquiz Michigan Pathology

Soft tissue, abdominal wall, debridement:

Hx: Non healing wound. This is what you see.

How would you sign it out?
What stains would you order?

#PathX #pathquiz <a href="/UMichPath/">Michigan Pathology</a>
Woo Cheal Cho, MD (@draldehyde) 's Twitter Profile Photo

Tuesday #dermpath and #BSTpath special. 😆🔬 Extramedullary hematopoiesis is a rare occurrence in solid malignancies, including solitary fibrous tumor (SFT). Here’s an interesting example of this fascinating phenomenon in action. #MDACCPath #pathology

Tuesday #dermpath and #BSTpath special. 😆🔬

Extramedullary hematopoiesis is a rare occurrence in solid malignancies, including solitary fibrous tumor (SFT). Here’s an interesting example of this fascinating phenomenon in action.

#MDACCPath #pathology
Judith Ferry (@judith_ferry) 's Twitter Profile Photo

Spot on! This Alk negative anaplastic large cell lymphoma had a DUSP22 rearrangement. Clues are the positive LEF1 and absence of cytotoxic granules. #lymphoma #anaplasticlargecelllymphoma #hemepath

Jasmine Vickery (@vickeryjasmine) 's Twitter Profile Photo

Core needle biopsy of a retro areolar mass in a male. Let me know what stains you want! #pathology #breastpath #pathX #pathtwitter #pathresidents

Core needle biopsy of a retro areolar mass in a male. Let me know what stains you want! #pathology #breastpath #pathX #pathtwitter #pathresidents
Quique Revilla (@quique_rs) 's Twitter Profile Photo

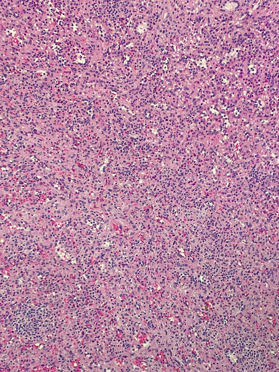
24 yo woman, no relevant medical history, - Left upper quadrant pain. - 15 cm splenic mass identified on CT scan. - Splenectomy. Dx? #hemepath

24 yo woman, no relevant medical history, 
- Left upper quadrant pain. 
- 15 cm splenic mass identified on CT scan.
- Splenectomy. 

Dx?

#hemepath
Raza Hoda MD (@razahoda) 's Twitter Profile Photo

Let’s review spindled lesions of breast this week! Case of Fascicular Pseudoangiomatous Stromal Hyperplasia (PASH) 🔬 This PASH variant shows fascicular bundles of myofibroblasts & mimics other spindled tumors. Have a meaningful Memorial Day 🇺🇸 #PathX #PathTwitter #breastpath

Let’s review spindled lesions of breast this week!

Case of Fascicular Pseudoangiomatous Stromal Hyperplasia (PASH) 🔬

This PASH variant shows fascicular bundles of myofibroblasts &amp; mimics other spindled tumors.

Have a meaningful Memorial Day 🇺🇸

#PathX #PathTwitter #breastpath
Mark Ong (@drmarkong) 's Twitter Profile Photo

Colonic biopsies from an adult. Diagnosis and likely clinical history? P.S.: Didn't quite read the textbook #GIpath #pathology #pathX

Colonic biopsies from an adult.

Diagnosis and likely clinical history?

P.S.: Didn't quite read the textbook

#GIpath #pathology #pathX
Mark Ong (@drmarkong) 's Twitter Profile Photo

I can't really explain why it looks so much like Sevelamer. According to this paper by Michael Arnold, MD, PhD, BASs should be homogeneous. pubmed.ncbi.nlm.nih.gov/24921636/ However, it does say that it can show fracture lines which may resemble fishscales. 👇

I can't really explain why it looks so much like Sevelamer. According to this paper by <a href="/MArnold_PedPath/">Michael Arnold, MD, PhD</a>, BASs should be homogeneous.
pubmed.ncbi.nlm.nih.gov/24921636/

However, it does say that  it can show fracture lines which may resemble fishscales. 👇