 
                                Cardiovascular Pathology
@cvpathol
Follow us on Bluesky @cardiovascularpath.bsky.social. Official Journal of the Society for Cardiovascular Pathology (@scvp1).
ID: 1047572377318641665
https://www.cardiovascularpathology.com 03-10-2018 19:41:32
124 Tweet
736 Takipçi
513 Takip Edilen
 
         
        Now in press Cardiovascular Pathology: COVID-19 Myocarditis: Quantitative analysis of the inflammatory infilt... sciencedirect.com/science/articl… #PathTwitter #CardiacPath
 
         
        Consensus statement on surgical pathology of the #Aorta from SCVP & @Associa00047104: II. Noninflammatory degenerative diseases -nomenclature and diagnostic criteria #AorticAneurysm Dr. Marc Halushka, Dr. Allard van der Wal & colleagues Cardiovascular Pathology 2015 sciencedirect.com/science/articl…
 
                        
                    
                    
                    
                 
         
         
         
        A case report of Nocardia asiatica constrictive pericarditis in a patient with human immunodeficiency virus sciencedirect.com/journal/cardio… #cvpath #cardiacpath Authored by Rosemary Griessel and colleagues
 
                        
                    
                    
                    
                 
        Endomyocardial Biopsy Facilitates Diagnosis of Eosinophilic Granulomatosis with Polyangiitis (EGPA): A Case Report sciencedirect.com/science/articl… #cvpath #cardiacpath Aly Wilhelm Heather L Stevenson, MD, PhD Khaled UTMB Pathology
 
                        
                    
                    
                    
                 
        A case report of recurrent acute myocardial infarction and cardiac arrest due to aortic dissection secondary to IgG4-related aortitis sciencedirect.com/science/articl… #cvpath #cardiacpath Alex Achim Gabor G Toth
 
                        
                    
                    
                    
                 
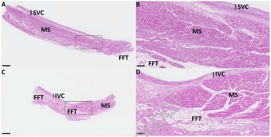
        Autonomic Nerves in Myocardial Sleeves around Caval Veins: Potential Role in Cardiovascular Mortality? From the desk of our colleagues: Denis Depes, Ari Mennander, Timo Paavonen, and Ivana Kholova (Ivana Kholová) #cvpath #cardiacpath sciencedirect.com/science/articl…
 
                        
                    
                    
                    
                 
         
         
         
        Commotio cordis: Another cardiac arrest “sine materia”. The 1707 early report and interpretation by Giovanni Maria Lancis sciencedirect.com/science/articl… #cvpath #cardiacpath Cristina Basso
 
         
         
         
        Bicuspid aortic valve: The most frequent and not so benign congenital heart disease sciencedirect.com/science/articl… #cvpath #cardiacpath Cristina Basso
 
                        
                    
                    
                    
                 
         
                         
         
                         
                         
                         
                         
                         
                        