Barbara Vidal, MD (@barbarapath) 's Twitter Profile
Barbara Vidal, MD

@barbarapath

Forensic Pathologist (AP/CP) with subspecialty training in GI/Hepatobiliary Pathology

ID: 871498063654682624

calendar_today04-06-2017 22:45:04

1,1K Tweet

1,1K Followers

872 Following

Elizabeth Montgomery, MD (@lizmontgomerymd) 's Twitter Profile Photo

Gastric adenocarcinoma proximal polyposis syndrome (GAPPS), a variant of familial adenomatous polyposis (FAP), established in 2016. The APC gene is large; sequencing techniques had to advance to find the mutation! There were many fundic gland polyps and foveolar adenomas.

Gastric adenocarcinoma proximal polyposis syndrome (GAPPS), a variant of familial adenomatous polyposis (FAP), established in 2016.  The APC gene is large; sequencing techniques had to advance  to find the mutation!  There were many fundic gland polyps and foveolar adenomas.
CAPathologists (@pathologists) 's Twitter Profile Photo

Don’t miss it—Adam Booth (Adam L. Booth, MD), MD, FCAP takes over our X channel to give you exclusive coverage of all things happening tomorrow at Capitol Hill for the House of Delegates & Pathologists Leadership Summit in D.C. #FixMedicareNow #HODPLS25

Don’t miss it—Adam Booth (<a href="/ALBoothMD/">Adam L. Booth, MD</a>), MD, FCAP takes over our X channel to give you exclusive coverage of all things happening tomorrow at Capitol Hill for the House of Delegates &amp; Pathologists Leadership Summit in D.C. #FixMedicareNow #HODPLS25
aung phyo (@pathphyo) 's Twitter Profile Photo

A pregnant lady with rapidly growing nodule in LSCS scar. A lovely example of scar deciduosis. #pathology #dermpath #Gynepath #deciduosis

A pregnant lady with rapidly growing nodule in LSCS scar. A lovely example of scar deciduosis. 
#pathology #dermpath #Gynepath #deciduosis
Ziad El-Zaatari (@ziad_zaatari) 's Twitter Profile Photo

🔬 Seminal Vesicle Invasion ~ Prostate cancer glands (right half of image) and benign seminal vesicle epithelium (left half of image) ~ #GUpath #Pathology #Prostate

🔬 Seminal Vesicle Invasion ~ Prostate cancer glands (right half of image) and benign seminal vesicle epithelium (left half of image) ~ #GUpath #Pathology #Prostate
Mass General Brigham Pathology (@mgbpathology) 's Twitter Profile Photo

Honoring a legend: A beautiful tribute to Dr. Christopher Fletcher—visionary leader, world-renowned soft tissue pathologist, and mentor to many. Portrait by Dr. Christopher French. Thank you, Dr. French, for capturing the spirit of a true icon in pathology. 💫 #PathTwitter

Honoring a legend: A beautiful tribute to Dr. Christopher Fletcher—visionary leader, world-renowned soft tissue pathologist, and mentor to many.
Portrait by Dr. Christopher French. Thank you, Dr. French, for capturing the spirit of a true icon in pathology. 💫
#PathTwitter
NAME (@thename1966) 's Twitter Profile Photo

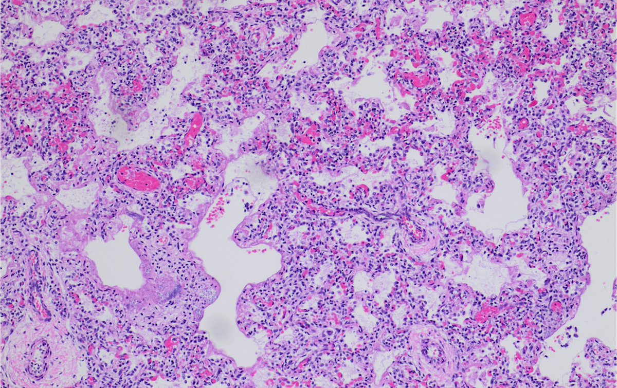
Case of the Week: A 1-month-old boy with grunting and vomiting suddenly stopped breathing. Gross autopsy was unremarkable, but lung histology led to the diagnosis. What was the source of exposure resulting in death? surveymonkey.com/r/DMNG5VK

Case of the Week: A 1-month-old boy with grunting and vomiting suddenly stopped breathing. Gross autopsy was unremarkable, but lung histology led to the diagnosis. What was the source of exposure resulting in death?
 surveymonkey.com/r/DMNG5VK
Monika Vyas (@mvgs1706) 's Twitter Profile Photo

Thyroid vs parathyroid on frozen section?? Just flip that condenser and look for CALCIUM OXALATE crystals! - seen in colloid - can help make this distinction when present. #pathX #frozensection #pathology ❄️

Thyroid vs parathyroid on frozen section?? 
Just flip that condenser and look for CALCIUM OXALATE crystals! 
- seen in colloid 
- can help make this distinction when present. 
#pathX #frozensection #pathology ❄️
Ziad El-Zaatari (@ziad_zaatari) 's Twitter Profile Photo

🔬📷 Glomerulus with karyorrhexis, hyaline thrombi, and a cellular crescent in patient with class III lupus nephritis ~ #RenalPath #Pathology #Kidney #Nephrology

🔬📷 Glomerulus with karyorrhexis, hyaline thrombi, and a cellular crescent in patient with class III lupus nephritis ~ #RenalPath #Pathology #Kidney #Nephrology
Nourhan Ibrahim (@nourhan_path22) 's Twitter Profile Photo

Retroperitoneal lymphnode in HIV positive patient, B and T cell markers both are negative, what could be the diagnosis with such morphology and immunophenotype⁉️

Retroperitoneal lymphnode in HIV positive patient, B and T cell markers  both are negative, what could be the diagnosis with such morphology and immunophenotype⁉️