Mobeen Rahman (@hnpathology) 's Twitter Profile
Mobeen Rahman

@hnpathology

Head and Neck Pathologist at Stanford, runner, eater, maybe a decent chef. t/rt =/= medical advice or views of my employer

ID: 1261782924912926721

calendar_today16-05-2020 22:17:58

131 Tweet

657 Followers

303 Following

Mobeen Rahman (@hnpathology) 's Twitter Profile Photo

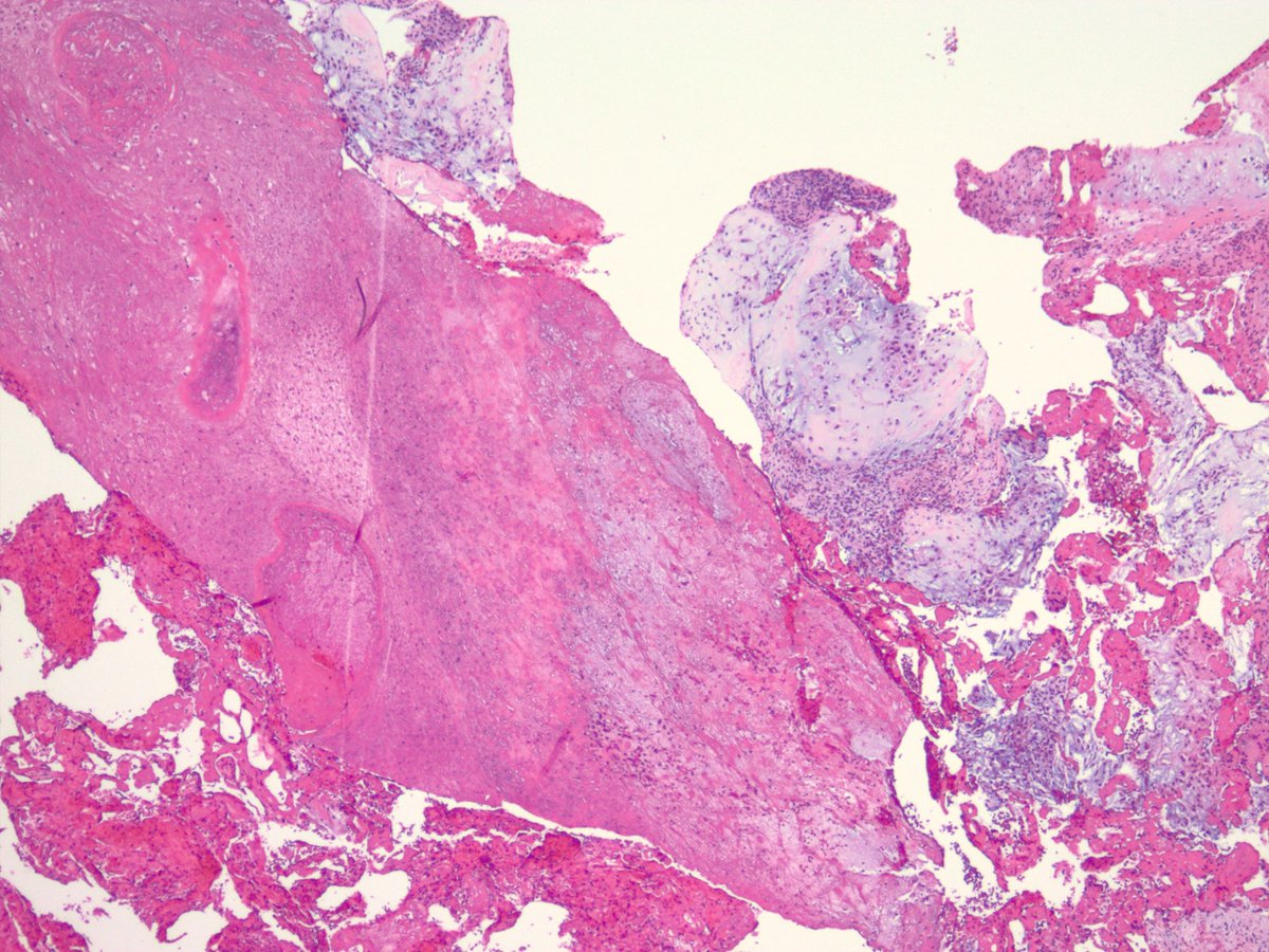
Nasopharyngeal CA (Pics: HP, LP, p40, and EBV ISH). These can be very tricky as the tumor can be very subtle! Noteworthy feature in this case was the presence of concomitant granulomatous reaction (see PMID 1717637 and 32562216) #PathTwitter #pathology

Nasopharyngeal CA (Pics: HP, LP, p40, and EBV ISH).  These can be very tricky as the tumor can be very subtle! Noteworthy feature in this case was the presence of concomitant granulomatous reaction (see PMID 1717637 and 32562216) #PathTwitter #pathology
Mobeen Rahman (@hnpathology) 's Twitter Profile Photo

I always found the descriptor of “random” sections of tumor in a gross peculiar. I would like to think I am not doing things randomly at work! Every section should have a purpose! Be it relation to margin, necrosis, change in morphology etc. Sanjay Mukhopadhyay Scott Kilpatrick, MD

Mobeen Rahman (@hnpathology) 's Twitter Profile Photo

At my favorite spot in Cleveland for lunch on a weekend (Larder Delicatessen and Bakery) and noticed this piece of art on top of the fridge. I am seeing pathology everywhere! #pathology #food #PathTwitter #art Sanjay Mukhopadhyay Scott Kilpatrick, MD

At my favorite spot in Cleveland for lunch on a weekend (Larder Delicatessen and Bakery) and noticed this piece of art on top of the fridge. I am seeing pathology everywhere! #pathology #food #PathTwitter #art <a href="/smlungpathguy/">Sanjay Mukhopadhyay</a> <a href="/ScottBikeethan/">Scott Kilpatrick, MD</a>
Bin Xu (@binxu16) 's Twitter Profile Photo

The first international pathology grading scheme for medullary thyroid carcinoma published in JCO ASCO Publications . #endopath #thyroid #ENTpath Anthony J Gill A two-tiered grading using MI (>=5/2mm2), Ki67 (>=5%), or necrosis independently predict outcome of MTC. ascopubs.org/doi/full/10.12…

Sanjay Mukhopadhyay (@smlungpathguy) 's Twitter Profile Photo

I will only believe the pathology AI companies are "enhancing accuracy" if they can show this in studies that are not funded by the company, and not judged by the company or pathologists paid by the company.