EMpoderate Albacete (@em_albacete) 's Twitter Profile
EMpoderate Albacete

@em_albacete

Neurólogas y enfermeras de la consulta de esclerosis múltiple y otras desmielinizantes del Hospital General de Albacete. #AlbaceteEM

ID: 1239616105188122624

calendar_today16-03-2020 18:18:06

80 Tweet

137 Followers

131 Following

Albacete Sanidad (@albacetesanidad) 's Twitter Profile Photo

Nueva vía para contactar con nuestros profesionales y resolver posibles dudas que como paciente te puedan surgir. Contacto vía email por especialidades. Ya son 14, ¡pronto más! #COVIDー19 #comunicacion #EstoLoParamosUnidos

Nueva vía para contactar con nuestros profesionales y resolver posibles dudas que como paciente te puedan surgir. Contacto vía email por especialidades. Ya son 14, ¡pronto más! #COVIDー19 #comunicacion #EstoLoParamosUnidos
International Women in MS #iWiMS (@intnatlwims) 's Twitter Profile Photo

Our next conference on #MSCOVID19 is May 6 12:30 pm PST, 9:30 pm CET, May 7 5:30 am AEST. Join @nick_rijke AnnekeVdWalt Celia Oreja-Guevara Jan Hillert and Heinz Wiendl for an update on registries and discussion on B cell-targeted therapies. iwims.world/ms-and-covid-1…

Albacete Sanidad (@albacetesanidad) 's Twitter Profile Photo

Publicada en chospab.es la Jornada Virtual de Puertas Abiertas para futuros residentes. Para conocer cómo es la formación especializada en la GAI de Albacete, a través de la experiencia de los propios #residentes. 📎bit.ly/2znm17L

Publicada en chospab.es la Jornada Virtual de Puertas Abiertas para futuros residentes. Para conocer cómo es la formación especializada en la GAI de Albacete, a través de la experiencia de los propios #residentes. 
📎bit.ly/2znm17L
EMpoderate Albacete (@em_albacete) 's Twitter Profile Photo

El próximo día 01/Julio/2020 tendremos un webinar sobre EM y COVID-19 para pacientes y familiares. roche.zoom.us/j/91436780189 (contraseña: pacientes) Podeís enviadnos preguntas, antes del día 29 de junio, a forms.gle/nw6Moa5aAGh5mX… Os esperamos!

El próximo día 01/Julio/2020 tendremos un webinar sobre EM y COVID-19 para pacientes y familiares. 
roche.zoom.us/j/91436780189 (contraseña: pacientes)
Podeís enviadnos preguntas, antes del día 29 de junio, a
forms.gle/nw6Moa5aAGh5mX…
Os esperamos!
EMpoderate Albacete (@em_albacete) 's Twitter Profile Photo

Gran trabajo de nuestros compañeros👏. Aprender de lo que ha pasado, nos ayudará a hacerlo mejor en el futuro 😊 #COVID19 #ictus

Brain (@brain1878) 's Twitter Profile Photo

Hernández-Fernández et al. report an incidence of cerebrovascular disease of 1.4% in patients hospitalized with #COVID-19 in an area of Spain with high levels of SARS-CoV-2 transmission. Oscar Ayo-Martin @GeorgesCayo TOMAS SEGURA bit.ly/2W4iymO

Hernández-Fernández et al. report an incidence of cerebrovascular disease of 1.4% in patients hospitalized with #COVID-19 in an area of Spain with high levels of SARS-CoV-2 transmission. <a href="/Oscarayomartin/">Oscar Ayo-Martin</a>
 @GeorgesCayo <a href="/tseguram/">TOMAS SEGURA</a>
 bit.ly/2W4iymO
EMpoderate Albacete (@em_albacete) 's Twitter Profile Photo

Compartimos nuestra experiencia con #alemtuzumab y #COVID19 en #EM. Por suerte ha sido favorable y da un poco de tranquilidad. COVID-19 and multiple sclerosis: A description of two cases on alemtuzumab msard-journal.com/article/S2211-…

Angel Pérez Sempere (@angelpsempere) 's Twitter Profile Photo

La vacuna desarrollada en Oxford genera una potente respuesta de células T, además de anticuerpos. También se menciona los resultados positivos de un ensayo clínico fase 2, con interferón Beta inhalado como tratamiento del COVID-19

Dr. Brandon Beaber (@brandon_beaber) 's Twitter Profile Photo

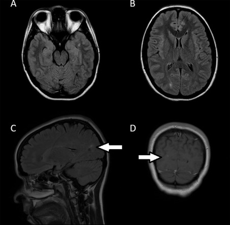
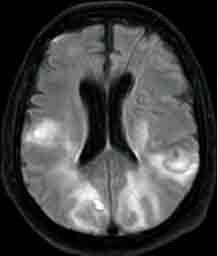
Can Covid-19 cause MS? This is a case report of a 29 year old woman who recently contracted COVID-19 and then developed optic neuritis and was subsequently found to have [a small number of] demyelinating brain lesions. CSF +. anti-AQP4/MOG negative. sciencedirect.com/science/articl…

Can Covid-19 cause MS?  This is a case report of a 29 year old woman who recently contracted COVID-19 and then developed optic neuritis and was subsequently found to have [a small number of] demyelinating brain lesions.  CSF +.  anti-AQP4/MOG negative. sciencedirect.com/science/articl…
JORGE GARCIA (@georguscayo) 's Twitter Profile Photo

Evaluar, medir, monitorizar... apoptosis en pacientes con ictus y enfermedades neurodegenerativas.. Isolation and Quantification of Blood Apoptotic Bodies, a Non-invasive Tool to Evaluate Apoptosis in Patients with … pubmed.ncbi.nlm.nih.gov/32765191/ Enhorabuena Gemma!

𝗠𝗶𝗚𝘂𝗲𝗟 (@miguel_arag) 's Twitter Profile Photo

Jornadas online de la #ComunidadValenciana para personas con #EsclerosisMúltiple con una agenda muy variada e interesante Los días 2⃣1⃣, 2⃣4⃣, 2⃣8⃣ y 3⃣0⃣ de septiembre tucuentasmucho.com/conversemos #EnfermerasEM #Neurología #EM #NeuroRed

Jornadas online de la #ComunidadValenciana para personas con #EsclerosisMúltiple con una agenda muy variada e interesante 

Los días 2⃣1⃣, 2⃣4⃣, 2⃣8⃣ y 3⃣0⃣ de septiembre

tucuentasmucho.com/conversemos

#EnfermerasEM #Neurología
#EM #NeuroRed
Dr. Brandon Beaber (@brandon_beaber) 's Twitter Profile Photo

The gemini I/II trials (tolebrutinib vs aubagio in relapsing ms) are now published! Tolebrutinib reduced disability progression modestly compared to aubagio but was not better in mri or relapse outcomes. #aanam nejm.org/doi/full/10.10…

EMpoderate Albacete (@em_albacete) 's Twitter Profile Photo

Hoy 30 de mayo es el Día Mundial de la Esclerosis Múltiple. Desde la consulta de enfermedades desmielizantes del Complejo Hospitalario Universitario de Albacete hemos querido dar visibilidad a esta enfermedad a través de una mesa informativa. latribunadealbacete.es/noticia/zbc6bf…