Current Sports Medicine Reports (@csmronline) 's Twitter Profile
Current Sports Medicine Reports

@csmronline

As an official review journal of the ACSM, Current Sports Medicine Reports is unique in its focus entirely on the clinical aspects of sports medicine.

ID: 196710508

linkhttp://acsm-csmr.org calendar_today29-09-2010 18:49:33

1,1K Tweet

11,11K Takipçi

14 Takip Edilen

Current Sports Medicine Reports (@csmronline) 's Twitter Profile Photo

Seifi & colleagues present a case of an asymptomatic 16-year-old soccer player with abnormal findings in preparticipation physical evaluation (international criteria for ECG interpretation) before the competition. brnw.ch/21wRIoK

Seifi & colleagues present a case of an asymptomatic  16-year-old soccer player with abnormal findings in preparticipation physical evaluation (international criteria for ECG interpretation) before the competition. brnw.ch/21wRIoK
Current Sports Medicine Reports (@csmronline) 's Twitter Profile Photo

The management of female athletes with persistent pelvic floor dysfunction is challenging, requiring tailored assessment, a specialized management approach, and continuous reevaluation by an interdisciplinary team informed in pelvic floor health. ➡️ brnw.ch/21wRJOR

The management of female athletes with persistent pelvic floor dysfunction is challenging, requiring tailored assessment, a specialized management approach, and continuous reevaluation by an interdisciplinary team informed in pelvic floor health.
➡️ brnw.ch/21wRJOR
Current Sports Medicine Reports (@csmronline) 's Twitter Profile Photo

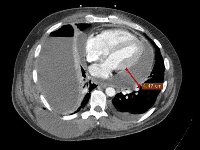
Pestrea et al. report a successfully treated case of an immunocompetent young Muay Thai fighter who developed purulent pericarditis and cardiac tamponade due to contiguous spread from an infected hydropneumothorax secondary to traumatic rib fracture. brnw.ch/21wRK97

Pestrea et al. report a successfully treated case of an immunocompetent young Muay Thai fighter who developed purulent pericarditis and cardiac tamponade due to contiguous spread from an infected hydropneumothorax secondary to traumatic rib fracture. brnw.ch/21wRK97
Current Sports Medicine Reports (@csmronline) 's Twitter Profile Photo

Congratulations to the 2024 Paper of the Year: "Vigorous Exercise in Patients with Hypertrophic Cardiomyopathy" by Fox et al. Read the paper: brnw.ch/21wRRfC

Congratulations to the 2024 Paper of the Year: "Vigorous Exercise in Patients with Hypertrophic Cardiomyopathy" by Fox et al.

Read the paper: brnw.ch/21wRRfC
Current Sports Medicine Reports (@csmronline) 's Twitter Profile Photo

The May issue is available! Featured articles: ☑️ A Call to Action to Reduce the Need for a Medical Evaluation Prior to Exercise ☑️ Athletic Trainer Accessibility in U.S. High Schools: A Systematic Review and Meta-Analysis ➡️ Check out the issue: brnw.ch/21wSLQ8

The May issue is available! Featured articles:  
☑️ A Call to Action to Reduce the Need for a Medical Evaluation Prior to Exercise
☑️ Athletic Trainer Accessibility in U.S. High Schools: A Systematic Review and Meta-Analysis
➡️ Check out the issue: brnw.ch/21wSLQ8
Current Sports Medicine Reports (@csmronline) 's Twitter Profile Photo

In this month's Pearls & Pitfalls column Dr. Eichner discusses continuing concerns in sports, military and occupational medicine. Areas of concern include exertional heatstroke and exertional sickling: brnw.ch/21wSMYt

In this month's Pearls & Pitfalls column Dr. Eichner discusses continuing concerns in sports, military and occupational medicine. Areas of concern include exertional heatstroke and exertional sickling: brnw.ch/21wSMYt
Current Sports Medicine Reports (@csmronline) 's Twitter Profile Photo

New: A Call to Action to Reduce the Need for a Medical Evaluation Prior to Exercise Robinson et al. call for an update to pre-exercise screening recommendations based on some key developments since the current recommendations were developed in 2015. brnw.ch/21wSTHp

New: A Call to Action to Reduce the Need for a Medical Evaluation Prior to Exercise

Robinson et al. call for an update to pre-exercise screening recommendations based on some key developments since the current recommendations were developed in 2015.  brnw.ch/21wSTHp
Current Sports Medicine Reports (@csmronline) 's Twitter Profile Photo

New case report from Praxidio and colleagues highlights the clinical presentation, imaging findings, nonoperative management, and return to sport protocol for an adolescent male baseball player with hemophilia A experiencing groin pain. brnw.ch/21wSXqw

New case report from Praxidio and colleagues highlights the clinical presentation, imaging findings, nonoperative management, and return to sport protocol for an adolescent male baseball player with hemophilia A experiencing groin pain. brnw.ch/21wSXqw
Current Sports Medicine Reports (@csmronline) 's Twitter Profile Photo

Data indicate that 66.4% of U.S. high schools have any access to athletic training care while only 34.6% have full-time access. Mologne et al. have identified 5 common themes that diminish a school's ability to access an athletic trainer: brnw.ch/21wSYX8

Data indicate that 66.4% of U.S. high schools have any access to athletic training care while only 34.6% have full-time access.

Mologne et al. have identified 5 common themes that diminish a school's ability to access an athletic trainer: brnw.ch/21wSYX8
Current Sports Medicine Reports (@csmronline) 's Twitter Profile Photo

The Team Physician Consensus Statement delineates qualifications, duties & responsibilities of the team physician and provides guidelines to those selecting team physicians. Read the 2024 update: brnw.ch/21wT4An

The Team Physician Consensus Statement delineates qualifications, duties & responsibilities of the team physician and provides guidelines to those selecting team physicians. Read the 2024 update: brnw.ch/21wT4An
Current Sports Medicine Reports (@csmronline) 's Twitter Profile Photo

Despite popularity of gymnastics, there is no independent medical organization/subspecialty group to investigate injuries and prevention, and to make the sport safer for all. Hart et al. propose a new sports medicine subspecialty: Gymnastics Medicine. brnw.ch/21wT7EC

Despite popularity of gymnastics, there is no independent medical organization/subspecialty group to investigate injuries and prevention, and to make the sport safer for all.

Hart et al. propose a new sports medicine subspecialty: Gymnastics Medicine. brnw.ch/21wT7EC
Avery Faigenbaum (@afaigenbaum) 's Twitter Profile Photo

Instead of telling people what to do, ask them what they want to do as part of their physical activity journey journals.lww.com/acsm-csmr/full…

Instead of telling people what to do, ask them what they want to do as part of their physical activity journey journals.lww.com/acsm-csmr/full…
Current Sports Medicine Reports (@csmronline) 's Twitter Profile Photo

The June issue of CSMR is now live! Featured articles: ➡️ From Hierarchy to Harmony: Transforming the Activity Pyramid into My Physical Activity Plate ➡️ Cleared for Physical Activity Postpartum: Now What? Check out the issue: brnw.ch/21wTgYw

The June issue of CSMR is now live! Featured articles:
➡️ From Hierarchy to Harmony: Transforming the Activity Pyramid into My Physical Activity Plate
➡️ Cleared for Physical Activity Postpartum: Now What?

Check out the issue: brnw.ch/21wTgYw
Current Sports Medicine Reports (@csmronline) 's Twitter Profile Photo

A case of a clay-shover’s fracture in an adolescent baseball athlete highlights the potential for delayed diagnosis and necessitates a high degree of clinical suspicion in athletes with axial cervicothoracic spine pain. brnw.ch/21wTjUd

A case of a clay-shover’s fracture in an adolescent baseball athlete highlights the potential for delayed diagnosis and necessitates a high degree of clinical suspicion in athletes with axial cervicothoracic spine pain. brnw.ch/21wTjUd
Current Sports Medicine Reports (@csmronline) 's Twitter Profile Photo

The latest clinical research from @msseonline: ➡️ Loading Speed and Intensity in Eccentric Calf Training Impact Acute Changes in Achilles Tendon Thickness and Stiffness ➡️ Screening for RED-S: Detection of Clinical Indicators in Female Endurance Athletes brnw.ch/21wToP2

The latest clinical research from @msseonline:
➡️ Loading Speed and Intensity in Eccentric Calf Training Impact Acute Changes in Achilles Tendon Thickness and Stiffness
➡️ Screening for RED-S: Detection of Clinical Indicators in Female Endurance Athletes

brnw.ch/21wToP2
Current Sports Medicine Reports (@csmronline) 's Twitter Profile Photo

Larson et al. provide an update on the most recent literature regarding return to physical activity for the postpartum athlete and a practical list of important considerations for this population. brnw.ch/21wTsSa

Larson et al. provide an update on the most recent literature regarding return to physical activity for the postpartum athlete and a practical list of important considerations for this population. brnw.ch/21wTsSa
Current Sports Medicine Reports (@csmronline) 's Twitter Profile Photo

Tracking sleep with wearables is increasingly prevalent. Kaufman et al. conducted a focused review of sleep wearable technology and its application in sports performance, including potential future benefits that these devices may have. brnw.ch/21wTyDm

Tracking sleep with wearables is increasingly prevalent. Kaufman et al. conducted a focused review of sleep wearable technology and its application in sports performance, including potential future benefits that these devices may have. brnw.ch/21wTyDm
Current Sports Medicine Reports (@csmronline) 's Twitter Profile Photo

Schwanz et al. present a review of rib bone stress injuries, including diagnostic workup and pearls, with a proposed sport-specific rehabilitation protocol for athletes who compete in rowing, golf, and throwing sports. brnw.ch/21wTC7T

Schwanz et al. present a review of rib bone stress injuries, including diagnostic workup and pearls, with a proposed sport-specific rehabilitation protocol for athletes who compete in rowing, golf, and throwing sports. brnw.ch/21wTC7T