Anil Rajendra (@anilrajendra1) 's Twitter Profile
Anil Rajendra

@anilrajendra1

Director of Electrophysiology at Grandview Medical Center

ID: 1070874065626386432

calendar_today07-12-2018 02:54:07

61 Tweet

307 Followers

132 Following

Jose Osorio (@josoriomd) 's Twitter Profile Photo

#epeeps We presented at the #AFSymposium2021 our experience with same day discharge for AF ablation. For anyone interested, this is the link to the publication link.springer.com/article/10.100… Having a protocol and early identification of appropriate patients will safely increase SDD

Jose Osorio (@josoriomd) 's Twitter Profile Photo

#Epeeps One of the most challenging/interesting ablations I did. 50 yo w TGA, w what I thought was AF on EKG, causing HF. Look at the pics and videos.... very helpful to understand the surgery done: - Graft from IVC to LA - Atrial Septectomy - Right PVs reimplanted in the RA

#Epeeps One of the most challenging/interesting ablations I did. 50 yo w TGA, w what I thought was AF on EKG, causing HF. Look at the pics and videos.... very helpful to understand the surgery done:
- Graft from IVC to LA
- Atrial Septectomy
- Right PVs reimplanted in the RA
Heart Rhythm Clinical Research Solutions (@hrcrs_ep) 's Twitter Profile Photo

JET Ventilation can improve catheter stability but is challenging to adopt. Jose Osorio uses high frequency low tidal volume which has resulted in decreased pulmonary RF, total RF, and procedure times. #REALAF #HRS2021

JET Ventilation can improve catheter stability but is challenging to adopt. <a href="/josoriomd/">Jose Osorio</a> uses high frequency low tidal volume which has resulted in decreased pulmonary RF, total RF, and procedure times. #REALAF #HRS2021
Anil Rajendra (@anilrajendra1) 's Twitter Profile Photo

First cases using #OCTARAY catheter. Used both standard with 2-2-2 spacing and long with 2-5-2. Very impressed with signal acquisition (>34,000 pts with standard) and signal quality. Excited to use it more for complex arrhythmias. #EPeeps @BiosenseWebster

First cases using #OCTARAY catheter. Used both standard with 2-2-2 spacing and long with 2-5-2. Very impressed with signal acquisition (&gt;34,000 pts with standard) and signal quality. Excited to use it more for complex arrhythmias. #EPeeps  @BiosenseWebster
Jose Osorio (@josoriomd) 's Twitter Profile Photo

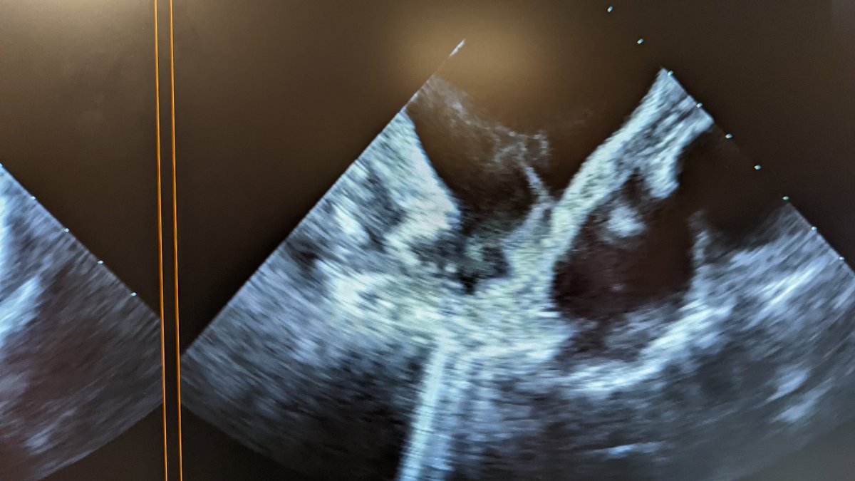
LAA almost completely occluded by clot. 85 yo patient off OAC because of a history of fall that caused large subdural hematoma. #EPeeps

LAA almost completely occluded by clot. 
85 yo patient off OAC because of a history of fall that caused large subdural hematoma.
#EPeeps
Heart Rhythm Clinical Research Solutions (@hrcrs_ep) 's Twitter Profile Photo

New #REALAF publication alert 🚨 from JICE “Steerable sheath visualizable under 3D electroanatomical mapping facilitates PAF ablation with minimal fluoroscopy” led by Anil Rajendra in collab with Jose Osorio Paul Zei & @BiosenseWebster #Epeeps link.springer.com/article/10.100…

Dr. Devi G Nair (@drdevignair) 's Twitter Profile Photo

PULSED-AF. Late breaker Atul Verma Single arm study study in paroxysmal and persistent AF : Short LA dwell times - 60min. (30-40min w/o protocol mandated waiting period) - freedom from composite endpoint of AF recurrence 64%/55% (PAF/persAF) 69%/62% freedom from AF at 1yr

Heart Rhythm Clinical Research Solutions (@hrcrs_ep) 's Twitter Profile Photo

Attending #HRS2023? Check out Anil Rajendra ’s #REALAF poster presentation, “Outcomes of Radiofrequency Ablation of Atrial Fibrillation in Octogenarians in a Multicenter Registry (Real-AF)” on Saturday May 20. Jose Osorio @BiosenseWebster Jorge E. Romero, MD, FACC, FHRS Dinesh Sharma MD MPH FHRS

Attending #HRS2023? Check out <a href="/AnilRajendra1/">Anil Rajendra</a> ’s #REALAF poster presentation, “Outcomes of Radiofrequency Ablation of Atrial Fibrillation in Octogenarians in a Multicenter Registry (Real-AF)” on Saturday May 20. <a href="/josoriomd/">Jose Osorio</a> @BiosenseWebster <a href="/JorgeERomeroMD/">Jorge E. Romero, MD, FACC, FHRS</a> <a href="/DineshSharmaEP/">Dinesh Sharma MD MPH FHRS</a>
Lindsay Perry (Smoljan) (@lindsaysmoljan) 's Twitter Profile Photo

AF Explorer is Live & FDA cleared! Thanks to Anil Rajendra & the Grandview team for the first Octaray cases in the US— something I am very excited/ proud to be a part of! Now on to #HRS2023.. come say hi at the booth or our Rhythm Theater Saturday at 9:15 AM VoltaMedical

AF Explorer is Live &amp; FDA cleared! Thanks to <a href="/AnilRajendra1/">Anil Rajendra</a>  &amp; the Grandview team for the first Octaray cases in the US— something I am very excited/ proud to be a part of! 

Now on to #HRS2023.. come say hi at the booth or our Rhythm Theater Saturday at 9:15 AM 
<a href="/VoltaMedical/">VoltaMedical</a>
Heart Rhythm Clinical Research Solutions (@hrcrs_ep) 's Twitter Profile Photo

@CarolinaH_Ochoa presented on the performance of the #RealAFRegistry SDD protocol today at #HRS2023 thank you for the wonderful collaboration, Dr. Hoyos-Ochoa! Anil Rajendra Jose Osorio Jorge E. Romero, MD, FACC, FHRS @BiosenseWebster

@CarolinaH_Ochoa presented on the performance of the #RealAFRegistry SDD protocol today at #HRS2023 thank you for the wonderful
collaboration, Dr. Hoyos-Ochoa! <a href="/AnilRajendra1/">Anil Rajendra</a> <a href="/josoriomd/">Jose Osorio</a> <a href="/JorgeERomeroMD/">Jorge E. Romero, MD, FACC, FHRS</a> @BiosenseWebster
Anil Rajendra (@anilrajendra1) 's Twitter Profile Photo

Enjoyed having the opportunity to use VoltaMedical with #Octaray @BiosenseWebster in persistent AF case. Better signal quality for analysis of spatiotemporal dispersion, providing insights into potential ablation targets #EPeeps

Heart Rhythm Clinical Research Solutions (@hrcrs_ep) 's Twitter Profile Photo

Thrilled to share the results of an ongoing #REALAFRegistry initiative published in JACC Journals. “High-Frequency Low-Tidal-Volume Ventilation Improves Long-Term Outcomes in Atrial Fibrillation Ablation: A Multicenter Prospective Study” sciencedirect.com/science/articl… @BiosenseWebster

Heart Rhythm Clinical Research Solutions (@hrcrs_ep) 's Twitter Profile Photo

Another new #RealAFRegistry publication ✨ “Performance of the REAL-AF Same-Day Discharge Protocol in Patients Undergoing Catheter Ablation of Atrial Fibrillation” jacc.org/doi/abs/10.101… @BiosenseWebster Anil Rajendra Jose Osorio Jorge E. Romero, MD, FACC, FHRS @CarolinaH_Ochoa Carlos D. Matos Tirado, MD

Jose Osorio (@josoriomd) 's Twitter Profile Photo

Few years ago we started a journey to build a new model of evidence generation, dissemination and collaboration! This HRS we had 16 abstracts, dozens of collaborators and 100s of handshakes. A new paradigm of collaboration between industry, community and academic docs was born!

Few years ago we started a journey to build a new model of evidence generation, dissemination and collaboration!
This HRS we had 16 abstracts, dozens of collaborators and 100s of handshakes.
A new paradigm of collaboration between industry, community and academic docs was born!
JAFIB&EP (@jafib_ep) 's Twitter Profile Photo

High Efficiency Workflow During Atrial Fibrillation Ablation: Protocol and Experience with EnSite™ X EP System buff.ly/43Imqd2 @abbottcardio Jose Osorio Anil Rajendra

High Efficiency Workflow During Atrial Fibrillation Ablation: Protocol and Experience with EnSite™ X EP System buff.ly/43Imqd2  @abbottcardio <a href="/josoriomd/">Jose Osorio</a> <a href="/AnilRajendra1/">Anil Rajendra</a>