Bhanupriya Kakarala (@bhanupriyakr) 's Twitter Profile
Bhanupriya Kakarala

@bhanupriyakr

PGY2, Ap/Cp resident @ UTHoustonPath

ID: 4902635322

calendar_today13-02-2016 16:40:33

58 Tweet

266 Takipçi

965 Takip Edilen

Johanna Savage, MD (@jmsavagemd) 's Twitter Profile Photo

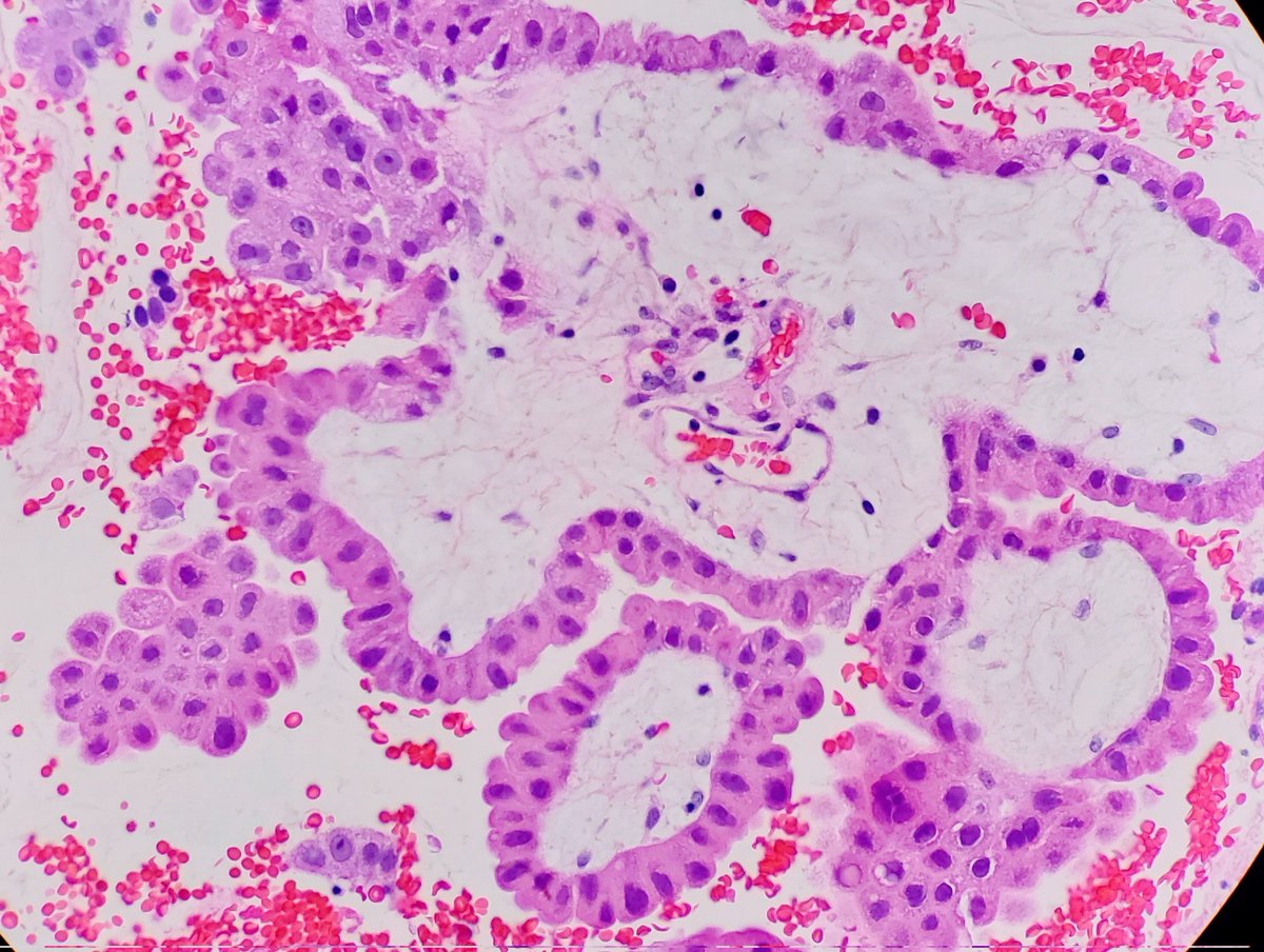
#surgpath #pathologyeducation #gynpath #peritoneum The following photos are from an “abdominal mass”. Clinical history provided by the clinician: “malignant neoplasm of sigmoid colon” What is your diagnosis? Any work-up you would like? Follow up to come...

#surgpath #pathologyeducation #gynpath #peritoneum

The following photos are from an “abdominal mass”.  Clinical history provided by the clinician: “malignant neoplasm of sigmoid colon”

What is your diagnosis? Any work-up you would like?

Follow up to come...
Jerad Gardner, MD (@jmgardnermd) 's Twitter Profile Photo

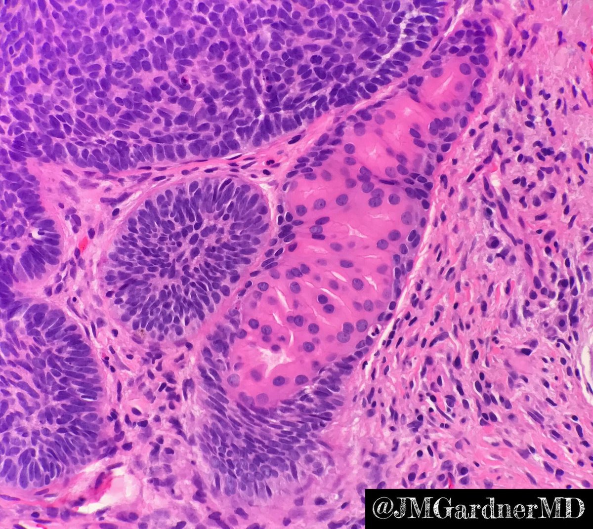
Apocrine differentiation in basal cell carcinoma. BCC can show adnexal features. If it looks like BCC overall, I call it BCC not adnexal tumor. See my BCC 101 video kikoxp.com/posts/3826 & #dermpath survival guide bit.ly/2Te2haB #pathologists #pathology #pathTwitter

Apocrine differentiation in basal cell carcinoma. BCC can show adnexal features. If it looks like BCC overall, I call it BCC not adnexal tumor. See my BCC 101 video kikoxp.com/posts/3826 & #dermpath survival guide bit.ly/2Te2haB #pathologists #pathology #pathTwitter
Ashish Singh (@ashishsinghnews) 's Twitter Profile Photo

This is what the entire country 🇮🇳 has been waiting for since March 2020. 1st visuals of #CovidVaccine being dispatched from Pune.👇 Green corridors being created by Police in multiple 🇮🇳 cities to transport these vaccine consignments. #IndianVaccineArrives NewsX World InKhabar

Advocates for IMGs (@img_advocate) 's Twitter Profile Photo

ALERT: Available programs!! "We have a few programs who are taking candidates if anyone knows of any residents who are interested in: •Transitional Year •Occupational (preventive) Medicine •Physical Medicine &Rehabilitation •Neurological Surgery •Urology" #scramble2021

Akanksha Gupta, MD (@akankshaguptamd) 's Twitter Profile Photo

Finally!! The much-awaited book is here! Announcing the launch of our second book from the Ace My Path series, "#AceTheBoards: Non-Neoplastic Hematopathology and Coagulation." Here is the amazon link to buy: amazon.com/dp/B098GJDCBY #AceTheBoards #PathTwitter #hemepath

Finally!! The much-awaited book is here! Announcing the launch of our second book from the <a href="/AceMyPath/">Ace My Path</a> series, "#AceTheBoards: Non-Neoplastic Hematopathology and Coagulation." Here is the amazon link to buy:
amazon.com/dp/B098GJDCBY
#AceTheBoards #PathTwitter #hemepath
Inside The Match (@inside_thematch) 's Twitter Profile Photo

#Match2023 applicants — September is HERE-You got this! Find helpful Personal Statement-CV-LoR's & headshot tips: 1. PS: bit.ly/PS_UCSF 2. CV: bit.ly/CV_UCSF 3. LoR's: bit.ly/LoRs_WritingIn…… 4. Photo: bit.ly/ERAS-Photo-Tips #MedStudent #IMG #InsideTheMatch

Nabil Tabish, MD, MS (@nabiltabish) 's Twitter Profile Photo

Nabil Tabish is inviting you to a scheduled Zoom meeting. Topic: Untangling the match : Tips to excel and capitalize during interviews: Nabil Tabish, MD-MS Join Zoom Meeting us04web.zoom.us/j/4241312846?p… Meeting ID: 424 131 2846 Passcode: 17WhFe #Match2023 #PathTwitter