Baystate Advanced Endoscopy (@baystateadvendo) 's Twitter Profile
Baystate Advanced Endoscopy

@baystateadvendo

ID: 1880088593684647936

calendar_today17-01-2025 03:04:07

23 Tweet

24 Takipçi

75 Takip Edilen

Tyler Berzin MD, FASGE (@tberzin) 's Twitter Profile Photo

1/ Here is my yearly reminder that none of the major radiology societies recommend fetal shielding for ERCP (despite recent ASGE GI Endoscopy misguidance...) 2 refs we typically include in consults when discussing ERCP/pregnancy: ajronline.org/doi/full/10.22… aapm.org/org/policies/d…

1/ Here is my yearly reminder that none of the major radiology societies recommend fetal shielding for ERCP (despite recent <a href="/ASGEendoscopy/">ASGE GI Endoscopy</a> misguidance...)

2 refs we typically include in consults when discussing ERCP/pregnancy:

ajronline.org/doi/full/10.22…

aapm.org/org/policies/d…
Baystate Advanced Endoscopy (@baystateadvendo) 's Twitter Profile Photo

Removal of a laterally spreading rectal tumor via band EMR and hybrid APC by 3rd year fellow Dr. Groudan and associate program director Dr. Zakharia. Advanced fellows will receive ample training in removal of large polyps by endoscopic mucosal resection, endoscopic submucosal

Baystate Advanced Endoscopy (@baystateadvendo) 's Twitter Profile Photo

Failed ERCP due to acute angulation of papilla from pancreatic mass. We performed EUS guided RV ERCP as there were minimal dilation of the CBD. 19G Boston Scientific FNA needle followed by .025 wire passage is our preferred approach for biliary access in these cases. #GITwitter

Failed ERCP due to acute angulation of papilla from pancreatic mass. We performed EUS guided RV ERCP as there were minimal dilation of the CBD. 19G <a href="/bostonsci/">Boston Scientific</a> FNA needle followed by .025 wire passage is our preferred approach for biliary access in these cases. #GITwitter
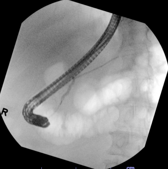
Baystate Advanced Endoscopy (@baystateadvendo) 's Twitter Profile Photo

Failed ERCP due to inability to reach major papilla from tumor infiltration into duodenum. Tumor prohibited CDS placement in bulb. Pt declined PTBD and elected for attempt at antegrade biliary stent placement via EUS over HGS. After needle puncture and wire placement we entered

Failed ERCP due to inability to reach major papilla from tumor infiltration into duodenum. Tumor prohibited CDS placement in bulb. Pt declined PTBD and elected for attempt at antegrade biliary stent placement via EUS over HGS. After needle puncture and wire placement we entered
Baystate Advanced Endoscopy (@baystateadvendo) 's Twitter Profile Photo

Young patient with FAP with small but biopsy proven ampullary adenoma. ERCP with ampullectomy was performed successfully at Baystate Medical Center. We do ~ 10 ampullectomy cases per year Baystate Advanced Endoscopy What is your approach for those polyps? #GITwitter Douglas G. Adler MD, FASGE, FACG, AGAF Do you

Young patient with FAP with small but biopsy proven ampullary adenoma. ERCP with ampullectomy was performed successfully at Baystate Medical Center. We do ~ 10 ampullectomy cases per year <a href="/BaystateAdvEndo/">Baystate Advanced Endoscopy</a> What is your approach for those polyps? #GITwitter <a href="/DouglasAdlerMD/">Douglas G. Adler MD, FASGE, FACG, AGAF</a> Do you
Baystate Advanced Endoscopy (@baystateadvendo) 's Twitter Profile Photo

A double whammy case of a PD leak post splenectomy for splenic laceration in the setting of a pancreatic head mass prohibiting retrograde PD wire passage. EUS guided pancreaticogastrostomy with placement of a double pigtail stent was performed with resolution of leak. #GITwitter

A double whammy case of a PD leak post splenectomy for splenic laceration in the setting of a pancreatic head mass prohibiting retrograde PD wire passage. EUS guided pancreaticogastrostomy with placement of a double pigtail stent was performed with resolution of leak. #GITwitter
Kais Zakharia, MD (@kais_zakharia) 's Twitter Profile Photo

Mid age man with FAP was referred to Baystate for ampullary adenoma, ERCP with ampullectomy was performed 6 months ago...... so satisfying to see the results on last endoscopy #GITwitter

Mid age man with FAP was referred to Baystate for ampullary adenoma, ERCP with ampullectomy was performed 6 months ago...... so satisfying to see the results on last endoscopy #GITwitter
UMass Chan-Baystate Gastroenterology (@baystategi) 's Twitter Profile Photo

A must read for all the GI folks out there. Kudos to Yesenia Greeff for highlighting an often overlooked aspect of everyday GI practice. #traumainformedcare #GItwitter

A must read for all the GI folks out there.  Kudos to <a href="/YeseniaGreeff/">Yesenia Greeff</a> for highlighting an often overlooked aspect of everyday GI practice. #traumainformedcare #GItwitter
Syed Hamza Sohail (@shamzasohail) 's Twitter Profile Photo

Excited to share that I have matched at BILH Lahey Hospital for advanced endoscopy fellowship. Grateful for the support from my amazing mentors and my family. Can't wait to get started! ASGE GI Endoscopy UMass Chan-Baystate Gastroenterology #AEF #ASGE #GItwitter

Excited to share that I have matched at BILH Lahey Hospital for advanced endoscopy fellowship. Grateful for the support from my amazing mentors and my family. Can't wait to get started!
<a href="/ASGEendoscopy/">ASGE GI Endoscopy</a> <a href="/BaystateGI/">UMass Chan-Baystate Gastroenterology</a> #AEF #ASGE #GItwitter
Baystate Advanced Endoscopy (@baystateadvendo) 's Twitter Profile Photo

Great case by our therapeutic endoscopist Kais Zakharia, MD at Baystate Advanced Endoscopy 👏 We’re fortunate to manage complex, fascinating cases—offering our advanced fellows exceptional hands-on exposure and training! Baystate Health Baystate Health

UMass Chan-Baystate Gastroenterology (@baystategi) 's Twitter Profile Photo

Our GI fellows representing Baystate 🙌🏻 Dr. Aizaz Khan (PGY5) and Dr. S. Hamza Sohail (PGY6) were each awarded a travel grant to attend the 19th Rocky Mountain Interventional Endoscopy course in Denver, Colorado ⛰️✈️ #RMIE2025 #GITwitter #baystate