Dr Said Yaiesh BMBCh MSurg MSurgED KBU د.سعيد يعيش (@drsyaiesh) 's Twitter Profile
Dr Said Yaiesh BMBCh MSurg MSurgED KBU د.سعيد يعيش

@drsyaiesh

Functional, Female, Neuro- & Reconstructive Urologist. Passionate about surgical education.

ID: 220463913

linkhttps://linktr.ee/drsyaiesh calendar_today27-11-2010 21:37:17

119 Tweet

498 Takipçi

466 Takip Edilen

Kuwait Society of Urology (@kws_urology) 's Twitter Profile Photo

The panel has prepared a number of interesting cases we invite all our attendees to share with us their insights and challenging cases as well, preferrably by emailing us the case details or messaging us on our social media accounts. [email protected]

Abdulrahman Alkanderi (@draaa86) 's Twitter Profile Photo

🔴Very proud to publish our #HoLEP/#AEEP technique in esteemed Journal of Endourology Endourological Society. 🔵 very promising results in Minimizing post- prostatectomy incontinence with great functional outcomes ......... 🔴فخور جدا بنشر بحث في أعرق المجلات العلمية في التخصص بعنوان طريقة

🔴Very proud to publish our #HoLEP/#AEEP technique in esteemed <a href="/JEndourology/">Journal of Endourology</a> <a href="/Endo_Society/">Endourological Society</a>.
🔵 very promising results in Minimizing post- prostatectomy incontinence with great functional outcomes 
.........
🔴فخور جدا بنشر بحث في أعرق المجلات العلمية في التخصص
بعنوان طريقة
Kuwait Society of Urology (@kws_urology) 's Twitter Profile Photo

Check out the full scientific program for our joint KSU/KFUG concurrent Urodynamics Workshop to the First Gulf Symposium on LUTS: Male LUTS taking place on Sunday April 13th at the Surgical Simulation Center at Jaber Al Ahmad Hospital

Check out the full scientific program for our joint KSU/KFUG concurrent Urodynamics Workshop to the First Gulf Symposium on LUTS: Male LUTS taking place on Sunday April 13th at the Surgical Simulation Center at Jaber Al Ahmad Hospital
Kuwait Society of Urology (@kws_urology) 's Twitter Profile Photo

Kuwait Society of Urology (KSU) in collaboration with the Kuwait Functional Urology Group (KFUG) reminds you that our First Gulf Symposium on Lower Urinary Tract Symptoms (LUTS) concentrating on Male LUTS, and the concurrent Urodynamics Course and Workshop will being in 5 days!

Kuwait Society of Urology (KSU) in collaboration with the Kuwait Functional Urology Group (KFUG) reminds you that our First Gulf Symposium on Lower Urinary Tract Symptoms (LUTS) concentrating on Male LUTS, and the concurrent Urodynamics Course and Workshop will being in 5 days!
Dr Said Yaiesh BMBCh MSurg MSurgED KBU د.سعيد يعيش (@drsyaiesh) 's Twitter Profile Photo

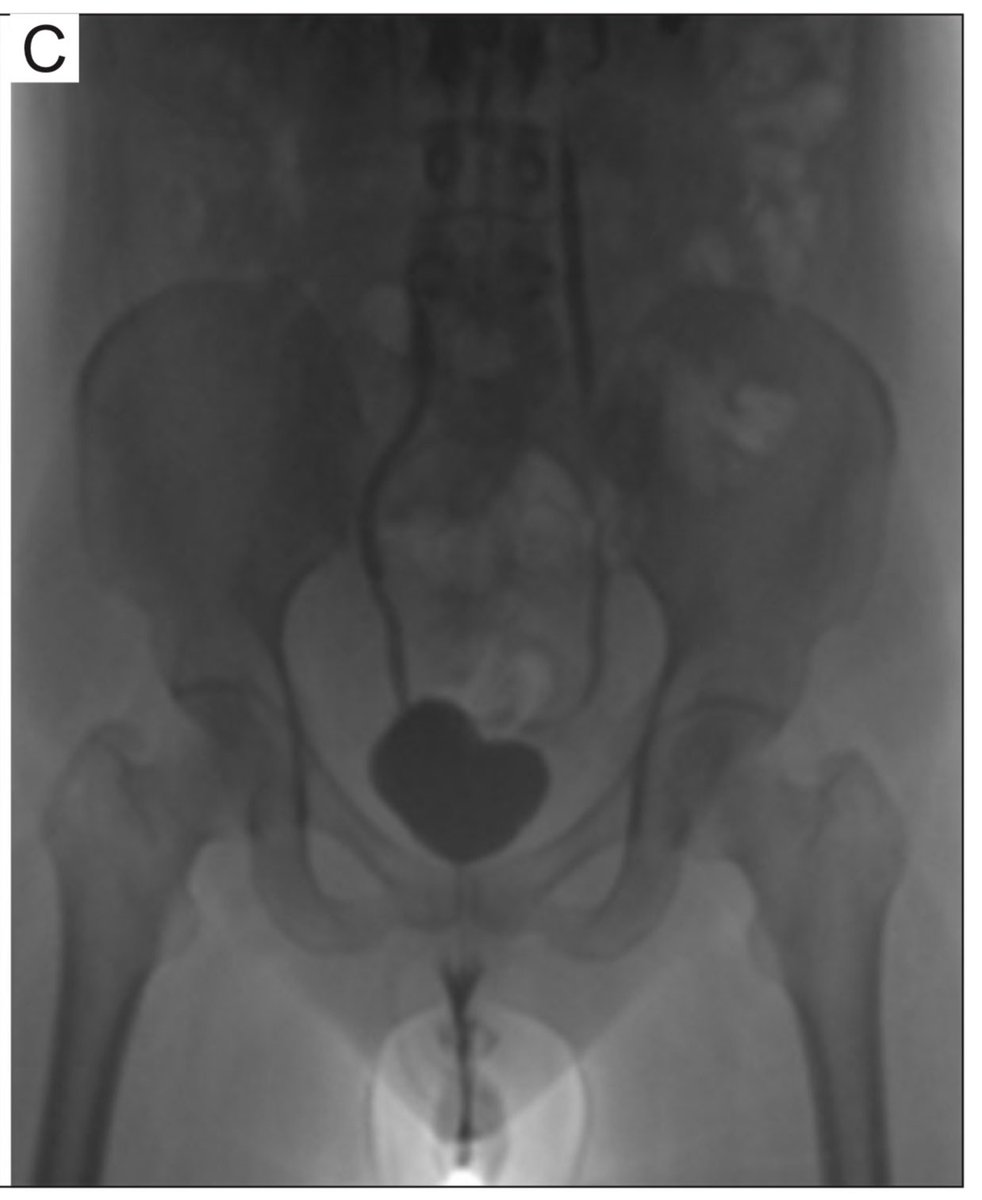
Thrilled to share with you all our latest publication in “Bladder”, describing me and Dr Tariq Al-Shaiji’s “The Omental Wrap”, a novel technique that utilizes the greater omentum in a wrapping fashion in salvage repair of irreparable bladders polscientific.com/journal/Bladde… احدث

Thrilled to share with you all our latest publication in “Bladder”, describing me and Dr Tariq Al-Shaiji’s “The Omental Wrap”, a novel technique that utilizes the greater omentum in a wrapping fashion in salvage repair of irreparable bladders 

polscientific.com/journal/Bladde…

احدث
أخبار مراسلكم (@moraselkom) 's Twitter Profile Photo

#الكويت | انجاز طبي كويتي بابتكار تقنية جراحية حديثة لاصلاح المثانة باستخدام "التغليف الشحمي" من ابتكار د.طارق الشايجي استشاري المسالك البولية ورئيس وحدة المسالك في مستشفى جابر و د.سعيد يعيش اختصاصي مسالك بولية في مستشفى جابر Dr Said Yaiesh BMBCh MSurg MSurgED KBU د.سعيد يعيش

#الكويت | انجاز طبي كويتي بابتكار تقنية جراحية حديثة لاصلاح المثانة باستخدام "التغليف الشحمي" من ابتكار د.طارق الشايجي استشاري المسالك البولية ورئيس وحدة المسالك في مستشفى جابر و د.سعيد يعيش اختصاصي مسالك بولية في مستشفى جابر

<a href="/DrSyaiesh/">Dr Said Yaiesh BMBCh MSurg MSurgED KBU د.سعيد يعيش</a>
هاشتاقات (@q8hashtagat) 's Twitter Profile Photo

#الكويت | انجاز طبي كويتي بابتكار تقنية جراحية حديثة لاصلاح المثانة باستخدام "التغليف الشحمي" من ابتكار د.طارق الشايجي استشاري المسالك البولية ورئيس وحدة المسالك في مستشفى جابر و د.سعيد يعيش اختصاصي مسالك بولية في مستشفى جابر Dr Said Yaiesh BMBCh MSurg MSurgED KBU د.سعيد يعيش Sidra Clinic

#الكويت | انجاز طبي كويتي بابتكار تقنية جراحية حديثة لاصلاح المثانة باستخدام "التغليف الشحمي" من ابتكار د.طارق الشايجي استشاري المسالك البولية ورئيس وحدة المسالك في مستشفى جابر و د.سعيد يعيش اختصاصي مسالك بولية في مستشفى جابر

<a href="/DrSyaiesh/">Dr Said Yaiesh BMBCh MSurg MSurgED KBU د.سعيد يعيش</a> 
<a href="/SidraClinic/">Sidra Clinic</a>
عبدالكريم العبدالله (@karim_a84) 's Twitter Profile Photo

في إنجاز طبي كويتي عالمي: * سجّل فريق طبي من مستشفى جابر الأحمد إنجازاً نوعياً بابتكار تقنية جراحية حديثة تُعد الأولى من نوعها، لترميم المثانة المتضررة باستخدام “التغليف الشحمي” عبر منديل المعدة (Omental Wrap)، وذلك بعد نجاح التجربة على مريضة كانت تعاني من تلف شديد في المثانة

في إنجاز طبي كويتي عالمي:

* سجّل فريق طبي من مستشفى جابر الأحمد إنجازاً نوعياً بابتكار تقنية جراحية حديثة تُعد الأولى من نوعها، لترميم المثانة المتضررة باستخدام “التغليف الشحمي” عبر منديل المعدة (Omental Wrap)، وذلك بعد نجاح التجربة على مريضة كانت تعاني من تلف شديد في المثانة
Dr Said Yaiesh BMBCh MSurg MSurgED KBU د.سعيد يعيش (@drsyaiesh) 's Twitter Profile Photo

Its been a pleasure contributing to this Amer. Urol. Assn. AUA’s Review Course -Kuwait’s Chapter with Kuwait Urological Association KUA. But whats been a greater pleasure was meeting great pioneers and making new friends. Melissa, Hadley, Jay and Omer: thank you for making

Kuwait Society of Urology (@kws_urology) 's Twitter Profile Photo

We welcomed today Professor Aseem Shukla from Children’s Hospital of Philadelphia (CHOP) at an intimate seminar discussing collaborative efforts to tackle management barriers of rare and complex cases such as those encountered with bladder exstrophy and epispadiasis complex.

We welcomed today Professor Aseem Shukla from Children’s Hospital of Philadelphia (CHOP)  at an intimate seminar discussing collaborative efforts to tackle management barriers of rare and complex cases such as those encountered with bladder exstrophy and epispadiasis complex.