Le Vu Huynh (@drle2287) 's Twitter Profile
Le Vu Huynh

@drle2287

Live for a better era!

ID: 294099386

calendar_today06-05-2011 14:41:34

390 Tweet

516 Takipçi

535 Takip Edilen

Le Vu Huynh (@drle2287) 's Twitter Profile Photo

Symptomatic carotid CTO recanalization. 1. SpiderFX serves as both a drill and an embolic protection device. 2. Angioplasty for large-bored aspiration catheter to get through. 3. The aspiration catheter functions as both thrombectomy and exploration of the carotid lumen. 4.

Symptomatic carotid CTO recanalization. 
1. SpiderFX serves as both a drill and an embolic protection device.
2. Angioplasty for large-bored aspiration catheter to get through.
3. The aspiration catheter functions as both thrombectomy and exploration of the carotid lumen.
4.
Le Vu Huynh (@drle2287) 's Twitter Profile Photo

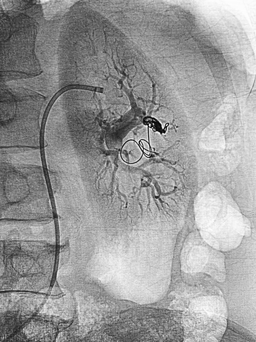
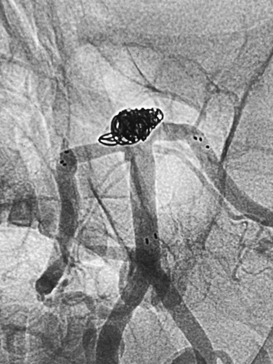
Cognard Type IV dAVF - complete embolization. Reaching the foot of the draining cortical vein is always challenging, but it has to be achieved before injecting the embolic agent.

Cognard Type IV dAVF - complete embolization. Reaching the foot of the draining cortical vein is always challenging, but it has to be achieved before injecting the embolic agent.
Le Vu Huynh (@drle2287) 's Twitter Profile Photo

I have thoroughly examined and employed an underappreciated proactive test before embolizing SDAVM, SDAVF. The test demonstrates high sensitivity and specificity, aiding in pinpointing the exact location for the microcatheter to access.

I have thoroughly examined and employed an underappreciated proactive test before embolizing SDAVM, SDAVF. The test demonstrates high sensitivity and specificity, aiding in pinpointing the exact location for the microcatheter to access.
Le Vu Huynh (@drle2287) 's Twitter Profile Photo

M1 acute occlusion/ICAD (good collaterals, ASPECTS 8): 90 minutes for DAPT loading dose. 60 minutes for solumbra>angioplasty >stenting to achieve mTICI 3 and a great recovery.

M1 acute occlusion/ICAD (good collaterals, ASPECTS 8): 90 minutes for DAPT loading dose. 60 minutes for solumbra>angioplasty >stenting to achieve mTICI 3 and a great recovery.
Le Vu Huynh (@drle2287) 's Twitter Profile Photo

Type D2 CCF, closed by ipsilateral transvenous double-catheter technique for coiling and onyx injection. Minimal approach for better results :))

Type D2 CCF, closed by ipsilateral transvenous double-catheter technique for coiling and onyx injection. Minimal approach for better results :))
Le Vu Huynh (@drle2287) 's Twitter Profile Photo

Ruptured ACOM aneurysm in a 90-year-old female patient. Type C aortic arch, unstable guiding cath, difficult A1 superselection, unstable microcath > M1 anchoring Balloon is a good option!

Ruptured ACOM aneurysm in a 90-year-old female patient. Type C aortic arch, unstable guiding cath, difficult A1 superselection, unstable microcath > M1 anchoring Balloon is a good option!
Le Vu Huynh (@drle2287) 's Twitter Profile Photo

Onyx–Coil remains the best option in this case, used to embolize a bleeding AComA aneurysm–pseudoaneurysm. #CoilOnyx #NeuroIntervention #StopBleeding

Onyx–Coil remains the best option in this case, used to embolize a bleeding AComA aneurysm–pseudoaneurysm. #CoilOnyx #NeuroIntervention #StopBleeding